C3 glomerulonephritis associated with monoclonal gammopathy of renal significance: a diagnostic and therapeutic challenge.

IF 1.3 Q3 UROLOGY & NEPHROLOGY
Bárbara Beirão, Mariana Freitas, Natália Silva, Patrícia Ferraz, Catarina Prata, Teresa Morgado
{"title":"C3 glomerulonephritis associated with monoclonal gammopathy of renal significance: a diagnostic and therapeutic challenge.","authors":"Bárbara Beirão, Mariana Freitas, Natália Silva, Patrícia Ferraz, Catarina Prata, Teresa Morgado","doi":"10.1590/2175-8239-JBN-2024-0092en","DOIUrl":null,"url":null,"abstract":"","PeriodicalId":14724,"journal":{"name":"Jornal brasileiro de nefrologia : 'orgao oficial de Sociedades Brasileira e Latino-Americana de Nefrologia","volume":"46 4","pages":"e20240092"},"PeriodicalIF":1.3000,"publicationDate":"2024-10-01","publicationTypes":"Journal Article","fieldsOfStudy":null,"isOpenAccess":false,"openAccessPdf":"https://www.ncbi.nlm.nih.gov/pmc/articles/PMC11542637/pdf/","citationCount":"0","resultStr":null,"platform":"Semanticscholar","paperid":null,"PeriodicalName":"Jornal brasileiro de nefrologia : 'orgao oficial de Sociedades Brasileira e Latino-Americana de Nefrologia","FirstCategoryId":"1085","ListUrlMain":"https://doi.org/10.1590/2175-8239-JBN-2024-0092en","RegionNum":0,"RegionCategory":null,"ArticlePicture":[],"TitleCN":null,"AbstractTextCN":null,"PMCID":null,"EPubDate":"","PubModel":"","JCR":"Q3","JCRName":"UROLOGY & NEPHROLOGY","Score":null,"Total":0}
引用次数: 0

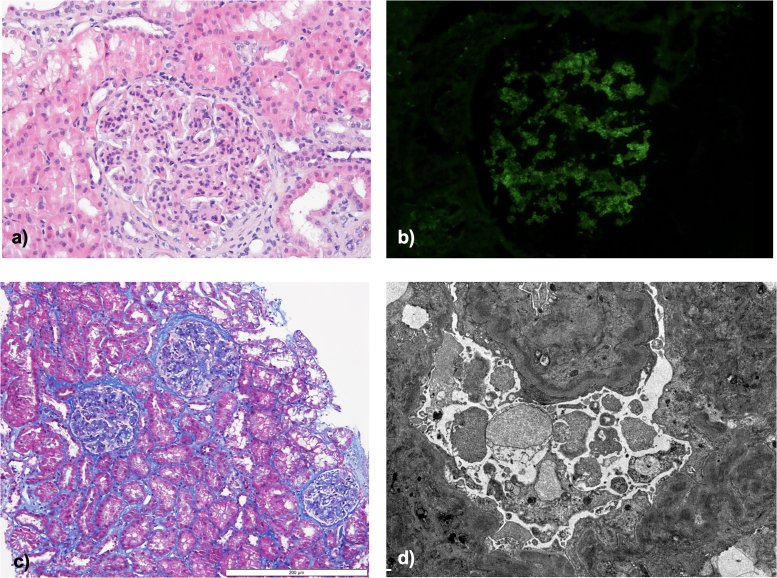
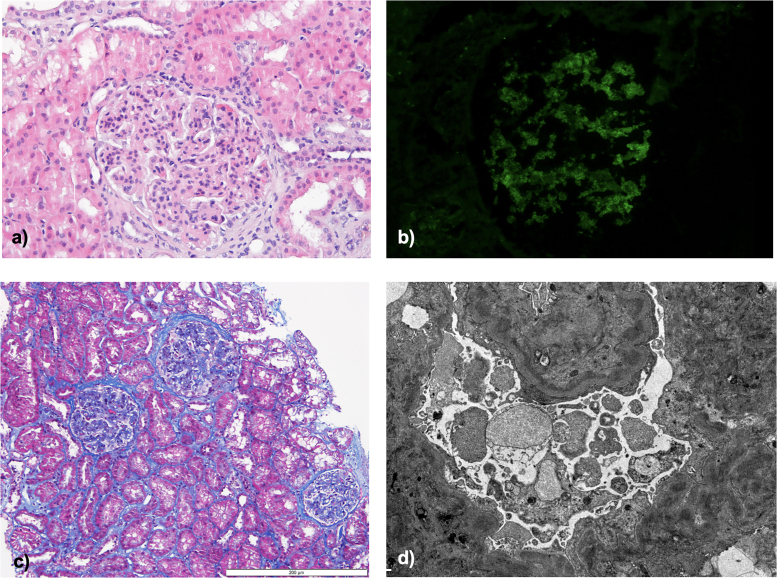
Abstract Image

Abstract Image

Abstract Image

C3肾小球肾炎伴有肾脏单克隆抗体病:诊断和治疗的挑战。
本文章由计算机程序翻译,如有差异,请以英文原文为准。
求助全文
约1分钟内获得全文 求助全文
来源期刊
CiteScore
2.20
自引率
16.70%
发文量
208
审稿时长
16 weeks
×
引用
GB/T 7714-2015
复制
MLA
复制
APA
复制
导出至
BibTeX EndNote RefMan NoteFirst NoteExpress
×
提示
您的信息不完整,为了账户安全,请先补充。
现在去补充
×
提示
您因"违规操作"
具体请查看互助需知
我知道了
×
提示
确定
请完成安全验证×
copy
已复制链接
快去分享给好友吧!
我知道了
右上角分享
点击右上角分享
0
联系我们:info@booksci.cn Book学术提供免费学术资源搜索服务,方便国内外学者检索中英文文献。致力于提供最便捷和优质的服务体验。 Copyright © 2023 布克学术 All rights reserved.
京ICP备2023020795号-1
ghs 京公网安备 11010802042870号
Book学术文献互助
Book学术文献互助群
群 号:604180095
Book学术官方微信