Neuroschistosomiasis: A Case Report and Review of Literature.

Kwadwo Poku Yankey, Ronald Awoonor-William, Derrick Nyantakyi Owusu, Arthur Sackeyfio, Veneranda Nyarko, Liudmila Gross-Fenandez, Francis Addai, Irene Wulff, Oheneba Boachie-Adjei
{"title":"Neuroschistosomiasis: A Case Report and Review of Literature.","authors":"Kwadwo Poku Yankey, Ronald Awoonor-William, Derrick Nyantakyi Owusu, Arthur Sackeyfio, Veneranda Nyarko, Liudmila Gross-Fenandez, Francis Addai, Irene Wulff, Oheneba Boachie-Adjei","doi":"10.4103/jwas.jwas_174_23","DOIUrl":null,"url":null,"abstract":"<p><p>Spinal cord involvement is a rare complication of the schistosomiasis manifesting as myeloradiculopathy, medullary or conus-cauda equina syndrome which can lead to potentially serious long-term disability. Computed tomography and magnetic resonance imaging coupled with biochemical parameters have become the mainstay of diagnosis. Biopsy which is the gold standard of diagnosis demonstrating the organism is usually reserved for cases of diagnostic challenge. We report a rare case of upper thoracic spinal cord schistosomiasis diagnosed by biopsy in an 18-year-old male migrant presenting to a spine and orthopaedic centre in Ghana with complaints of upper back pain and associated myeloradiculopathy symptoms. Initial suspicion of intramedullary cord tumour was made based on magnetic resonance imaging findings warranting biopsy which revealed <i>schistosoma</i> spp. He was treated with anthelminthics and corticosteroids with a resolution of symptoms.</p>","PeriodicalId":73993,"journal":{"name":"Journal of the West African College of Surgeons","volume":"14 4","pages":"450-454"},"PeriodicalIF":0.0000,"publicationDate":"2024-10-01","publicationTypes":"Journal Article","fieldsOfStudy":null,"isOpenAccess":false,"openAccessPdf":"https://www.ncbi.nlm.nih.gov/pmc/articles/PMC11412587/pdf/","citationCount":"0","resultStr":null,"platform":"Semanticscholar","paperid":null,"PeriodicalName":"Journal of the West African College of Surgeons","FirstCategoryId":"1085","ListUrlMain":"https://doi.org/10.4103/jwas.jwas_174_23","RegionNum":0,"RegionCategory":null,"ArticlePicture":[],"TitleCN":null,"AbstractTextCN":null,"PMCID":null,"EPubDate":"2024/7/18 0:00:00","PubModel":"Epub","JCR":"","JCRName":"","Score":null,"Total":0}
引用次数: 0

Abstract

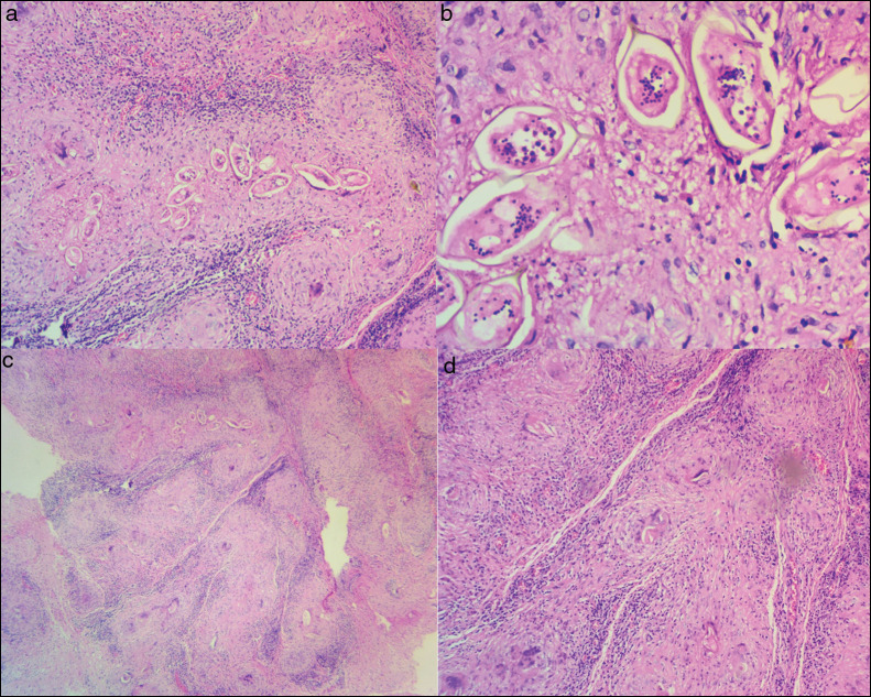
Spinal cord involvement is a rare complication of the schistosomiasis manifesting as myeloradiculopathy, medullary or conus-cauda equina syndrome which can lead to potentially serious long-term disability. Computed tomography and magnetic resonance imaging coupled with biochemical parameters have become the mainstay of diagnosis. Biopsy which is the gold standard of diagnosis demonstrating the organism is usually reserved for cases of diagnostic challenge. We report a rare case of upper thoracic spinal cord schistosomiasis diagnosed by biopsy in an 18-year-old male migrant presenting to a spine and orthopaedic centre in Ghana with complaints of upper back pain and associated myeloradiculopathy symptoms. Initial suspicion of intramedullary cord tumour was made based on magnetic resonance imaging findings warranting biopsy which revealed schistosoma spp. He was treated with anthelminthics and corticosteroids with a resolution of symptoms.

Abstract Image

Abstract Image

Abstract Image

神经吸虫病:病例报告和文献综述。
脊髓受累是血吸虫病的一种罕见并发症,表现为脊髓脊髓病、延髓或锥体-马尾综合征,可能导致严重的长期残疾。计算机断层扫描和磁共振成像以及生化指标已成为诊断的主要依据。活组织切片检查是确诊病原体的金标准,通常用于诊断困难的病例。我们报告了一例罕见的上胸段脊髓血吸虫病病例,患者是一名18岁的男性移民,因上背部疼痛和相关的脊髓脊膜病症状到加纳的一家脊柱和骨科中心就诊,经活检确诊为上胸段脊髓血吸虫病。根据磁共振成像检查结果,最初怀疑是髓内脊髓肿瘤,并进行了活检,结果显示为血吸虫属。
本文章由计算机程序翻译,如有差异,请以英文原文为准。
求助全文
约1分钟内获得全文 求助全文
来源期刊
自引率
0.00%
发文量
0
×
引用
GB/T 7714-2015
复制
MLA
复制
APA
复制
导出至
BibTeX EndNote RefMan NoteFirst NoteExpress
×
提示
您的信息不完整,为了账户安全,请先补充。
现在去补充
×
提示
您因"违规操作"
具体请查看互助需知
我知道了
×
提示
确定
请完成安全验证×
copy
已复制链接
快去分享给好友吧!
我知道了
右上角分享
点击右上角分享
0
联系我们:info@booksci.cn Book学术提供免费学术资源搜索服务,方便国内外学者检索中英文文献。致力于提供最便捷和优质的服务体验。 Copyright © 2023 布克学术 All rights reserved.
京ICP备2023020795号-1
ghs 京公网安备 11010802042870号
Book学术文献互助
Book学术文献互助群
群 号:604180095
Book学术官方微信