Metachronous Tumours in the Head and Neck in a Retroviral Disease Positive Patient: A Case Report and Review of Literature.

Nurudeen Adebola Shofoluwe, Halima Oziohu Aliyu, Balarabe Kabir, Ibrahim Babatunde Mohammed, Manir Anka Hamza, Amina Mohammed Abdullahi, Saadat Titilayo Yahaya
{"title":"Metachronous Tumours in the Head and Neck in a Retroviral Disease Positive Patient: A Case Report and Review of Literature.","authors":"Nurudeen Adebola Shofoluwe, Halima Oziohu Aliyu, Balarabe Kabir, Ibrahim Babatunde Mohammed, Manir Anka Hamza, Amina Mohammed Abdullahi, Saadat Titilayo Yahaya","doi":"10.4103/jwas.jwas_141_23","DOIUrl":null,"url":null,"abstract":"<p><p>Patients diagnosed with head and neck squamous cell carcinoma (HNSCC), particularly those seropositive for human immunodeficiency virus (HIV), face a heightened risk of second primary malignancies (SPMs), with common regions being the head, neck, lung, and oesophagus. This risk amplifies the severity of their clinical condition, as these SPMs contribute significantly to the mortality rates in patients with HNSCC. We detail a case of a young woman, seropositive for HIV, who developed a second squamous cancer in the nasopharynx after achieving remission from her initial oropharyngeal squamous cell carcinoma through chemo-radiotherapy. This case study highlights the increased vulnerability of HIV-positive HNSCC patients to SPMs, with an observed association of HIV infection leading to a lower overall survival rate. As a result, we recommend long-term follow-up in HNSCC patients with HIV for early detection of SPMs. Our findings emphasize the importance of regular screening for HNSCC, particularly in people living with HIV, to ensure timely detection and treatment, which can significantly improve their prognosis.</p>","PeriodicalId":73993,"journal":{"name":"Journal of the West African College of Surgeons","volume":"14 4","pages":"417-420"},"PeriodicalIF":0.0000,"publicationDate":"2024-10-01","publicationTypes":"Journal Article","fieldsOfStudy":null,"isOpenAccess":false,"openAccessPdf":"https://www.ncbi.nlm.nih.gov/pmc/articles/PMC11412586/pdf/","citationCount":"0","resultStr":null,"platform":"Semanticscholar","paperid":null,"PeriodicalName":"Journal of the West African College of Surgeons","FirstCategoryId":"1085","ListUrlMain":"https://doi.org/10.4103/jwas.jwas_141_23","RegionNum":0,"RegionCategory":null,"ArticlePicture":[],"TitleCN":null,"AbstractTextCN":null,"PMCID":null,"EPubDate":"2024/7/18 0:00:00","PubModel":"Epub","JCR":"","JCRName":"","Score":null,"Total":0}
引用次数: 0

Abstract

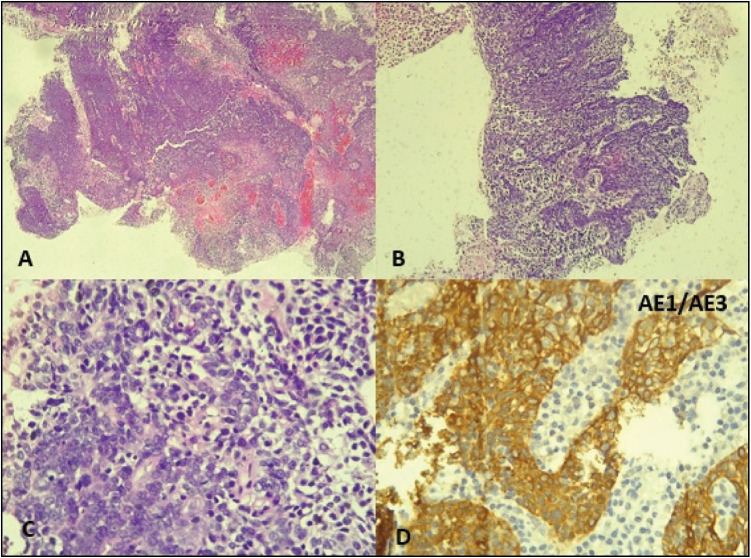
Patients diagnosed with head and neck squamous cell carcinoma (HNSCC), particularly those seropositive for human immunodeficiency virus (HIV), face a heightened risk of second primary malignancies (SPMs), with common regions being the head, neck, lung, and oesophagus. This risk amplifies the severity of their clinical condition, as these SPMs contribute significantly to the mortality rates in patients with HNSCC. We detail a case of a young woman, seropositive for HIV, who developed a second squamous cancer in the nasopharynx after achieving remission from her initial oropharyngeal squamous cell carcinoma through chemo-radiotherapy. This case study highlights the increased vulnerability of HIV-positive HNSCC patients to SPMs, with an observed association of HIV infection leading to a lower overall survival rate. As a result, we recommend long-term follow-up in HNSCC patients with HIV for early detection of SPMs. Our findings emphasize the importance of regular screening for HNSCC, particularly in people living with HIV, to ensure timely detection and treatment, which can significantly improve their prognosis.

Abstract Image

一名逆转录病毒阳性患者头颈部的并发肿瘤:病例报告与文献综述。
被诊断为头颈部鳞状细胞癌(HNSCC)的患者,尤其是人类免疫缺陷病毒(HIV)血清反应阳性的患者,面临着罹患第二原发性恶性肿瘤(SPM)的更高风险,常见的部位包括头颈部、肺部和食道。这种风险加剧了他们临床病情的严重性,因为这些 SPMs 对 HNSCC 患者的死亡率有很大的影响。我们详细介绍了一例艾滋病病毒血清反应呈阳性的年轻女性病例,她在通过化疗和放疗缓解了最初的口咽鳞癌后,又患上了鼻咽鳞癌。本病例研究突出表明,HIV 阳性的 HNSCC 患者更容易感染 SPMs,而且观察到 HIV 感染与降低总生存率有关。因此,我们建议对感染艾滋病毒的 HNSCC 患者进行长期随访,以便及早发现 SPM。我们的研究结果强调了定期筛查 HNSCC 的重要性,尤其是对 HIV 感染者,以确保及时发现和治疗,从而显著改善他们的预后。
本文章由计算机程序翻译,如有差异,请以英文原文为准。
求助全文
约1分钟内获得全文 求助全文
来源期刊
自引率
0.00%
发文量
0
×
引用
GB/T 7714-2015
复制
MLA
复制
APA
复制
导出至
BibTeX EndNote RefMan NoteFirst NoteExpress
×
提示
您的信息不完整,为了账户安全,请先补充。
现在去补充
×
提示
您因"违规操作"
具体请查看互助需知
我知道了
×
提示
确定
请完成安全验证×
copy
已复制链接
快去分享给好友吧!
我知道了
右上角分享
点击右上角分享
0
联系我们:info@booksci.cn Book学术提供免费学术资源搜索服务,方便国内外学者检索中英文文献。致力于提供最便捷和优质的服务体验。 Copyright © 2023 布克学术 All rights reserved.
京ICP备2023020795号-1
ghs 京公网安备 11010802042870号
Book学术文献互助
Book学术文献互助群
群 号:604180095
Book学术官方微信