There is no well-being without oral health: a case report of Lemierre's syndrome due to neglected odontogenic infection.

IF 1 Q4 PERIPHERAL VASCULAR DISEASE
Jornal Vascular Brasileiro Pub Date : 2024-08-09 eCollection Date: 2024-01-01 DOI:10.1590/1677-5449.202301622
Edward Davis, Ardeno Kristianto, Andrew Jackson Yang
{"title":"There is no well-being without oral health: a case report of Lemierre's syndrome due to neglected odontogenic infection.","authors":"Edward Davis, Ardeno Kristianto, Andrew Jackson Yang","doi":"10.1590/1677-5449.202301622","DOIUrl":null,"url":null,"abstract":"<p><p>Lemierre's syndrome is marked by presence of septic thrombophlebitis in the internal jugular vein. This case report describes a 57-year-old woman who presented with a progressively swelling neck with onset 1 day prior to admission. She had a history of untreated dental infection. Physical examination revealed slightly increased blood pressure, at 140/80 mmHg, and a painful, erythematous, warm swelling in the mid area of the neck. Ultrasound of the neck revealed occlusive intraluminal thrombus in the right internal jugular vein, a computed tomography (CT) scan with contrast showed that there was a blockage in the right jugular vein. The mainstay treatment for Lemierre's syndrome is antibiotics, while administration of anticoagulants remains controversial. The patient was treated conservatively, with administration of antibiotics and anticoagulant. Several days later the patient's condition had improved significantly, with less pain and reduced swelling.</p>","PeriodicalId":14814,"journal":{"name":"Jornal Vascular Brasileiro","volume":"23 ","pages":"e20230162"},"PeriodicalIF":1.0000,"publicationDate":"2024-08-09","publicationTypes":"Journal Article","fieldsOfStudy":null,"isOpenAccess":false,"openAccessPdf":"https://www.ncbi.nlm.nih.gov/pmc/articles/PMC11404776/pdf/","citationCount":"0","resultStr":null,"platform":"Semanticscholar","paperid":null,"PeriodicalName":"Jornal Vascular Brasileiro","FirstCategoryId":"1085","ListUrlMain":"https://doi.org/10.1590/1677-5449.202301622","RegionNum":0,"RegionCategory":null,"ArticlePicture":[],"TitleCN":null,"AbstractTextCN":null,"PMCID":null,"EPubDate":"2024/1/1 0:00:00","PubModel":"eCollection","JCR":"Q4","JCRName":"PERIPHERAL VASCULAR DISEASE","Score":null,"Total":0}
引用次数: 0

Abstract

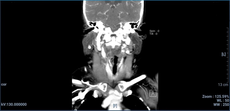
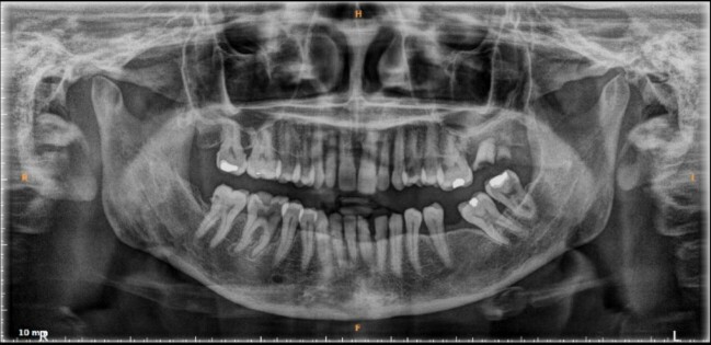
Lemierre's syndrome is marked by presence of septic thrombophlebitis in the internal jugular vein. This case report describes a 57-year-old woman who presented with a progressively swelling neck with onset 1 day prior to admission. She had a history of untreated dental infection. Physical examination revealed slightly increased blood pressure, at 140/80 mmHg, and a painful, erythematous, warm swelling in the mid area of the neck. Ultrasound of the neck revealed occlusive intraluminal thrombus in the right internal jugular vein, a computed tomography (CT) scan with contrast showed that there was a blockage in the right jugular vein. The mainstay treatment for Lemierre's syndrome is antibiotics, while administration of anticoagulants remains controversial. The patient was treated conservatively, with administration of antibiotics and anticoagulant. Several days later the patient's condition had improved significantly, with less pain and reduced swelling.

Abstract Image

Abstract Image

Abstract Image

没有口腔健康就没有幸福:一例因被忽视的牙源性感染导致的莱米埃尔综合征报告。
勒米尔综合征的特征是颈内静脉出现化脓性血栓性静脉炎。本病例报告描述的是一名 57 岁女性,入院前一天出现颈部逐渐肿胀。她曾有未治疗的牙科感染病史。体格检查显示血压略有升高(140/80 mmHg),颈部中间区域出现疼痛、红斑、发热的肿胀。颈部超声波检查发现右颈内静脉有闭塞性腔内血栓,造影剂计算机断层扫描(CT)显示右颈静脉堵塞。莱米埃尔综合征的主要治疗方法是使用抗生素,而使用抗凝剂仍存在争议。患者接受了保守治疗,服用了抗生素和抗凝剂。几天后,患者的病情明显好转,疼痛减轻,肿胀减轻。
本文章由计算机程序翻译,如有差异,请以英文原文为准。
求助全文
约1分钟内获得全文 求助全文
来源期刊
Jornal Vascular Brasileiro
Jornal Vascular Brasileiro Medicine-Cardiology and Cardiovascular Medicine
CiteScore
1.20
自引率
0.00%
发文量
57
审稿时长
20 weeks
期刊介绍: The Jornal Vascular Brasileiro is editated and published quaterly to select and disseminate high-quality scientific contents concerning original research, novel surgical and diagnostic techniques, and clinical observations in the field of vascular surgery, angiology, and endovascular surgery. Its abbreviated title is J. Vasc. Bras., which should be used in bibliographies, footnotes and bibliographical references and strips.
×
引用
GB/T 7714-2015
复制
MLA
复制
APA
复制
导出至
BibTeX EndNote RefMan NoteFirst NoteExpress
×
提示
您的信息不完整,为了账户安全,请先补充。
现在去补充
×
提示
您因"违规操作"
具体请查看互助需知
我知道了
×
提示
确定
请完成安全验证×
copy
已复制链接
快去分享给好友吧!
我知道了
右上角分享
点击右上角分享
0
联系我们:info@booksci.cn Book学术提供免费学术资源搜索服务,方便国内外学者检索中英文文献。致力于提供最便捷和优质的服务体验。 Copyright © 2023 布克学术 All rights reserved.
京ICP备2023020795号-1
ghs 京公网安备 11010802042870号
Book学术文献互助
Book学术文献互助群
群 号:604180095
Book学术官方微信