Evaluation of glial tumors: correlation between magnetic resonance imaging and histopathological analysis.

Q3 Medicine
Radiologia Brasileira Pub Date : 2024-09-16 eCollection Date: 2024-01-01 DOI:10.1590/0100-3984.2024.0025
Lillian Gonçalves Campos, Francine Hehn de Oliveira, Ápio Cláudio Martins Antunes, Juliana Ávila Duarte
{"title":"Evaluation of glial tumors: correlation between magnetic resonance imaging and histopathological analysis.","authors":"Lillian Gonçalves Campos, Francine Hehn de Oliveira, Ápio Cláudio Martins Antunes, Juliana Ávila Duarte","doi":"10.1590/0100-3984.2024.0025","DOIUrl":null,"url":null,"abstract":"<p><strong>Objective: </strong>To determine the correlation of conventional and diffusion-weighted imaging findings on magnetic resonance imaging (MRI) of the brain, based on Visually AcceSAble Rembrandt Images (VASARI) criteria, with the histopathological grading of gliomas: low-grade or high-grade.</p><p><strong>Materials and methods: </strong>Preoperative MRI scans of 178 patients with brain gliomas and pathological confirmation were rated by two neuroradiologists for tumor size, location, and tumor morphology, using a standardized imaging feature set based on the VASARI criteria.</p><p><strong>Results: </strong>In the univariate analysis, more than half of the MRI characteristics evaluated showed a significant association with the tumor grade. The characteristics most significantly associated with the tumor grade were hemorrhage; restricted diffusion; pial invasion; enhancement; and a non-contrast-enhancing tumor crossing the midline. In a multivariable regression model, the presence of enhancement and hemorrhage maintained a significant association with high tumor grade. The absence of contrast enhancement and restricted diffusion were associated with the presence of an isocitrate dehydrogenase gene mutation.</p><p><strong>Conclusion: </strong>Our data illustrate that VASARI MRI features, especially intratumoral hemorrhage, contrast enhancement, and multicentricity, correlate strongly with glial tumor grade.</p>","PeriodicalId":20842,"journal":{"name":"Radiologia Brasileira","volume":"57 ","pages":"e20240025"},"PeriodicalIF":0.0000,"publicationDate":"2024-09-16","publicationTypes":"Journal Article","fieldsOfStudy":null,"isOpenAccess":false,"openAccessPdf":"https://www.ncbi.nlm.nih.gov/pmc/articles/PMC11406976/pdf/","citationCount":"0","resultStr":null,"platform":"Semanticscholar","paperid":null,"PeriodicalName":"Radiologia Brasileira","FirstCategoryId":"1085","ListUrlMain":"https://doi.org/10.1590/0100-3984.2024.0025","RegionNum":0,"RegionCategory":null,"ArticlePicture":[],"TitleCN":null,"AbstractTextCN":null,"PMCID":null,"EPubDate":"2024/1/1 0:00:00","PubModel":"eCollection","JCR":"Q3","JCRName":"Medicine","Score":null,"Total":0}
引用次数: 0

Abstract

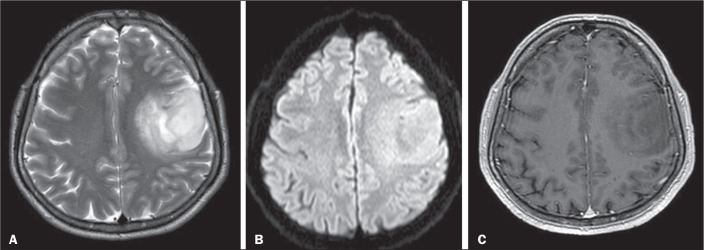
Objective: To determine the correlation of conventional and diffusion-weighted imaging findings on magnetic resonance imaging (MRI) of the brain, based on Visually AcceSAble Rembrandt Images (VASARI) criteria, with the histopathological grading of gliomas: low-grade or high-grade.

Materials and methods: Preoperative MRI scans of 178 patients with brain gliomas and pathological confirmation were rated by two neuroradiologists for tumor size, location, and tumor morphology, using a standardized imaging feature set based on the VASARI criteria.

Results: In the univariate analysis, more than half of the MRI characteristics evaluated showed a significant association with the tumor grade. The characteristics most significantly associated with the tumor grade were hemorrhage; restricted diffusion; pial invasion; enhancement; and a non-contrast-enhancing tumor crossing the midline. In a multivariable regression model, the presence of enhancement and hemorrhage maintained a significant association with high tumor grade. The absence of contrast enhancement and restricted diffusion were associated with the presence of an isocitrate dehydrogenase gene mutation.

Conclusion: Our data illustrate that VASARI MRI features, especially intratumoral hemorrhage, contrast enhancement, and multicentricity, correlate strongly with glial tumor grade.

Abstract Image

Abstract Image

Abstract Image

胶质瘤评估:磁共振成像与组织病理学分析之间的相关性。
目的根据可视化伦勃朗图像(VASARI)标准,确定脑部磁共振成像(MRI)的常规和弥散加权成像结果与胶质瘤组织病理学分级(低级别或高级别)的相关性:由两名神经放射学专家使用基于 VASARI 标准的标准化成像特征集对 178 名脑胶质瘤患者的术前 MRI 扫描和病理证实进行肿瘤大小、位置和肿瘤形态学评分:在单变量分析中,一半以上的磁共振成像特征与肿瘤分级有显著相关性。与肿瘤分级关系最密切的特征是出血、弥散受限、皮质侵犯、增强以及非造影剂增强的肿瘤穿过中线。在多变量回归模型中,出现增强和出血与肿瘤分级高有显著关系。无对比度增强和弥散受限与异柠檬酸脱氢酶基因突变有关:我们的数据表明,VASARI MRI特征,尤其是瘤内出血、对比增强和多中心性,与胶质瘤分级密切相关。
本文章由计算机程序翻译,如有差异,请以英文原文为准。
求助全文
约1分钟内获得全文 求助全文
来源期刊
Radiologia Brasileira
Radiologia Brasileira Medicine-Radiology, Nuclear Medicine and Imaging
CiteScore
2.60
自引率
0.00%
发文量
75
审稿时长
28 weeks
×
引用
GB/T 7714-2015
复制
MLA
复制
APA
复制
导出至
BibTeX EndNote RefMan NoteFirst NoteExpress
×
提示
您的信息不完整,为了账户安全,请先补充。
现在去补充
×
提示
您因"违规操作"
具体请查看互助需知
我知道了
×
提示
确定
请完成安全验证×
copy
已复制链接
快去分享给好友吧!
我知道了
右上角分享
点击右上角分享
0
联系我们:info@booksci.cn Book学术提供免费学术资源搜索服务,方便国内外学者检索中英文文献。致力于提供最便捷和优质的服务体验。 Copyright © 2023 布克学术 All rights reserved.
京ICP备2023020795号-1
ghs 京公网安备 11010802042870号
Book学术文献互助
Book学术文献互助群
群 号:604180095
Book学术官方微信