Fenestrated over-the-needle catheter fracture during thoracocentesis in a cat.

IF 0.7 Q3 VETERINARY SCIENCES
Journal of Feline Medicine and Surgery Open Reports Pub Date : 2024-09-13 eCollection Date: 2024-07-01 DOI:10.1177/20551169241273600
Brigid K Lemburg, Julie M Walker
{"title":"Fenestrated over-the-needle catheter fracture during thoracocentesis in a cat.","authors":"Brigid K Lemburg, Julie M Walker","doi":"10.1177/20551169241273600","DOIUrl":null,"url":null,"abstract":"<p><strong>Case summary: </strong>A 6-year-old castrated male domestic shorthair cat was evaluated for recurrent pleural effusion, atrial fibrillation and suspected congestive heart failure. During thoracocentesis, the fenestrated over-the-needle catheter became fractured and a catheter fragment remained in the patient's left pleural space. Later in the course of treatment, the patient acutely decompensated and was euthanized. There were no immediately observed complications associated with the retained catheter fragment.</p><p><strong>Relevance and novel information: </strong>To the authors' knowledge, there are no reports of over-the-needle catheter fractures with retained pleural catheter fragments in veterinary medicine. Similar cases in humans have been successfully managed with and without removal of catheter fragments. In veterinary medicine, the decision to attempt removal of a catheter fragment must consider both the likelihood of related morbidity and the patient's ability to tolerate an invasive procedure.</p>","PeriodicalId":36588,"journal":{"name":"Journal of Feline Medicine and Surgery Open Reports","volume":"10 2","pages":"20551169241273600"},"PeriodicalIF":0.7000,"publicationDate":"2024-09-13","publicationTypes":"Journal Article","fieldsOfStudy":null,"isOpenAccess":false,"openAccessPdf":"https://www.ncbi.nlm.nih.gov/pmc/articles/PMC11403563/pdf/","citationCount":"0","resultStr":null,"platform":"Semanticscholar","paperid":null,"PeriodicalName":"Journal of Feline Medicine and Surgery Open Reports","FirstCategoryId":"1085","ListUrlMain":"https://doi.org/10.1177/20551169241273600","RegionNum":0,"RegionCategory":null,"ArticlePicture":[],"TitleCN":null,"AbstractTextCN":null,"PMCID":null,"EPubDate":"2024/7/1 0:00:00","PubModel":"eCollection","JCR":"Q3","JCRName":"VETERINARY SCIENCES","Score":null,"Total":0}
引用次数: 0

Abstract

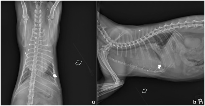
Case summary: A 6-year-old castrated male domestic shorthair cat was evaluated for recurrent pleural effusion, atrial fibrillation and suspected congestive heart failure. During thoracocentesis, the fenestrated over-the-needle catheter became fractured and a catheter fragment remained in the patient's left pleural space. Later in the course of treatment, the patient acutely decompensated and was euthanized. There were no immediately observed complications associated with the retained catheter fragment.

Relevance and novel information: To the authors' knowledge, there are no reports of over-the-needle catheter fractures with retained pleural catheter fragments in veterinary medicine. Similar cases in humans have been successfully managed with and without removal of catheter fragments. In veterinary medicine, the decision to attempt removal of a catheter fragment must consider both the likelihood of related morbidity and the patient's ability to tolerate an invasive procedure.

Abstract Image

Abstract Image

Abstract Image

一只猫在胸腔穿刺术中发生穿孔过针导管断裂。
病例摘要:一只 6 岁的阉割雄性短毛猫因反复胸腔积液、心房颤动和疑似充血性心力衰竭接受了评估。在胸腔穿刺过程中,栅栏状过针导管断裂,导管碎片残留在患者左侧胸膜腔内。治疗后期,患者出现急性失代偿,被安乐死。没有立即观察到与残留导管碎片相关的并发症:据作者所知,在兽医领域还没有关于过针导管骨折并伴有胸膜导管碎片滞留的报道。人类的类似病例在移除或不移除导管碎片的情况下都获得了成功。在兽医学中,决定是否尝试移除导管碎片时,必须同时考虑相关发病率的可能性和患者对侵入性手术的耐受能力。
本文章由计算机程序翻译,如有差异,请以英文原文为准。
求助全文
约1分钟内获得全文 求助全文
来源期刊
CiteScore
1.30
自引率
14.30%
发文量
57
审稿时长
15 weeks
×
引用
GB/T 7714-2015
复制
MLA
复制
APA
复制
导出至
BibTeX EndNote RefMan NoteFirst NoteExpress
×
提示
您的信息不完整,为了账户安全,请先补充。
现在去补充
×
提示
您因"违规操作"
具体请查看互助需知
我知道了
×
提示
确定
请完成安全验证×
copy
已复制链接
快去分享给好友吧!
我知道了
右上角分享
点击右上角分享
0
联系我们:info@booksci.cn Book学术提供免费学术资源搜索服务,方便国内外学者检索中英文文献。致力于提供最便捷和优质的服务体验。 Copyright © 2023 布克学术 All rights reserved.
京ICP备2023020795号-1
ghs 京公网安备 11010802042870号
Book学术文献互助
Book学术文献互助群
群 号:604180095
Book学术官方微信