Overlooked Ventricular Septal Defect Post-Myocardial Infarction and Coronary Artery Bypass Grafting.

IF 0.6 Q3 MEDICINE, GENERAL & INTERNAL
Clinical Medicine Insights. Case Reports Pub Date : 2024-09-12 eCollection Date: 2024-01-01 DOI:10.1177/11795476241281442
Nderim Rexha, Xhevdet Krasniqi, Agnesa Dervishaj Rexha, Aurora Bakalli
{"title":"Overlooked Ventricular Septal Defect Post-Myocardial Infarction and Coronary Artery Bypass Grafting.","authors":"Nderim Rexha, Xhevdet Krasniqi, Agnesa Dervishaj Rexha, Aurora Bakalli","doi":"10.1177/11795476241281442","DOIUrl":null,"url":null,"abstract":"<p><p>Ventricular septal defect (VSD) represents a severe complication that may manifest after a myocardial infarction (MI), typically occurring between 2 and 7 days later. Due to advancements in reperfusion management, the incidence of VSDs after MI has become very rare, occurring in approximately 0.2% of MIs. The current guidelines recommend urgent post-infarction VSD (PI-VSD) closure. We report a case of a patient with a VSD, which was diagnosed 2.5 years after MI. At the time of acute inferior MI, the patient was managed with primary percutaneous intervention in the culprit artery, and 1 month later coronary artery by-pass grafting (CABG) was completed. Twenty and thirty months after AMI patient presented with ventricular tachycardia (VT). Following the second VT episode patient was hospitalized for further examination. Echocardiography revealed the presence of VSD at the site of inferioseptal wall aneurysm. An ICD was implanted owing to recurrent malignant rhythm disorders. In conclusion, although the PI-VSD might have been overlooked and the patient missed the chance of concomitant CABG and VSD repair, this case has reached a 3-year survival, which appears to be the longest survival recorded in a medically treated patient with PI-VSD.</p>","PeriodicalId":10357,"journal":{"name":"Clinical Medicine Insights. Case Reports","volume":"17 ","pages":"11795476241281442"},"PeriodicalIF":0.6000,"publicationDate":"2024-09-12","publicationTypes":"Journal Article","fieldsOfStudy":null,"isOpenAccess":false,"openAccessPdf":"https://www.ncbi.nlm.nih.gov/pmc/articles/PMC11403554/pdf/","citationCount":"0","resultStr":null,"platform":"Semanticscholar","paperid":null,"PeriodicalName":"Clinical Medicine Insights. Case Reports","FirstCategoryId":"1085","ListUrlMain":"https://doi.org/10.1177/11795476241281442","RegionNum":0,"RegionCategory":null,"ArticlePicture":[],"TitleCN":null,"AbstractTextCN":null,"PMCID":null,"EPubDate":"2024/1/1 0:00:00","PubModel":"eCollection","JCR":"Q3","JCRName":"MEDICINE, GENERAL & INTERNAL","Score":null,"Total":0}
引用次数: 0

Abstract

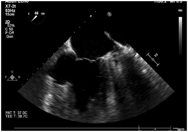
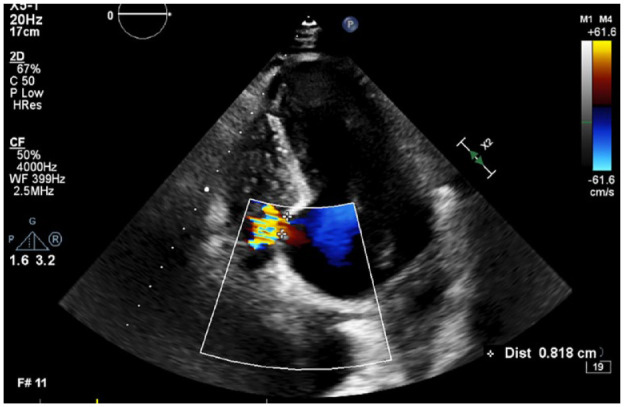
Ventricular septal defect (VSD) represents a severe complication that may manifest after a myocardial infarction (MI), typically occurring between 2 and 7 days later. Due to advancements in reperfusion management, the incidence of VSDs after MI has become very rare, occurring in approximately 0.2% of MIs. The current guidelines recommend urgent post-infarction VSD (PI-VSD) closure. We report a case of a patient with a VSD, which was diagnosed 2.5 years after MI. At the time of acute inferior MI, the patient was managed with primary percutaneous intervention in the culprit artery, and 1 month later coronary artery by-pass grafting (CABG) was completed. Twenty and thirty months after AMI patient presented with ventricular tachycardia (VT). Following the second VT episode patient was hospitalized for further examination. Echocardiography revealed the presence of VSD at the site of inferioseptal wall aneurysm. An ICD was implanted owing to recurrent malignant rhythm disorders. In conclusion, although the PI-VSD might have been overlooked and the patient missed the chance of concomitant CABG and VSD repair, this case has reached a 3-year survival, which appears to be the longest survival recorded in a medically treated patient with PI-VSD.

Abstract Image

Abstract Image

Abstract Image

心肌梗塞和冠状动脉旁路移植术后被忽视的室间隔缺损。
室间隔缺损(VSD)是心肌梗死(MI)后可能出现的一种严重并发症,通常在 2 到 7 天后发生。由于再灌注治疗的进步,心肌梗死后室间隔缺损的发生率已变得非常罕见,约占心肌梗死的 0.2%。现行指南建议紧急关闭梗死后的 VSD(PI-VSD)。我们报告了一例在心肌梗死 2.5 年后确诊的 VSD 患者。急性下壁心肌梗死发生时,患者接受了罪魁祸首动脉的初级经皮介入治疗,一个月后完成了冠状动脉旁路移植术(CABG)。急性心肌梗死发生二三十个月后,患者出现室性心动过速(VT)。第二次室速发作后,患者住院接受进一步检查。超声心动图检查显示,在下腔壁动脉瘤部位存在 VSD。由于反复出现恶性心律失常,患者被植入了 ICD。总之,虽然 PI-VSD 可能被忽视,患者也错过了同时进行 CABG 和 VSD 修复的机会,但该病例已存活 3 年,这似乎是接受药物治疗的 PI-VSD 患者中存活时间最长的病例。
本文章由计算机程序翻译,如有差异,请以英文原文为准。
求助全文
约1分钟内获得全文 求助全文
来源期刊
Clinical Medicine Insights. Case Reports
Clinical Medicine Insights. Case Reports MEDICINE, GENERAL & INTERNAL-
CiteScore
1.10
自引率
0.00%
发文量
57
审稿时长
8 weeks
×
引用
GB/T 7714-2015
复制
MLA
复制
APA
复制
导出至
BibTeX EndNote RefMan NoteFirst NoteExpress
×
提示
您的信息不完整,为了账户安全,请先补充。
现在去补充
×
提示
您因"违规操作"
具体请查看互助需知
我知道了
×
提示
确定
请完成安全验证×
copy
已复制链接
快去分享给好友吧!
我知道了
右上角分享
点击右上角分享
0
联系我们:info@booksci.cn Book学术提供免费学术资源搜索服务,方便国内外学者检索中英文文献。致力于提供最便捷和优质的服务体验。 Copyright © 2023 布克学术 All rights reserved.
京ICP备2023020795号-1
ghs 京公网安备 11010802042870号
Book学术文献互助
Book学术文献互助群
群 号:604180095
Book学术官方微信