A Case of Fish Sausage Anaphylaxis Induced by Epicutaneous Sensitization to Carmine Contained in Eyeshadows: The Effect of Chelation on Carmine Allergy.

Q3 Medicine
Case Reports in Dermatological Medicine Pub Date : 2024-09-11 eCollection Date: 2024-01-01 DOI:10.1155/2024/1057957
Maiko Yamaura, Yuriko Iwahashi, Eri Hashimoto, Jun Miura, Yuri Murayama, Sachiko Koshikawa, Naoko Inomata
{"title":"A Case of Fish Sausage Anaphylaxis Induced by Epicutaneous Sensitization to Carmine Contained in Eyeshadows: The Effect of Chelation on Carmine Allergy.","authors":"Maiko Yamaura, Yuriko Iwahashi, Eri Hashimoto, Jun Miura, Yuri Murayama, Sachiko Koshikawa, Naoko Inomata","doi":"10.1155/2024/1057957","DOIUrl":null,"url":null,"abstract":"<p><p>Carmine is an aluminium and/or calcium-chelated complex form of carminic acid (CA), which is derived from the <i>Dactylopius coccus</i> extract (cochineal), and is globally used as a red-colourant in foods and cosmetics. Although several allergens in carmine allergies, such as CC38K, have been reported, it remains unknown whether chelation affects the allergenicity of carmine. We report a case of Japanese fish sausage (<i>Gyoniku Sausage</i>) anaphylaxis induced by epicutaneous sensitization to carmine contained in eyeshadows. In addition, we report on the effect of chelation on carmine allergy. A 32-year-old woman had experienced itching, wheals, and swelling of her eyelids immediately after applying pink eyeshadows, which contained carmine, on several occasions for 3 years. Two months ago, she developed itching, wheals, and swelling on her whole body, especially her eyelids, and dyspnea immediately after ingesting fried pink fish sausages, which contained cochineal. In skin prick tests (SPTs) with all ingredients ingested in the two episodes of anaphylaxis, only fish sausage was positive. SPT was also positive for carmine. In IgE-immunoblotting using the eyeshadow and fish sausage, the patient serum IgE was bound to three protein bands at approximately 86, 114, and 130 kDa. In addition, IgE-immunoblotting using the carmine showed a broad band at 86-130 kDa, which were consistent with those using the eyeshadow and fish sausage, whereas there is no band using CA. Interestingly, the protein bands using the eyeshadow and carmine were diminished by preincubation in the presence of ethylenediaminetetraacetic acid (EDTA) as a chelating agent. The results indicated that the causative allergens of carmine contained in the eyeshadows could be dechelated by EDTA, reducing its allergenicity. In conclusion, carmine contained in cosmetics can cause epicutaneous sensitisation and consequently can induce food anaphylaxis. To prevent sensitisation in carmine allergy, the effect of chelation on allergenicity of carmine should be considered.</p>","PeriodicalId":9630,"journal":{"name":"Case Reports in Dermatological Medicine","volume":"2024 ","pages":"1057957"},"PeriodicalIF":0.0000,"publicationDate":"2024-09-11","publicationTypes":"Journal Article","fieldsOfStudy":null,"isOpenAccess":false,"openAccessPdf":"https://www.ncbi.nlm.nih.gov/pmc/articles/PMC11410408/pdf/","citationCount":"0","resultStr":null,"platform":"Semanticscholar","paperid":null,"PeriodicalName":"Case Reports in Dermatological Medicine","FirstCategoryId":"1085","ListUrlMain":"https://doi.org/10.1155/2024/1057957","RegionNum":0,"RegionCategory":null,"ArticlePicture":[],"TitleCN":null,"AbstractTextCN":null,"PMCID":null,"EPubDate":"2024/1/1 0:00:00","PubModel":"eCollection","JCR":"Q3","JCRName":"Medicine","Score":null,"Total":0}
引用次数: 0

Abstract

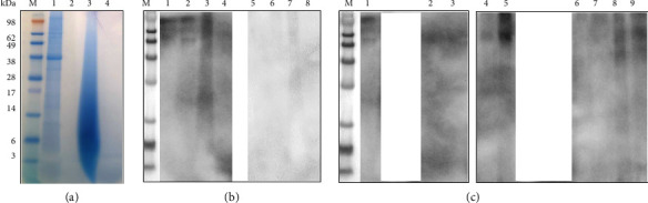
Carmine is an aluminium and/or calcium-chelated complex form of carminic acid (CA), which is derived from the Dactylopius coccus extract (cochineal), and is globally used as a red-colourant in foods and cosmetics. Although several allergens in carmine allergies, such as CC38K, have been reported, it remains unknown whether chelation affects the allergenicity of carmine. We report a case of Japanese fish sausage (Gyoniku Sausage) anaphylaxis induced by epicutaneous sensitization to carmine contained in eyeshadows. In addition, we report on the effect of chelation on carmine allergy. A 32-year-old woman had experienced itching, wheals, and swelling of her eyelids immediately after applying pink eyeshadows, which contained carmine, on several occasions for 3 years. Two months ago, she developed itching, wheals, and swelling on her whole body, especially her eyelids, and dyspnea immediately after ingesting fried pink fish sausages, which contained cochineal. In skin prick tests (SPTs) with all ingredients ingested in the two episodes of anaphylaxis, only fish sausage was positive. SPT was also positive for carmine. In IgE-immunoblotting using the eyeshadow and fish sausage, the patient serum IgE was bound to three protein bands at approximately 86, 114, and 130 kDa. In addition, IgE-immunoblotting using the carmine showed a broad band at 86-130 kDa, which were consistent with those using the eyeshadow and fish sausage, whereas there is no band using CA. Interestingly, the protein bands using the eyeshadow and carmine were diminished by preincubation in the presence of ethylenediaminetetraacetic acid (EDTA) as a chelating agent. The results indicated that the causative allergens of carmine contained in the eyeshadows could be dechelated by EDTA, reducing its allergenicity. In conclusion, carmine contained in cosmetics can cause epicutaneous sensitisation and consequently can induce food anaphylaxis. To prevent sensitisation in carmine allergy, the effect of chelation on allergenicity of carmine should be considered.

Abstract Image

Abstract Image

眼影中含有的胭脂红经皮致敏诱发鱼香肠过敏性休克病例:螯合对胭脂红过敏的影响。
胭脂虫红是一种铝和/或钙螯合的胭脂虫红(CA)络合物,它提取自白头翁(Dactylopius coccus)的提取物(胭脂虫红),在全球范围内被用作食品和化妆品中的红色着色剂。虽然有报道称胭脂红过敏症中存在多种过敏原,如 CC38K,但螯合作用是否会影响胭脂红的过敏性仍是未知数。我们报告了一例日本鱼肠(Gyoniku Sausage)过敏性休克病例,病因是眼影中的胭脂红引起的表皮过敏。此外,我们还报告了螯合剂对胭脂红过敏的影响。一名 32 岁的女性在使用含有胭脂红成分的粉红色眼影后,眼睑立即出现瘙痒、麦粒肿和肿胀,已有 3 年之久。两个月前,她在食用了含有胭脂红成分的炸粉红鱼肠后,立即出现全身(尤其是眼睑)瘙痒、皮疹和肿胀,并伴有呼吸困难。在对两次过敏性休克中摄入的所有成分进行的皮肤点刺试验(SPT)中,只有鱼香肠呈阳性反应。胭脂红的 SPT 也呈阳性。在使用眼影和鱼香肠进行的 IgE 免疫印迹分析中,患者血清中的 IgE 与大约 86、114 和 130 kDa 的三条蛋白带结合。此外,使用胭脂红进行的 IgE 免疫印迹显示出 86-130 kDa 的宽带,与使用眼影和鱼肠的结果一致,而使用 CA 则没有条带。有趣的是,在使用乙二胺四乙酸(EDTA)作为螯合剂进行预孵育的情况下,使用眼影和胭脂红的蛋白质条带会减弱。结果表明,眼影中含有的胭脂红致敏原可被乙二胺四乙酸螯合,从而降低其致敏性。总之,化妆品中含有的胭脂红会引起皮肤过敏,进而诱发食物过敏性休克。为了防止胭脂红过敏症患者过敏,应考虑螯合剂对胭脂红过敏性的影响。
本文章由计算机程序翻译,如有差异,请以英文原文为准。
求助全文
约1分钟内获得全文 求助全文
来源期刊
CiteScore
1.50
自引率
0.00%
发文量
24
审稿时长
15 weeks
×
引用
GB/T 7714-2015
复制
MLA
复制
APA
复制
导出至
BibTeX EndNote RefMan NoteFirst NoteExpress
×
提示
您的信息不完整,为了账户安全,请先补充。
现在去补充
×
提示
您因"违规操作"
具体请查看互助需知
我知道了
×
提示
确定
请完成安全验证×
copy
已复制链接
快去分享给好友吧!
我知道了
右上角分享
点击右上角分享
0
联系我们:info@booksci.cn Book学术提供免费学术资源搜索服务,方便国内外学者检索中英文文献。致力于提供最便捷和优质的服务体验。 Copyright © 2023 布克学术 All rights reserved.
京ICP备2023020795号-1
ghs 京公网安备 11010802042870号
Book学术文献互助
Book学术文献互助群
群 号:604180095
Book学术官方微信