Super-resolution deep learning image reconstruction: image quality and myocardial homogeneity in coronary computed tomography angiography.

Q2 Medicine
Chuluunbaatar Otgonbaatar, Hyunjung Kim, Pil-Hyun Jeon, Sang-Hyun Jeon, Sung-Jin Cha, Jae-Kyun Ryu, Won Beom Jung, Hackjoon Shim, Sung Min Ko
{"title":"Super-resolution deep learning image reconstruction: image quality and myocardial homogeneity in coronary computed tomography angiography.","authors":"Chuluunbaatar Otgonbaatar, Hyunjung Kim, Pil-Hyun Jeon, Sang-Hyun Jeon, Sung-Jin Cha, Jae-Kyun Ryu, Won Beom Jung, Hackjoon Shim, Sung Min Ko","doi":"10.1186/s44348-024-00031-4","DOIUrl":null,"url":null,"abstract":"<p><strong>Background: </strong>The recently introduced super-resolution (SR) deep learning image reconstruction (DLR) is potentially effective in reducing noise level and enhancing the spatial resolution. We aimed to investigate whether SR-DLR has advantages in the overall image quality and intensity homogeneity on coronary computed tomography (CT) angiography with four different approaches: filtered-back projection (FBP), hybrid iterative reconstruction (IR), DLR, and SR-DLR.</p><p><strong>Methods: </strong>Sixty-three patients (mean age, 61 ± 11 years; range, 18-81 years; 40 men) who had undergone coronary CT angiography between June and October 2022 were retrospectively included. Image noise, signal to noise ratio, and contrast to noise ratio were quantified in both proximal and distal segments of the major coronary arteries. The left ventricle myocardium contrast homogeneity was analyzed. Two independent reviewers scored overall image quality, image noise, image sharpness, and myocardial homogeneity.</p><p><strong>Results: </strong>Image noise in Hounsfield units (HU) was significantly lower (P < 0.001) for the SR-DLR (11.2 ± 2.0 HU) compared to those associated with other image reconstruction methods including FBP (30.5 ± 10.5 HU), hybrid IR (20.0 ± 5.4 HU), and DLR (14.2 ± 2.5 HU) in both proximal and distal segments. SR-DLR significantly improved signal to noise ratio and contrast to noise ratio in both the proximal and distal segments of the major coronary arteries. No significant difference was observed in the myocardial CT attenuation with SR-DLR among different segments of the left ventricle myocardium (P = 0.345). Conversely, FBP and hybrid IR resulted in inhomogeneous myocardial CT attenuation (P < 0.001). Two reviewers graded subjective image quality with SR-DLR higher than other image reconstruction techniques (P < 0.001).</p><p><strong>Conclusions: </strong>SR-DLR improved image quality, demonstrated clearer delineation of distal segments of coronary arteries, and was seemingly accurate for quantifying CT attenuation in the myocardium.</p>","PeriodicalId":15229,"journal":{"name":"Journal of Cardiovascular Imaging","volume":"32 1","pages":"30"},"PeriodicalIF":0.0000,"publicationDate":"2024-09-20","publicationTypes":"Journal Article","fieldsOfStudy":null,"isOpenAccess":false,"openAccessPdf":"https://www.ncbi.nlm.nih.gov/pmc/articles/PMC11414070/pdf/","citationCount":"0","resultStr":null,"platform":"Semanticscholar","paperid":null,"PeriodicalName":"Journal of Cardiovascular Imaging","FirstCategoryId":"1085","ListUrlMain":"https://doi.org/10.1186/s44348-024-00031-4","RegionNum":0,"RegionCategory":null,"ArticlePicture":[],"TitleCN":null,"AbstractTextCN":null,"PMCID":null,"EPubDate":"","PubModel":"","JCR":"Q2","JCRName":"Medicine","Score":null,"Total":0}
引用次数: 0

Abstract

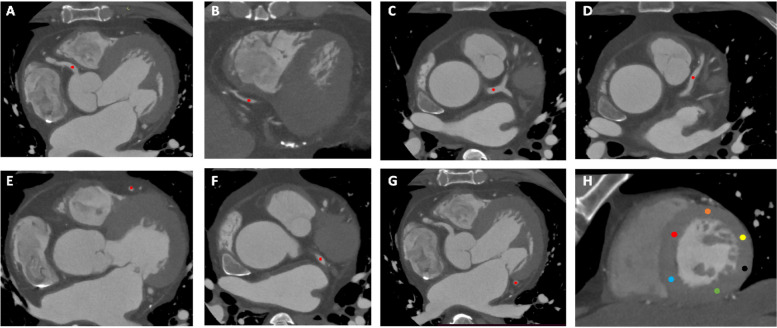
Background: The recently introduced super-resolution (SR) deep learning image reconstruction (DLR) is potentially effective in reducing noise level and enhancing the spatial resolution. We aimed to investigate whether SR-DLR has advantages in the overall image quality and intensity homogeneity on coronary computed tomography (CT) angiography with four different approaches: filtered-back projection (FBP), hybrid iterative reconstruction (IR), DLR, and SR-DLR.

Methods: Sixty-three patients (mean age, 61 ± 11 years; range, 18-81 years; 40 men) who had undergone coronary CT angiography between June and October 2022 were retrospectively included. Image noise, signal to noise ratio, and contrast to noise ratio were quantified in both proximal and distal segments of the major coronary arteries. The left ventricle myocardium contrast homogeneity was analyzed. Two independent reviewers scored overall image quality, image noise, image sharpness, and myocardial homogeneity.

Results: Image noise in Hounsfield units (HU) was significantly lower (P < 0.001) for the SR-DLR (11.2 ± 2.0 HU) compared to those associated with other image reconstruction methods including FBP (30.5 ± 10.5 HU), hybrid IR (20.0 ± 5.4 HU), and DLR (14.2 ± 2.5 HU) in both proximal and distal segments. SR-DLR significantly improved signal to noise ratio and contrast to noise ratio in both the proximal and distal segments of the major coronary arteries. No significant difference was observed in the myocardial CT attenuation with SR-DLR among different segments of the left ventricle myocardium (P = 0.345). Conversely, FBP and hybrid IR resulted in inhomogeneous myocardial CT attenuation (P < 0.001). Two reviewers graded subjective image quality with SR-DLR higher than other image reconstruction techniques (P < 0.001).

Conclusions: SR-DLR improved image quality, demonstrated clearer delineation of distal segments of coronary arteries, and was seemingly accurate for quantifying CT attenuation in the myocardium.

Abstract Image

Abstract Image

Abstract Image

超分辨率深度学习图像重建:冠状动脉计算机断层扫描血管成像中的图像质量和心肌均匀性。
背景:最近推出的超分辨率(SR)深度学习图像重建(DLR)可有效降低噪声水平并提高空间分辨率。我们旨在研究 SR-DLR 在冠状动脉计算机断层扫描(CT)血管造影的整体图像质量和强度均匀性方面是否具有优势,并采用了四种不同的方法:滤波后投影(FBP)、混合迭代重建(IR)、DLR 和 SR-DLR:回顾性纳入在 2022 年 6 月至 10 月期间接受冠状动脉 CT 血管造影术的 63 名患者(平均年龄为 61 ± 11 岁;年龄范围为 18-81 岁;40 名男性)。对主要冠状动脉近端和远端的图像噪声、信噪比和对比度与噪声比进行了量化。对左心室心肌对比度均匀性进行了分析。两名独立评审员对整体图像质量、图像噪声、图像清晰度和心肌均匀性进行评分:结果:以 Hounsfield 单位(HU)表示的图像噪声明显降低(P 结论:SR-DLR 改善了图像质量、清晰度和心肌均匀性:SR-DLR 提高了图像质量,对冠状动脉远段的划分更加清晰,对心肌 CT 衰减的量化似乎也很准确。
本文章由计算机程序翻译,如有差异,请以英文原文为准。
求助全文
约1分钟内获得全文 求助全文
来源期刊
Journal of Cardiovascular Imaging
Journal of Cardiovascular Imaging Medicine-Cardiology and Cardiovascular Medicine
CiteScore
3.40
自引率
0.00%
发文量
42
×
引用
GB/T 7714-2015
复制
MLA
复制
APA
复制
导出至
BibTeX EndNote RefMan NoteFirst NoteExpress
×
提示
您的信息不完整,为了账户安全,请先补充。
现在去补充
×
提示
您因"违规操作"
具体请查看互助需知
我知道了
×
提示
确定
请完成安全验证×
copy
已复制链接
快去分享给好友吧!
我知道了
右上角分享
点击右上角分享
0
联系我们:info@booksci.cn Book学术提供免费学术资源搜索服务,方便国内外学者检索中英文文献。致力于提供最便捷和优质的服务体验。 Copyright © 2023 布克学术 All rights reserved.
京ICP备2023020795号-1
ghs 京公网安备 11010802042870号
Book学术文献互助
Book学术文献互助群
群 号:604180095
Book学术官方微信