A 48-month clinical performance of hybrid ceramic fragment restorations manufactured in CAD/CAM in non-carious cervical lesions: case report.

IF 1.5
Restorative Dentistry & Endodontics Pub Date : 2024-08-05 eCollection Date: 2024-08-01 DOI:10.5395/rde.2024.49.e32
Michael Willian Favoreto, Gabriel David Cochinski, Eveline Claudia Martini, Thalita de Paris Matos, Matheus Coelho Bandeca, Alessandro Dourado Loguercio
{"title":"A 48-month clinical performance of hybrid ceramic fragment restorations manufactured in CAD/CAM in non-carious cervical lesions: case report.","authors":"Michael Willian Favoreto, Gabriel David Cochinski, Eveline Claudia Martini, Thalita de Paris Matos, Matheus Coelho Bandeca, Alessandro Dourado Loguercio","doi":"10.5395/rde.2024.49.e32","DOIUrl":null,"url":null,"abstract":"<p><p>From the restorative perspective, various methods are available to prevent the progression of non-carious cervical lesions. Direct, semi-direct, and indirect composite resin techniques and indirect ceramic restorations are commonly recommended. In this context, semi-direct and indirect restoration approaches are increasingly favored, particularly as digital dentistry becomes more prevalent. To illustrate this, we present a case report demonstrating the efficacy of hybrid ceramic fragments fabricated using computer-aided design (CAD)/computer-aided manufacturing (CAM) technology and cemented with resin cement in treating non-carious cervical lesions over a 48-month follow-up period. A 24-year-old male patient sought treatment for aesthetic concerns and dentin hypersensitivity in the cervical region of the lower premolar teeth. Clinical examination confirmed the presence of two non-carious cervical lesions in the buccal region of teeth #44 and #45. The treatment plan involved indirect restoration using CAD/CAM-fabricated hybrid ceramic fragments as a restorative material. After 48 months, the hybrid ceramic material exhibited excellent adaptation and durability provided by the CAD/CAM system. This case underscores the effectiveness of hybrid ceramic fragments in restoring non-carious cervical lesions, highlighting their long-term stability and clinical success.</p>","PeriodicalId":21102,"journal":{"name":"Restorative Dentistry & Endodontics","volume":"49 3","pages":"e32"},"PeriodicalIF":1.5000,"publicationDate":"2024-08-05","publicationTypes":"Journal Article","fieldsOfStudy":null,"isOpenAccess":false,"openAccessPdf":"https://www.ncbi.nlm.nih.gov/pmc/articles/PMC11377872/pdf/","citationCount":"0","resultStr":null,"platform":"Semanticscholar","paperid":null,"PeriodicalName":"Restorative Dentistry & Endodontics","FirstCategoryId":"1085","ListUrlMain":"https://doi.org/10.5395/rde.2024.49.e32","RegionNum":0,"RegionCategory":null,"ArticlePicture":[],"TitleCN":null,"AbstractTextCN":null,"PMCID":null,"EPubDate":"2024/8/1 0:00:00","PubModel":"eCollection","JCR":"","JCRName":"","Score":null,"Total":0}
引用次数: 0

Abstract

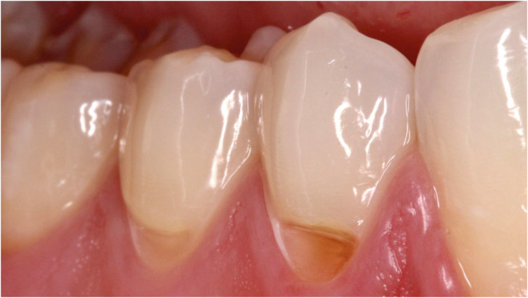
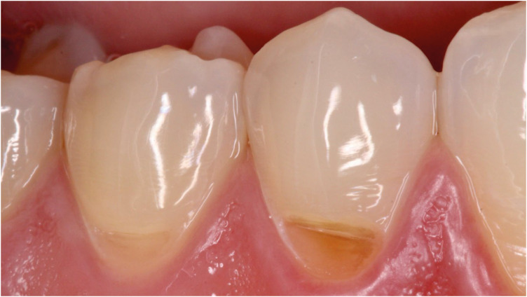
From the restorative perspective, various methods are available to prevent the progression of non-carious cervical lesions. Direct, semi-direct, and indirect composite resin techniques and indirect ceramic restorations are commonly recommended. In this context, semi-direct and indirect restoration approaches are increasingly favored, particularly as digital dentistry becomes more prevalent. To illustrate this, we present a case report demonstrating the efficacy of hybrid ceramic fragments fabricated using computer-aided design (CAD)/computer-aided manufacturing (CAM) technology and cemented with resin cement in treating non-carious cervical lesions over a 48-month follow-up period. A 24-year-old male patient sought treatment for aesthetic concerns and dentin hypersensitivity in the cervical region of the lower premolar teeth. Clinical examination confirmed the presence of two non-carious cervical lesions in the buccal region of teeth #44 and #45. The treatment plan involved indirect restoration using CAD/CAM-fabricated hybrid ceramic fragments as a restorative material. After 48 months, the hybrid ceramic material exhibited excellent adaptation and durability provided by the CAD/CAM system. This case underscores the effectiveness of hybrid ceramic fragments in restoring non-carious cervical lesions, highlighting their long-term stability and clinical success.

Abstract Image

Abstract Image

Abstract Image

以 CAD/CAM 技术制造的混合陶瓷片修复体在非龋齿性椎颈病变中 48 个月的临床表现:病例报告。
从修复角度来看,有多种方法可以防止非龋性牙颈病变的发展。通常建议采用直接、半直接和间接复合树脂技术以及间接陶瓷修复。在这种情况下,半直接和间接修复方法越来越受到青睐,尤其是随着数字化牙科技术的普及。为了说明这一点,我们提交了一份病例报告,展示了使用计算机辅助设计(CAD)/计算机辅助制造(CAM)技术制作的混合陶瓷片,并用树脂水门汀粘结后,在 48 个月的随访期内治疗非龋性牙颈病变的疗效。一名 24 岁的男性患者因美观问题和下前磨牙牙颈部牙本质过敏而寻求治疗。临床检查证实,44 号和 45 号牙齿的颊区存在两个非龋性牙颈病变。治疗方案包括使用 CAD/CAM 制作的混合陶瓷片作为间接修复材料。48 个月后,CAD/CAM 系统提供的混合陶瓷材料表现出极佳的适应性和耐久性。该病例强调了混合陶瓷片在修复非龋颈病变方面的有效性,突出了其长期稳定性和临床成功率。
本文章由计算机程序翻译,如有差异,请以英文原文为准。
求助全文
约1分钟内获得全文 求助全文
来源期刊
CiteScore
0.20
自引率
0.00%
发文量
35
审稿时长
12 weeks
×
引用
GB/T 7714-2015
复制
MLA
复制
APA
复制
导出至
BibTeX EndNote RefMan NoteFirst NoteExpress
×
提示
您的信息不完整,为了账户安全,请先补充。
现在去补充
×
提示
您因"违规操作"
具体请查看互助需知
我知道了
×
提示
确定
请完成安全验证×
copy
已复制链接
快去分享给好友吧!
我知道了
右上角分享
点击右上角分享
0
联系我们:info@booksci.cn Book学术提供免费学术资源搜索服务,方便国内外学者检索中英文文献。致力于提供最便捷和优质的服务体验。 Copyright © 2023 布克学术 All rights reserved.
京ICP备2023020795号-1
ghs 京公网安备 11010802042870号
Book学术文献互助
Book学术文献互助群
群 号:604180095
Book学术官方微信