Assessment of endodontic treatment and prevalence of apical periodontitis using cone-beam computed tomography: a cross-sectional study.

Polish journal of radiology Pub Date : 2024-08-16 eCollection Date: 2024-01-01 DOI:10.5114/pjr/190412
Katarzyna Lewusz-Butkiewicz, Kinga Kaczor-Wiankowska, Aleksandra Kulas-Bałaban, Elżbieta Kubala, Alicja Nowicka
{"title":"Assessment of endodontic treatment and prevalence of apical periodontitis using cone-beam computed tomography: a cross-sectional study.","authors":"Katarzyna Lewusz-Butkiewicz, Kinga Kaczor-Wiankowska, Aleksandra Kulas-Bałaban, Elżbieta Kubala, Alicja Nowicka","doi":"10.5114/pjr/190412","DOIUrl":null,"url":null,"abstract":"<p><strong>Purpose: </strong>The purpose of this study was a retrospective cross-sectional study of the Polish subpopulation, performed to evaluate the quality of endodontic treatment (ET) and the condition of the periapical tissues of permanent teeth based on cone-beam computed tomography (CBCT) images.</p><p><strong>Material and methods: </strong>The retrospective study included a group of patients who underwent CBCT at the University Dental Clinic of the Pomeranian Medical University in Szczecin. An endodontically treated tooth index (ETTI) was used to evaluate ET. Once apical periodontitis was recognised, the size, extent, and ratio of adjacent anatomical structures were assessed using the complex periapical index (COPI).</p><p><strong>Results: </strong>Analysis of the CBCT images showed that ET was performed in 9.9% of the teeth examined, of which 52.7% of the canals were treated correctly, while 28.1% of the root canals were found to be underfilled, 6.8% were overfilled, 9.3% of the root canals were not obturated at all, and in 3.1% of the teeth examined, the filling material was only visible in the pulp chamber. Apical periodontitis was observed in 6% of all teeth examined, while the percentage of teeth following ET was 38.5%.</p><p><strong>Conclusions: </strong>The quality of the ET provided to the Polish subpopulation is unsatisfactory. Lack of root canal filling homogeneity is a significant risk factor for ET failure. Improper ET and poor quality of crown restoration after ET have an impact on the increased risk of occurrence, size, degree of root coverage, and extent of inflammatory periapical lesions in relation to adjacent anatomical structures.</p>","PeriodicalId":94174,"journal":{"name":"Polish journal of radiology","volume":"89 ","pages":"e391-e401"},"PeriodicalIF":0.0000,"publicationDate":"2024-08-16","publicationTypes":"Journal Article","fieldsOfStudy":null,"isOpenAccess":false,"openAccessPdf":"https://www.ncbi.nlm.nih.gov/pmc/articles/PMC11384213/pdf/","citationCount":"0","resultStr":null,"platform":"Semanticscholar","paperid":null,"PeriodicalName":"Polish journal of radiology","FirstCategoryId":"1085","ListUrlMain":"https://doi.org/10.5114/pjr/190412","RegionNum":0,"RegionCategory":null,"ArticlePicture":[],"TitleCN":null,"AbstractTextCN":null,"PMCID":null,"EPubDate":"2024/1/1 0:00:00","PubModel":"eCollection","JCR":"","JCRName":"","Score":null,"Total":0}
引用次数: 0

Abstract

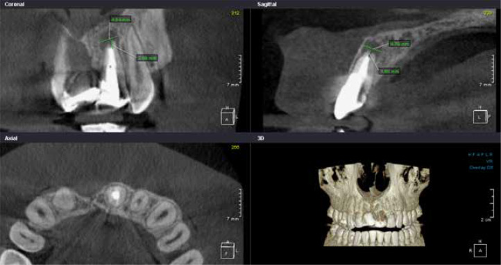
Purpose: The purpose of this study was a retrospective cross-sectional study of the Polish subpopulation, performed to evaluate the quality of endodontic treatment (ET) and the condition of the periapical tissues of permanent teeth based on cone-beam computed tomography (CBCT) images.

Material and methods: The retrospective study included a group of patients who underwent CBCT at the University Dental Clinic of the Pomeranian Medical University in Szczecin. An endodontically treated tooth index (ETTI) was used to evaluate ET. Once apical periodontitis was recognised, the size, extent, and ratio of adjacent anatomical structures were assessed using the complex periapical index (COPI).

Results: Analysis of the CBCT images showed that ET was performed in 9.9% of the teeth examined, of which 52.7% of the canals were treated correctly, while 28.1% of the root canals were found to be underfilled, 6.8% were overfilled, 9.3% of the root canals were not obturated at all, and in 3.1% of the teeth examined, the filling material was only visible in the pulp chamber. Apical periodontitis was observed in 6% of all teeth examined, while the percentage of teeth following ET was 38.5%.

Conclusions: The quality of the ET provided to the Polish subpopulation is unsatisfactory. Lack of root canal filling homogeneity is a significant risk factor for ET failure. Improper ET and poor quality of crown restoration after ET have an impact on the increased risk of occurrence, size, degree of root coverage, and extent of inflammatory periapical lesions in relation to adjacent anatomical structures.

Abstract Image

使用锥束计算机断层扫描评估牙髓治疗和根尖牙周炎的患病率:一项横断面研究。
目的:本研究的目的是对波兰亚群进行回顾性横断面研究,根据锥束计算机断层扫描(CBCT)图像评估牙髓治疗(ET)的质量和恒牙根尖周组织的状况:这项回顾性研究包括一组在什切青波美拉尼亚医科大学牙科诊所接受 CBCT 检查的患者。牙髓治疗过的牙齿指数(ETTI)用于评估 ET。一旦发现根尖牙周炎,则使用复杂根尖周指数(COPI)评估邻近解剖结构的大小、范围和比例:对 CBCT 图像的分析表明,9.9% 的受检牙齿进行了 ET,其中 52.7% 的根管得到了正确处理,28.1% 的根管填充不足,6.8% 的根管填充过度,9.3% 的根管根本没有闭塞,3.1% 的受检牙齿只能在牙髓腔内看到填充材料。在所有接受检查的牙齿中,有 6% 的牙齿出现了根尖牙周炎,而接受根管治疗的牙齿比例为 38.5%:结论:为波兰人提供的根管治疗质量并不令人满意。根管充填不均匀是导致ET失败的重要风险因素。不正确的根管治疗和根管治疗后牙冠修复质量差会增加根尖周炎性病变的发生风险、大小、根部覆盖程度以及与邻近解剖结构的关系。
本文章由计算机程序翻译,如有差异,请以英文原文为准。
求助全文
约1分钟内获得全文 求助全文
来源期刊
CiteScore
2.10
自引率
0.00%
发文量
0
×
引用
GB/T 7714-2015
复制
MLA
复制
APA
复制
导出至
BibTeX EndNote RefMan NoteFirst NoteExpress
×
提示
您的信息不完整,为了账户安全,请先补充。
现在去补充
×
提示
您因"违规操作"
具体请查看互助需知
我知道了
×
提示
确定
请完成安全验证×
copy
已复制链接
快去分享给好友吧!
我知道了
右上角分享
点击右上角分享
0
联系我们:info@booksci.cn Book学术提供免费学术资源搜索服务,方便国内外学者检索中英文文献。致力于提供最便捷和优质的服务体验。 Copyright © 2023 布克学术 All rights reserved.
京ICP备2023020795号-1
ghs 京公网安备 11010802042870号
Book学术文献互助
Book学术文献互助群
群 号:604180095
Book学术官方微信