Assessment of Tissue Eosinophilic Infiltration in Invasive Mammary Carcinoma.

IF 3 Q4 ONCOLOGY
International Journal of Breast Cancer Pub Date : 2024-09-11 eCollection Date: 2024-01-01 DOI:10.1155/2024/1514147
Farah Falah Hasan, Mohammed Haider Fadhil, Zainab Khalid Almukhtar
{"title":"Assessment of Tissue Eosinophilic Infiltration in Invasive Mammary Carcinoma.","authors":"Farah Falah Hasan, Mohammed Haider Fadhil, Zainab Khalid Almukhtar","doi":"10.1155/2024/1514147","DOIUrl":null,"url":null,"abstract":"<p><p><b>Background:</b> Stromal inflammatory cells in malignant tissue have recently gained increasing interest. Unlike the extensive research on tumor-infiltrating lymphocytes, published data about tumor-infiltrating eosinophils in breast cancer are scarce. Furthermore, similar studies have yet to be conducted in Iraq. <b>Aims</b>: The objective of this study is to examine the presence of eosinophilic infiltration by direct visualization using light microscopy and to analyze its relationship with other histological parameters in a group of Iraqi women diagnosed with invasive mammary cancer. <b>Methods and material</b>: A retrospective study enrolled 90 histological samples of invasive mammary carcinoma provided by core needle biopsy from a single center, together with their immunohistochemical results for ER and HER2-NEU. Data reviewing, direct morphological visualizations, and counting eosinophilic infiltration in tissue sections were done by two independent pathologists using light microscopy. The results were statistically correlated with the grade, ER, HER2-NEU, calcification, and axillary lymph node status at presentation. <b>Results</b>: Out of the entire sample size (90), 40 (44%) showed the presence of eosinophilic infiltration in the tissue, both intratumoral and stromal. Further analysis revealed that most eosinophilic infiltrates had an intermediate score (4-19) per 10 consecutive high-power fields. A strong and meaningful statistical relationship was seen between tissue eosinophilic infiltration and HER2/NEU status. A statistically insignificant correlation was seen between tissue eosinophilic infiltration and histological grade, ER receptor status, calcification, and axillary lymph node status at presentation. <b>Conclusions</b>: Eosinophils are tumor-infiltrating cells in breast cancer, both intratumoral and stromal. The presence of tissue eosinophilic infiltration can predict HER2/NEU negativity in breast cancer.</p>","PeriodicalId":46159,"journal":{"name":"International Journal of Breast Cancer","volume":"2024 ","pages":"1514147"},"PeriodicalIF":3.0000,"publicationDate":"2024-09-11","publicationTypes":"Journal Article","fieldsOfStudy":null,"isOpenAccess":false,"openAccessPdf":"https://www.ncbi.nlm.nih.gov/pmc/articles/PMC11410403/pdf/","citationCount":"0","resultStr":null,"platform":"Semanticscholar","paperid":null,"PeriodicalName":"International Journal of Breast Cancer","FirstCategoryId":"1085","ListUrlMain":"https://doi.org/10.1155/2024/1514147","RegionNum":0,"RegionCategory":null,"ArticlePicture":[],"TitleCN":null,"AbstractTextCN":null,"PMCID":null,"EPubDate":"2024/1/1 0:00:00","PubModel":"eCollection","JCR":"Q4","JCRName":"ONCOLOGY","Score":null,"Total":0}
引用次数: 0

Abstract

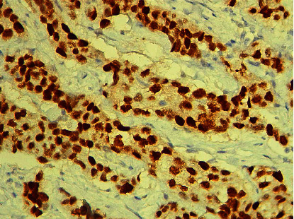
Background: Stromal inflammatory cells in malignant tissue have recently gained increasing interest. Unlike the extensive research on tumor-infiltrating lymphocytes, published data about tumor-infiltrating eosinophils in breast cancer are scarce. Furthermore, similar studies have yet to be conducted in Iraq. Aims: The objective of this study is to examine the presence of eosinophilic infiltration by direct visualization using light microscopy and to analyze its relationship with other histological parameters in a group of Iraqi women diagnosed with invasive mammary cancer. Methods and material: A retrospective study enrolled 90 histological samples of invasive mammary carcinoma provided by core needle biopsy from a single center, together with their immunohistochemical results for ER and HER2-NEU. Data reviewing, direct morphological visualizations, and counting eosinophilic infiltration in tissue sections were done by two independent pathologists using light microscopy. The results were statistically correlated with the grade, ER, HER2-NEU, calcification, and axillary lymph node status at presentation. Results: Out of the entire sample size (90), 40 (44%) showed the presence of eosinophilic infiltration in the tissue, both intratumoral and stromal. Further analysis revealed that most eosinophilic infiltrates had an intermediate score (4-19) per 10 consecutive high-power fields. A strong and meaningful statistical relationship was seen between tissue eosinophilic infiltration and HER2/NEU status. A statistically insignificant correlation was seen between tissue eosinophilic infiltration and histological grade, ER receptor status, calcification, and axillary lymph node status at presentation. Conclusions: Eosinophils are tumor-infiltrating cells in breast cancer, both intratumoral and stromal. The presence of tissue eosinophilic infiltration can predict HER2/NEU negativity in breast cancer.

Abstract Image

Abstract Image

Abstract Image

浸润性乳腺癌组织嗜酸性粒细胞浸润评估
背景:恶性肿瘤组织中的基质炎性细胞最近越来越受到关注。与对肿瘤浸润淋巴细胞的广泛研究不同,有关乳腺癌中肿瘤浸润嗜酸性粒细胞的已发表数据很少。此外,类似的研究在伊拉克也尚未开展。目的:本研究的目的是通过光镜直接观察嗜酸性粒细胞浸润的存在,并分析一组被诊断为浸润性乳腺癌的伊拉克妇女中嗜酸性粒细胞浸润与其他组织学参数的关系。方法和材料:一项回顾性研究收集了一个中心通过核心针活检提供的 90 份浸润性乳腺癌组织学样本,以及这些样本的 ER 和 HER2-NEU 免疫组化结果。数据审核、直接形态学观察和组织切片中嗜酸性粒细胞浸润计数由两名独立病理学家使用光学显微镜完成。结果与患者发病时的分级、ER、HER2-NEU、钙化和腋窝淋巴结状态相关。结果在所有样本(90 例)中,有 40 例(44%)的组织出现了嗜酸性粒细胞浸润,包括瘤内和基质。进一步分析表明,大多数嗜酸性粒细胞浸润在每 10 个连续高倍视野中得分中等(4-19 分)。组织嗜酸性粒细胞浸润与 HER2/NEU 状态之间存在密切而有意义的统计学关系。组织嗜酸性粒细胞浸润与组织学分级、ER受体状态、钙化和发病时的腋窝淋巴结状态之间的相关性在统计学上并不显著。结论嗜酸性粒细胞是乳腺癌的肿瘤浸润细胞,包括瘤内细胞和基质细胞。组织嗜酸性粒细胞浸润的存在可预测乳腺癌的 HER2/NEU 阴性。
本文章由计算机程序翻译,如有差异,请以英文原文为准。
求助全文
约1分钟内获得全文 求助全文
来源期刊
CiteScore
3.40
自引率
0.00%
发文量
25
审稿时长
19 weeks
期刊介绍: International Journal of Breast Cancer is a peer-reviewed, Open Access journal that provides a forum for scientists, clinicians, and health care professionals working in breast cancer research and management. The journal publishes original research articles, review articles, and clinical studies related to molecular pathology, genomics, genetic predisposition, screening and diagnosis, disease markers, drug sensitivity and resistance, as well as novel therapies, with a specific focus on molecular targeted agents and immune therapies.
×
引用
GB/T 7714-2015
复制
MLA
复制
APA
复制
导出至
BibTeX EndNote RefMan NoteFirst NoteExpress
×
提示
您的信息不完整,为了账户安全,请先补充。
现在去补充
×
提示
您因"违规操作"
具体请查看互助需知
我知道了
×
提示
确定
请完成安全验证×
copy
已复制链接
快去分享给好友吧!
我知道了
右上角分享
点击右上角分享
0
联系我们:info@booksci.cn Book学术提供免费学术资源搜索服务,方便国内外学者检索中英文文献。致力于提供最便捷和优质的服务体验。 Copyright © 2023 布克学术 All rights reserved.
京ICP备2023020795号-1
ghs 京公网安备 11010802042870号
Book学术文献互助
Book学术文献互助群
群 号:604180095
Book学术官方微信