Distal partial ulnectomy with ulnar styloid process excision for management of an aneurysmal bone cyst in a cat.

IF 0.7 Q3 VETERINARY SCIENCES
Journal of Feline Medicine and Surgery Open Reports Pub Date : 2024-09-10 eCollection Date: 2024-07-01 DOI:10.1177/20551169241269323
Carlos Sanchez Villamil, Cesar Llanos Diez, Grace Thomas, Rachel Garty, Marianne Lappalainen, Julius Klever, Alexandros Hardas
{"title":"Distal partial ulnectomy with ulnar styloid process excision for management of an aneurysmal bone cyst in a cat.","authors":"Carlos Sanchez Villamil, Cesar Llanos Diez, Grace Thomas, Rachel Garty, Marianne Lappalainen, Julius Klever, Alexandros Hardas","doi":"10.1177/20551169241269323","DOIUrl":null,"url":null,"abstract":"<p><strong>Case summary: </strong>An 8-year-old male neutered domestic shorthair cat was presented with an acute onset of left thoracic limb lameness and a firm swelling on the lateral aspect of the left distal antebrachium. A CT scan of the left thoracic limb revealed an expansile osteolytic cystic bone lesion centred at the distal left ulnar metaphysis. Cytology from fine-needle aspiration was not consistent with neoplasia. The CT features and the cytology results were suggestive of a bone cyst. A distal partial ulnectomy with ulnar styloid process excision was performed as the biopsy method and as the treatment approach. Histopathology results were consistent with an aneurysmal bone cyst (ABC). Carpal instability was not detected after distal partial ulnectomy; therefore, a stabilisation method was not required. Limb function was excellent after surgery, with no lameness and no recurrence detected by the owner at 2, 6 and 24 weeks postoperatively. The veterinary examination at 12 weeks postoperatively confirmed the owner's outcome assessment.</p><p><strong>Relevance and novel information: </strong>To the authors' knowledge, this is the first report describing a distal partial ulnectomy with ulnar styloid process excision in a cat. Despite disrupting the short ulnar collateral ligament, this technique provided excellent short-term limb function with no need for carpal joint stabilisation. This technique allowed for the complete excision of a distal ulnar ABC and avoided cyst debridement, which could be associated with haemorrhage, recurrence and malignant transformation. Distal partial ulnectomy should be considered for distal ulnar bone lesions in cats.</p>","PeriodicalId":36588,"journal":{"name":"Journal of Feline Medicine and Surgery Open Reports","volume":"10 2","pages":"20551169241269323"},"PeriodicalIF":0.7000,"publicationDate":"2024-09-10","publicationTypes":"Journal Article","fieldsOfStudy":null,"isOpenAccess":false,"openAccessPdf":"https://www.ncbi.nlm.nih.gov/pmc/articles/PMC11403562/pdf/","citationCount":"0","resultStr":null,"platform":"Semanticscholar","paperid":null,"PeriodicalName":"Journal of Feline Medicine and Surgery Open Reports","FirstCategoryId":"1085","ListUrlMain":"https://doi.org/10.1177/20551169241269323","RegionNum":0,"RegionCategory":null,"ArticlePicture":[],"TitleCN":null,"AbstractTextCN":null,"PMCID":null,"EPubDate":"2024/7/1 0:00:00","PubModel":"eCollection","JCR":"Q3","JCRName":"VETERINARY SCIENCES","Score":null,"Total":0}
引用次数: 0

Abstract

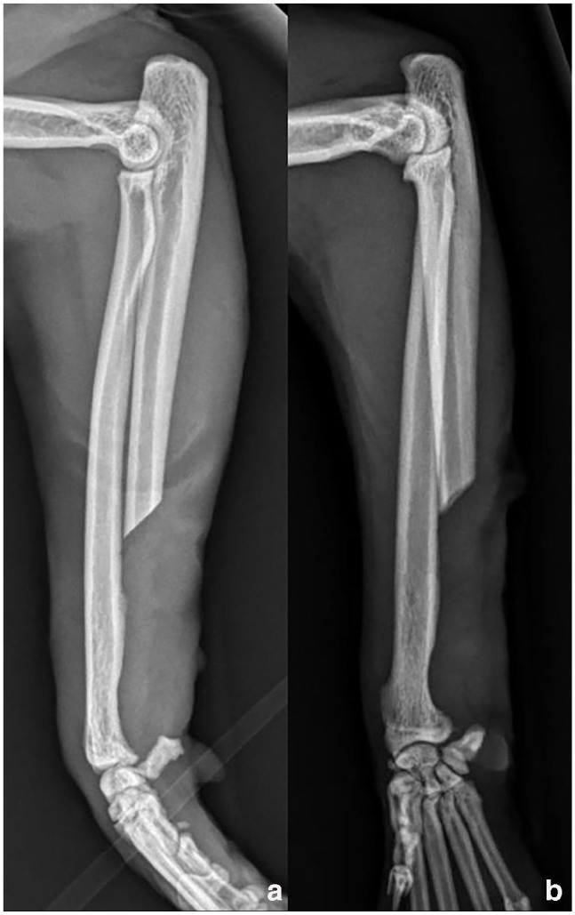
Case summary: An 8-year-old male neutered domestic shorthair cat was presented with an acute onset of left thoracic limb lameness and a firm swelling on the lateral aspect of the left distal antebrachium. A CT scan of the left thoracic limb revealed an expansile osteolytic cystic bone lesion centred at the distal left ulnar metaphysis. Cytology from fine-needle aspiration was not consistent with neoplasia. The CT features and the cytology results were suggestive of a bone cyst. A distal partial ulnectomy with ulnar styloid process excision was performed as the biopsy method and as the treatment approach. Histopathology results were consistent with an aneurysmal bone cyst (ABC). Carpal instability was not detected after distal partial ulnectomy; therefore, a stabilisation method was not required. Limb function was excellent after surgery, with no lameness and no recurrence detected by the owner at 2, 6 and 24 weeks postoperatively. The veterinary examination at 12 weeks postoperatively confirmed the owner's outcome assessment.

Relevance and novel information: To the authors' knowledge, this is the first report describing a distal partial ulnectomy with ulnar styloid process excision in a cat. Despite disrupting the short ulnar collateral ligament, this technique provided excellent short-term limb function with no need for carpal joint stabilisation. This technique allowed for the complete excision of a distal ulnar ABC and avoided cyst debridement, which could be associated with haemorrhage, recurrence and malignant transformation. Distal partial ulnectomy should be considered for distal ulnar bone lesions in cats.

Abstract Image

Abstract Image

Abstract Image

为治疗猫动脉瘤性骨囊肿而进行的尺骨远端部分连接切除术和尺骨腕突切除术。
病例摘要:一只 8 岁的雄性阉割短毛猫因急性左胸肢跛行和左前肱骨远端外侧坚实肿胀而就诊。左胸肢的 CT 扫描显示,以左尺桡骨干骺端为中心的膨胀性溶骨性囊性骨病变。细针穿刺细胞学检查结果与肿瘤不符。CT 特征和细胞学结果均提示为骨囊肿。作为活检方法和治疗方法,该患者接受了尺骨远端部分尺骨切除术,并切除了尺骨骨干。组织病理学结果与动脉瘤性骨囊肿(ABC)一致。远端部分尺骨切除术后未发现腕关节不稳,因此无需采用稳定方法。术后肢体功能良好,在术后2周、6周和24周,主人没有发现跛行和复发。术后 12 周的兽医检查证实了主人的评估结果:据作者所知,这是第一份描述在猫身上进行尺骨远端部分韧带切除术并同时切除尺骨类风湿关节的报告。尽管该技术破坏了短尺侧韧带,但却能提供极佳的短期肢体功能,且无需稳定腕关节。这种技术可以完全切除尺骨远端ABC,避免了囊肿清创,而囊肿清创可能会导致大出血、复发和恶变。对于猫的尺骨远端病变,应考虑进行尺骨远端部分切除术。
本文章由计算机程序翻译,如有差异,请以英文原文为准。
求助全文
约1分钟内获得全文 求助全文
来源期刊
CiteScore
1.30
自引率
14.30%
发文量
57
审稿时长
15 weeks
×
引用
GB/T 7714-2015
复制
MLA
复制
APA
复制
导出至
BibTeX EndNote RefMan NoteFirst NoteExpress
×
提示
您的信息不完整,为了账户安全,请先补充。
现在去补充
×
提示
您因"违规操作"
具体请查看互助需知
我知道了
×
提示
确定
请完成安全验证×
copy
已复制链接
快去分享给好友吧!
我知道了
右上角分享
点击右上角分享
0
联系我们:info@booksci.cn Book学术提供免费学术资源搜索服务,方便国内外学者检索中英文文献。致力于提供最便捷和优质的服务体验。 Copyright © 2023 布克学术 All rights reserved.
京ICP备2023020795号-1
ghs 京公网安备 11010802042870号
Book学术文献互助
Book学术文献互助群
群 号:604180095
Book学术官方微信