Microcystic Macular Edema Caused by Non-Glaucomatous Optic Atrophy: A Single-Center, Retrospective, Cohort Study in France.

IF 1.8 Q2 Medicine
Tibaut Coutureau, Jacqueline Butterworth, Damien Biotti, Pierre Fournié, Vincent Soler, Fanny Varenne
{"title":"Microcystic Macular Edema Caused by Non-Glaucomatous Optic Atrophy: A Single-Center, Retrospective, Cohort Study in France.","authors":"Tibaut Coutureau, Jacqueline Butterworth, Damien Biotti, Pierre Fournié, Vincent Soler, Fanny Varenne","doi":"10.3390/vision8030052","DOIUrl":null,"url":null,"abstract":"<p><p>Optic Atrophy (OA) can be associated with the development of microcystic macular edema (MME) in the perifoveal retinal inner nuclear layer (INL). We aimed here to retrospectively determine the prevalence of MME in patients with non-glaucomatous OA in our tertiary ophthalmology department between 2015 and 2020. We then examined how MME affected the thicknesses of the different retinal layers and the differences in demographic and clinical characteristics between those patients who developed MME and those who did not. A total of 643 eyes (429 patients) were included (mean age 45.9 ± 17.8 years, 52% female). MME developed in 95 (15%) eyes and across all etiologies of OA except for toxic/nutritional causes, but the prevalence of MME varied between the different etiologies. The development of MME was associated with thinning of the ganglion cell layer (11.0 vs. 9.6 μm; <i>p</i> = 0.001) and the retinal nerve fiber layer (10.1 vs. 9.15 μm; <i>p</i> = 0.024), with INL thickening in the 3- and 6-mm diameter areas of the central fovea. Patients developing MME had significantly worse distance best-corrected visual acuity than those not developing MME (0.62 vs. 0.38 logMAR; <i>p</i> = 0.002). Overall, the presence of MME in OA cannot be used to guide the diagnostic work-up of OA.</p>","PeriodicalId":36586,"journal":{"name":"Vision (Switzerland)","volume":"8 3","pages":""},"PeriodicalIF":1.8000,"publicationDate":"2024-09-06","publicationTypes":"Journal Article","fieldsOfStudy":null,"isOpenAccess":false,"openAccessPdf":"https://www.ncbi.nlm.nih.gov/pmc/articles/PMC11417757/pdf/","citationCount":"0","resultStr":null,"platform":"Semanticscholar","paperid":null,"PeriodicalName":"Vision (Switzerland)","FirstCategoryId":"1085","ListUrlMain":"https://doi.org/10.3390/vision8030052","RegionNum":0,"RegionCategory":null,"ArticlePicture":[],"TitleCN":null,"AbstractTextCN":null,"PMCID":null,"EPubDate":"","PubModel":"","JCR":"Q2","JCRName":"Medicine","Score":null,"Total":0}
引用次数: 0

Abstract

Optic Atrophy (OA) can be associated with the development of microcystic macular edema (MME) in the perifoveal retinal inner nuclear layer (INL). We aimed here to retrospectively determine the prevalence of MME in patients with non-glaucomatous OA in our tertiary ophthalmology department between 2015 and 2020. We then examined how MME affected the thicknesses of the different retinal layers and the differences in demographic and clinical characteristics between those patients who developed MME and those who did not. A total of 643 eyes (429 patients) were included (mean age 45.9 ± 17.8 years, 52% female). MME developed in 95 (15%) eyes and across all etiologies of OA except for toxic/nutritional causes, but the prevalence of MME varied between the different etiologies. The development of MME was associated with thinning of the ganglion cell layer (11.0 vs. 9.6 μm; p = 0.001) and the retinal nerve fiber layer (10.1 vs. 9.15 μm; p = 0.024), with INL thickening in the 3- and 6-mm diameter areas of the central fovea. Patients developing MME had significantly worse distance best-corrected visual acuity than those not developing MME (0.62 vs. 0.38 logMAR; p = 0.002). Overall, the presence of MME in OA cannot be used to guide the diagnostic work-up of OA.

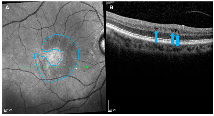
Abstract Image

由非青光眼性视神经萎缩引起的微囊性黄斑水肿:法国一项单中心、回顾性、队列研究
视神经萎缩(OA)可能与眼底视网膜内核层(INL)微囊性黄斑水肿(MME)的发生有关。在此,我们旨在回顾性地确定 2015 年至 2020 年间在我们的三级眼科部门就诊的非青光眼性 OA 患者中 MME 的发病率。然后,我们研究了MME对不同视网膜层厚度的影响,以及发生MME和未发生MME的患者在人口统计学和临床特征方面的差异。共纳入了 643 只眼睛(429 名患者)(平均年龄为 45.9 ± 17.8 岁,52% 为女性)。95只眼睛(15%)出现了MME,除中毒性/营养性原因外,所有病因导致的OA都出现了MME,但不同病因导致的MME发生率不同。MME的发生与神经节细胞层变薄(11.0 vs. 9.6 μm;p = 0.001)和视网膜神经纤维层变薄(10.1 vs. 9.15 μm;p = 0.024)有关,中央眼窝3毫米和6毫米直径区域的INL增厚。出现 MME 的患者的远距离最佳矫正视力明显低于未出现 MME 的患者(0.62 对 0.38 logMAR;p = 0.002)。总之,OA 中出现的 MME 不能用于指导 OA 的诊断工作。
本文章由计算机程序翻译,如有差异,请以英文原文为准。
求助全文
约1分钟内获得全文 求助全文
来源期刊
Vision (Switzerland)
Vision (Switzerland) Health Professions-Optometry
CiteScore
2.30
自引率
0.00%
发文量
62
审稿时长
11 weeks
×
引用
GB/T 7714-2015
复制
MLA
复制
APA
复制
导出至
BibTeX EndNote RefMan NoteFirst NoteExpress
×
提示
您的信息不完整,为了账户安全,请先补充。
现在去补充
×
提示
您因"违规操作"
具体请查看互助需知
我知道了
×
提示
确定
请完成安全验证×
copy
已复制链接
快去分享给好友吧!
我知道了
右上角分享
点击右上角分享
0
联系我们:info@booksci.cn Book学术提供免费学术资源搜索服务,方便国内外学者检索中英文文献。致力于提供最便捷和优质的服务体验。 Copyright © 2023 布克学术 All rights reserved.
京ICP备2023020795号-1
ghs 京公网安备 11010802042870号
Book学术文献互助
Book学术文献互助群
群 号:604180095
Book学术官方微信