Laparoscopic Cholecystectomy for Entirely Calcified Porcelain Gallbladder: Challenges, Management, and Literature Review.

Dharmendra Kumar Pipal, Vikram Vardhan, Prakash Biswas, Vibha Rani Pipal, Himanshu Jatoliya
{"title":"Laparoscopic Cholecystectomy for Entirely Calcified Porcelain Gallbladder: Challenges, Management, and Literature Review.","authors":"Dharmendra Kumar Pipal, Vikram Vardhan, Prakash Biswas, Vibha Rani Pipal, Himanshu Jatoliya","doi":"10.4103/jwas.jwas_168_23","DOIUrl":null,"url":null,"abstract":"<p><p>Commonly referred to as a \"porcelain gallbladder (PGB),\" gallbladder calcification is usually asymptomatic. It is observed that chronic inflammation of the gallbladder can occur as a result of another underlying condition, specifically gallstone disease. In the past, there was a belief that PGB had a correlation with gallbladder cancer, with an incidence rate of 30%. However, recent studies have indicated that the rate is only 5%-22%. Patients diagnosed with PGB, who are deemed to be at an elevated risk of developing cancer may undergo prophylactic cholecystectomies. However, recent research indicates that a subset of these patients may potentially avoid this surgical intervention. As a result of the increased risk of gallbladder cancer, and the difficulty of holding and retracting the gallbladder, laparoscopic cholecystectomy was not often recommended for patients with PGBs in the past. However, with the advancement of technology laparoscopy is now a choice for such difficult cases. Here we report a case of PGB in a 55-year-old female patient who complained of intermittent pain in the right upper abdomen with vaginal discharge. She was successfully managed laparoscopically.</p>","PeriodicalId":73993,"journal":{"name":"Journal of the West African College of Surgeons","volume":"14 4","pages":"440-444"},"PeriodicalIF":0.0000,"publicationDate":"2024-10-01","publicationTypes":"Journal Article","fieldsOfStudy":null,"isOpenAccess":false,"openAccessPdf":"https://www.ncbi.nlm.nih.gov/pmc/articles/PMC11412580/pdf/","citationCount":"0","resultStr":null,"platform":"Semanticscholar","paperid":null,"PeriodicalName":"Journal of the West African College of Surgeons","FirstCategoryId":"1085","ListUrlMain":"https://doi.org/10.4103/jwas.jwas_168_23","RegionNum":0,"RegionCategory":null,"ArticlePicture":[],"TitleCN":null,"AbstractTextCN":null,"PMCID":null,"EPubDate":"2024/7/18 0:00:00","PubModel":"Epub","JCR":"","JCRName":"","Score":null,"Total":0}
引用次数: 0

Abstract

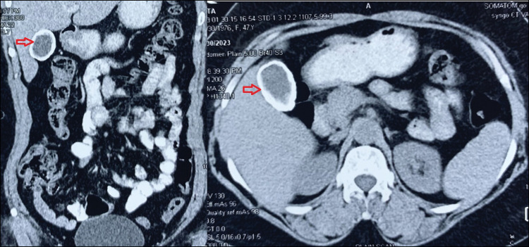
Commonly referred to as a "porcelain gallbladder (PGB)," gallbladder calcification is usually asymptomatic. It is observed that chronic inflammation of the gallbladder can occur as a result of another underlying condition, specifically gallstone disease. In the past, there was a belief that PGB had a correlation with gallbladder cancer, with an incidence rate of 30%. However, recent studies have indicated that the rate is only 5%-22%. Patients diagnosed with PGB, who are deemed to be at an elevated risk of developing cancer may undergo prophylactic cholecystectomies. However, recent research indicates that a subset of these patients may potentially avoid this surgical intervention. As a result of the increased risk of gallbladder cancer, and the difficulty of holding and retracting the gallbladder, laparoscopic cholecystectomy was not often recommended for patients with PGBs in the past. However, with the advancement of technology laparoscopy is now a choice for such difficult cases. Here we report a case of PGB in a 55-year-old female patient who complained of intermittent pain in the right upper abdomen with vaginal discharge. She was successfully managed laparoscopically.

Abstract Image

Abstract Image

Abstract Image

完全钙化瓷胆囊的腹腔镜胆囊切除术:挑战、管理和文献综述。
胆囊钙化通常无症状,俗称 "瓷胆囊(PGB)"。据观察,胆囊慢性炎症可能是另一种潜在疾病(特别是胆石症)的结果。过去,人们认为 PGB 与胆囊癌有关,发病率高达 30%。但最近的研究表明,这一比例仅为 5%-22%。确诊为 PGB 的患者,如果被认为患癌风险较高,可以接受预防性胆囊切除术。不过,最近的研究表明,这些患者中有一部分可能会避免这种手术干预。由于罹患胆囊癌的风险增加,以及固定和牵拉胆囊的困难,过去通常不建议为 PGB 患者实施腹腔镜胆囊切除术。然而,随着技术的进步,腹腔镜已成为此类疑难病例的选择。在此,我们报告了一例PGB病例,患者是一名55岁的女性,主诉右上腹间歇性疼痛并伴有阴道分泌物。她成功地接受了腹腔镜手术。
本文章由计算机程序翻译,如有差异,请以英文原文为准。
求助全文
约1分钟内获得全文 求助全文
来源期刊
自引率
0.00%
发文量
0
×
引用
GB/T 7714-2015
复制
MLA
复制
APA
复制
导出至
BibTeX EndNote RefMan NoteFirst NoteExpress
×
提示
您的信息不完整,为了账户安全,请先补充。
现在去补充
×
提示
您因"违规操作"
具体请查看互助需知
我知道了
×
提示
确定
请完成安全验证×
copy
已复制链接
快去分享给好友吧!
我知道了
右上角分享
点击右上角分享
0
联系我们:info@booksci.cn Book学术提供免费学术资源搜索服务,方便国内外学者检索中英文文献。致力于提供最便捷和优质的服务体验。 Copyright © 2023 布克学术 All rights reserved.
京ICP备2023020795号-1
ghs 京公网安备 11010802042870号
Book学术文献互助
Book学术文献互助群
群 号:604180095
Book学术官方微信