Chromophobe Renal Cell Carcinoma with Sarcomatoid Differentiation (osteosarcomatous and chondrosarcomatous differentiation)-A Case Report and Comprehensive Review.

IF 1.9 Q3 ONCOLOGY
Journal of Kidney Cancer and VHL Pub Date : 2024-09-10 eCollection Date: 2024-01-01 DOI:10.15586/jkcvhl.v11i3.343
Meenakshi Rao, Anju G, Shiv Charan Navriya, Binit Sureka, Jeena Raju Kudunthail
{"title":"Chromophobe Renal Cell Carcinoma with Sarcomatoid Differentiation (osteosarcomatous and chondrosarcomatous differentiation)-A Case Report and Comprehensive Review.","authors":"Meenakshi Rao, Anju G, Shiv Charan Navriya, Binit Sureka, Jeena Raju Kudunthail","doi":"10.15586/jkcvhl.v11i3.343","DOIUrl":null,"url":null,"abstract":"<p><p>Chromophobe renal cell carcinomas (ChRCCs) have a good prognosis and comprise approximately 5-7% of renal cell carcinomas (RCCs). The sarcomatoid differentiation in RCC is found in around 5-10% of cases; however, in ChRCC, it is much less than in other RCCs and poorly responds to chemotherapeutic agents. A study by de Peralta-Venturina et al. found 9% sarcomatoid differentiation in chromophobe RCC. We present the case of a 58-year-old female with a left abdominal mass diagnosed as ChRCC with the existence of sarcomatous differentiation including osteosarcomatous and chondrosarcomatous, which are of adverse prognosis. Osteosarcoma-like divergent differentiation in RCC is extremely rare, with limited documented cases. It should be carefully considered in evaluating and managing renal masses due to its potential impact on clinical outcomes.</p>","PeriodicalId":44291,"journal":{"name":"Journal of Kidney Cancer and VHL","volume":"11 3","pages":"59-64"},"PeriodicalIF":1.9000,"publicationDate":"2024-09-10","publicationTypes":"Journal Article","fieldsOfStudy":null,"isOpenAccess":false,"openAccessPdf":"https://www.ncbi.nlm.nih.gov/pmc/articles/PMC11397982/pdf/","citationCount":"0","resultStr":null,"platform":"Semanticscholar","paperid":null,"PeriodicalName":"Journal of Kidney Cancer and VHL","FirstCategoryId":"1085","ListUrlMain":"https://doi.org/10.15586/jkcvhl.v11i3.343","RegionNum":0,"RegionCategory":null,"ArticlePicture":[],"TitleCN":null,"AbstractTextCN":null,"PMCID":null,"EPubDate":"2024/1/1 0:00:00","PubModel":"eCollection","JCR":"Q3","JCRName":"ONCOLOGY","Score":null,"Total":0}
引用次数: 0

Abstract

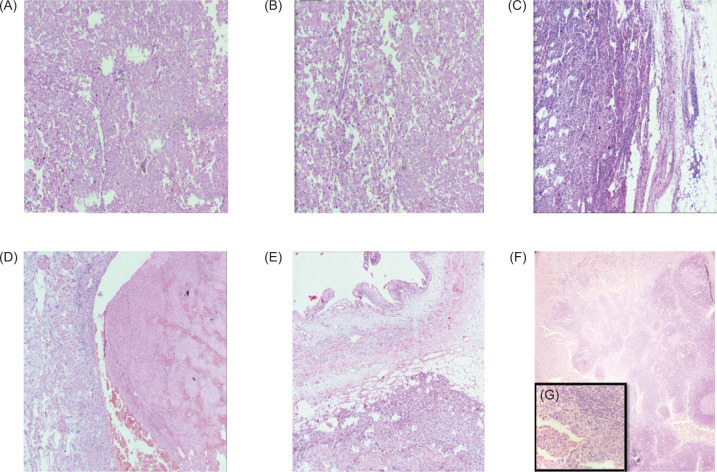
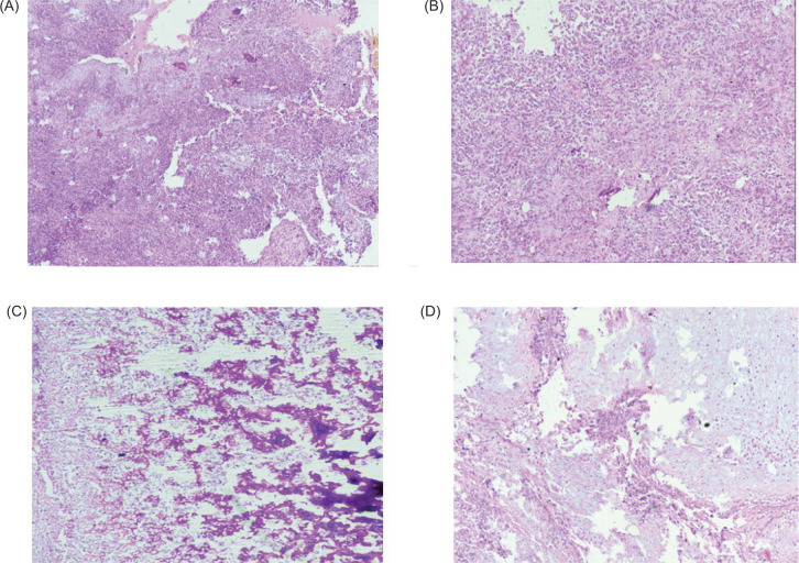
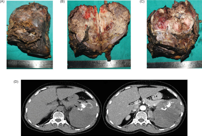
Chromophobe renal cell carcinomas (ChRCCs) have a good prognosis and comprise approximately 5-7% of renal cell carcinomas (RCCs). The sarcomatoid differentiation in RCC is found in around 5-10% of cases; however, in ChRCC, it is much less than in other RCCs and poorly responds to chemotherapeutic agents. A study by de Peralta-Venturina et al. found 9% sarcomatoid differentiation in chromophobe RCC. We present the case of a 58-year-old female with a left abdominal mass diagnosed as ChRCC with the existence of sarcomatous differentiation including osteosarcomatous and chondrosarcomatous, which are of adverse prognosis. Osteosarcoma-like divergent differentiation in RCC is extremely rare, with limited documented cases. It should be carefully considered in evaluating and managing renal masses due to its potential impact on clinical outcomes.

Abstract Image

Abstract Image

Abstract Image

伴肉瘤样分化(骨肉瘤样和软骨肉瘤样分化)的Chromophobe肾细胞癌--病例报告和全面综述。
嗜铬细胞肾细胞癌(Chromophobe renal cell carcinomas,ChRCC)预后良好,约占肾细胞癌(RCC)的 5-7%。RCC中肉瘤样分化的病例约占5%-10%;然而,ChRCC的肉瘤样分化程度远低于其他RCC,而且对化疗药物的反应较差。de Peralta-Venturina 等人的研究发现,嗜色性 RCC 中肉瘤样分化率为 9%。我们介绍了一例 58 岁女性的病例,她的左腹部肿块被诊断为 ChRCC,存在肉瘤样分化,包括骨肉瘤样和软骨肉瘤样,预后不良。骨肉瘤样分化在 RCC 中极为罕见,记录在案的病例有限。由于其对临床结果的潜在影响,在评估和管理肾肿块时应谨慎考虑。
本文章由计算机程序翻译,如有差异,请以英文原文为准。
求助全文
约1分钟内获得全文 求助全文
来源期刊
自引率
6.20%
发文量
22
审稿时长
4 weeks
×
引用
GB/T 7714-2015
复制
MLA
复制
APA
复制
导出至
BibTeX EndNote RefMan NoteFirst NoteExpress
×
提示
您的信息不完整,为了账户安全,请先补充。
现在去补充
×
提示
您因"违规操作"
具体请查看互助需知
我知道了
×
提示
确定
请完成安全验证×
copy
已复制链接
快去分享给好友吧!
我知道了
右上角分享
点击右上角分享
0
联系我们:info@booksci.cn Book学术提供免费学术资源搜索服务,方便国内外学者检索中英文文献。致力于提供最便捷和优质的服务体验。 Copyright © 2023 布克学术 All rights reserved.
京ICP备2023020795号-1
ghs 京公网安备 11010802042870号
Book学术文献互助
Book学术文献互助群
群 号:604180095
Book学术官方微信