Spontaneous Resolution of Posttraumatic Retinal Pigment Epithelium Tear and Associated Exudative Retinal Detachment.

IF 0.9 Q3 OPHTHALMOLOGY
Journal of Current Ophthalmology Pub Date : 2024-08-10 eCollection Date: 2023-10-01 DOI:10.4103/joco.joco_77_23
Pradeep Kumar Panigrahi, Anita Minj, Japesh Thareja, Chinthala Navyasree, Laukya Jyothsna Devi Veerla
{"title":"Spontaneous Resolution of Posttraumatic Retinal Pigment Epithelium Tear and Associated Exudative Retinal Detachment.","authors":"Pradeep Kumar Panigrahi, Anita Minj, Japesh Thareja, Chinthala Navyasree, Laukya Jyothsna Devi Veerla","doi":"10.4103/joco.joco_77_23","DOIUrl":null,"url":null,"abstract":"<p><strong>Purpose: </strong>To report a case of posttraumatic retinal pigment epithelium (RPE) tear complicated with exudative retinal detachment that underwent spontaneous resolution.</p><p><strong>Methods: </strong>Case report.</p><p><strong>Results: </strong>A 61-year-old healthy female presented with sudden-onset loss of vision in the left eye for 5 days following blunt trauma. She had undergone left upper eyelid and eyebrow laceration repair elsewhere. A comprehensive ophthalmic examination revealed a subfoveal RPE tear with exudative retinal detachment in the left eye. There was spontaneous healing of RPE tear and complete resolution of exudative retinal detachment 2 weeks following the initial presentation.</p><p><strong>Conclusions: </strong>RPE tear is an extremely rare complication following blunt trauma. The size of the RPE tear can play an important role in determining the final visual prognosis in such cases.</p>","PeriodicalId":15423,"journal":{"name":"Journal of Current Ophthalmology","volume":"35 4","pages":"408-410"},"PeriodicalIF":0.9000,"publicationDate":"2024-08-10","publicationTypes":"Journal Article","fieldsOfStudy":null,"isOpenAccess":false,"openAccessPdf":"https://www.ncbi.nlm.nih.gov/pmc/articles/PMC11392292/pdf/","citationCount":"0","resultStr":null,"platform":"Semanticscholar","paperid":null,"PeriodicalName":"Journal of Current Ophthalmology","FirstCategoryId":"1085","ListUrlMain":"https://doi.org/10.4103/joco.joco_77_23","RegionNum":0,"RegionCategory":null,"ArticlePicture":[],"TitleCN":null,"AbstractTextCN":null,"PMCID":null,"EPubDate":"2023/10/1 0:00:00","PubModel":"eCollection","JCR":"Q3","JCRName":"OPHTHALMOLOGY","Score":null,"Total":0}
引用次数: 0

Abstract

Purpose: To report a case of posttraumatic retinal pigment epithelium (RPE) tear complicated with exudative retinal detachment that underwent spontaneous resolution.

Methods: Case report.

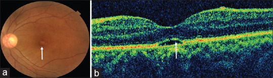
Results: A 61-year-old healthy female presented with sudden-onset loss of vision in the left eye for 5 days following blunt trauma. She had undergone left upper eyelid and eyebrow laceration repair elsewhere. A comprehensive ophthalmic examination revealed a subfoveal RPE tear with exudative retinal detachment in the left eye. There was spontaneous healing of RPE tear and complete resolution of exudative retinal detachment 2 weeks following the initial presentation.

Conclusions: RPE tear is an extremely rare complication following blunt trauma. The size of the RPE tear can play an important role in determining the final visual prognosis in such cases.

Abstract Image

Abstract Image

外伤后视网膜色素上皮撕裂及相关渗出性视网膜脱离的自发性消退
目的:报告一例外伤后视网膜色素上皮(RPE)撕裂并发渗出性视网膜脱离的病例:方法:病例报告:一名 61 岁的健康女性在钝性外伤后突然左眼视力丧失 5 天。她曾在其他地方接受过左上眼睑和眉毛裂伤修复手术。全面的眼科检查显示,左眼眼底 RPE 膜下撕裂,伴有渗出性视网膜脱离。初次就诊两周后,RPE撕裂自发愈合,渗出性视网膜脱离完全消退:RPE撕裂是钝性外伤后一种极为罕见的并发症。结论:RPE撕裂是钝性外伤后极为罕见的并发症,RPE撕裂的大小在决定此类病例的最终视力预后方面起着重要作用。
本文章由计算机程序翻译,如有差异,请以英文原文为准。
求助全文
约1分钟内获得全文 求助全文
来源期刊
CiteScore
2.50
自引率
6.70%
发文量
45
审稿时长
8 weeks
期刊介绍: Peer Review under the responsibility of Iranian Society of Ophthalmology Journal of Current Ophthalmology, the official publication of the Iranian Society of Ophthalmology, is a peer-reviewed, open-access, scientific journal that welcomes high quality original articles related to vision science and all fields of ophthalmology. Journal of Current Ophthalmology is the continuum of Iranian Journal of Ophthalmology published since 1969.
×
引用
GB/T 7714-2015
复制
MLA
复制
APA
复制
导出至
BibTeX EndNote RefMan NoteFirst NoteExpress
×
提示
您的信息不完整,为了账户安全,请先补充。
现在去补充
×
提示
您因"违规操作"
具体请查看互助需知
我知道了
×
提示
确定
请完成安全验证×
copy
已复制链接
快去分享给好友吧!
我知道了
右上角分享
点击右上角分享
0
联系我们:info@booksci.cn Book学术提供免费学术资源搜索服务,方便国内外学者检索中英文文献。致力于提供最便捷和优质的服务体验。 Copyright © 2023 布克学术 All rights reserved.
京ICP备2023020795号-1
ghs 京公网安备 11010802042870号
Book学术文献互助
Book学术文献互助群
群 号:604180095
Book学术官方微信