MRI and PET/CT of multiple primary hepatic angiosarcomas in 25-year-old man: A case report.

IF 1.3 Q3 RADIOLOGY, NUCLEAR MEDICINE & MEDICAL IMAGING
Journal of Clinical Imaging Science Pub Date : 2024-08-30 eCollection Date: 2024-01-01 DOI:10.25259/JCIS_69_2024
Murat Jakipov, Aslan Karimov, Zaukiya Khamitova, Bayram Kochiev, Dauren Bolatov, Zhanat Spatayev, Saltanat Bolsynbekova, Zhuldyz Kuanysh, Dinara Zharlyganova
{"title":"MRI and PET/CT of multiple primary hepatic angiosarcomas in 25-year-old man: A case report.","authors":"Murat Jakipov, Aslan Karimov, Zaukiya Khamitova, Bayram Kochiev, Dauren Bolatov, Zhanat Spatayev, Saltanat Bolsynbekova, Zhuldyz Kuanysh, Dinara Zharlyganova","doi":"10.25259/JCIS_69_2024","DOIUrl":null,"url":null,"abstract":"<p><p>This study aims to provide a comprehensive understanding of primary hepatic angiosarcoma, a rare and aggressive malignancy, focusing on its diagnostic challenges and unique imaging characteristics. The objective is to delineate the distinctive features of angiosarcoma through computed tomography and magnetic resonance imaging modalities, contributing to improved diagnostic precision and adding valuable insights to the scientific literature. We present the case of a 25-year-old male with primary hepatic angiosarcoma, emphasizing the challenges in distinguishing it from other vascular tumors.</p>","PeriodicalId":15512,"journal":{"name":"Journal of Clinical Imaging Science","volume":"14 ","pages":"32"},"PeriodicalIF":1.3000,"publicationDate":"2024-08-30","publicationTypes":"Journal Article","fieldsOfStudy":null,"isOpenAccess":false,"openAccessPdf":"https://www.ncbi.nlm.nih.gov/pmc/articles/PMC11380813/pdf/","citationCount":"0","resultStr":null,"platform":"Semanticscholar","paperid":null,"PeriodicalName":"Journal of Clinical Imaging Science","FirstCategoryId":"1085","ListUrlMain":"https://doi.org/10.25259/JCIS_69_2024","RegionNum":0,"RegionCategory":null,"ArticlePicture":[],"TitleCN":null,"AbstractTextCN":null,"PMCID":null,"EPubDate":"2024/1/1 0:00:00","PubModel":"eCollection","JCR":"Q3","JCRName":"RADIOLOGY, NUCLEAR MEDICINE & MEDICAL IMAGING","Score":null,"Total":0}
引用次数: 0

Abstract

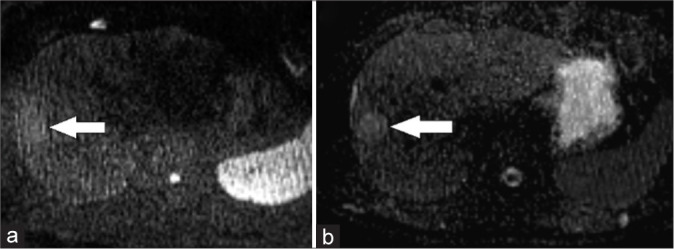
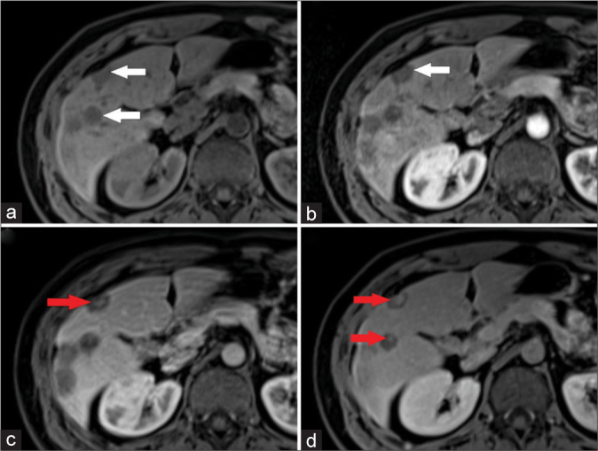
This study aims to provide a comprehensive understanding of primary hepatic angiosarcoma, a rare and aggressive malignancy, focusing on its diagnostic challenges and unique imaging characteristics. The objective is to delineate the distinctive features of angiosarcoma through computed tomography and magnetic resonance imaging modalities, contributing to improved diagnostic precision and adding valuable insights to the scientific literature. We present the case of a 25-year-old male with primary hepatic angiosarcoma, emphasizing the challenges in distinguishing it from other vascular tumors.

Abstract Image

Abstract Image

Abstract Image

25 岁男子多发性原发性肝血管肉瘤的 MRI 和 PET/CT:病例报告。
本研究旨在全面了解原发性肝血管肉瘤这种罕见的侵袭性恶性肿瘤,重点关注其诊断难题和独特的成像特征。其目的是通过计算机断层扫描和磁共振成像模式来描述血管肉瘤的独特特征,从而有助于提高诊断的精确性,并为科学文献增添有价值的见解。我们介绍了一例 25 岁男性原发性肝血管肉瘤患者的病例,强调了将其与其他血管肿瘤区分开来所面临的挑战。
本文章由计算机程序翻译,如有差异,请以英文原文为准。
求助全文
约1分钟内获得全文 求助全文
来源期刊
Journal of Clinical Imaging Science
Journal of Clinical Imaging Science RADIOLOGY, NUCLEAR MEDICINE & MEDICAL IMAGING-
CiteScore
2.00
自引率
0.00%
发文量
65
期刊介绍: The Journal of Clinical Imaging Science (JCIS) is an open access peer-reviewed journal committed to publishing high-quality articles in the field of Imaging Science. The journal aims to present Imaging Science and relevant clinical information in an understandable and useful format. The journal is owned and published by the Scientific Scholar. Audience Our audience includes Radiologists, Researchers, Clinicians, medical professionals and students. Review process JCIS has a highly rigorous peer-review process that makes sure that manuscripts are scientifically accurate, relevant, novel and important. Authors disclose all conflicts, affiliations and financial associations such that the published content is not biased.
×
引用
GB/T 7714-2015
复制
MLA
复制
APA
复制
导出至
BibTeX EndNote RefMan NoteFirst NoteExpress
×
提示
您的信息不完整,为了账户安全,请先补充。
现在去补充
×
提示
您因"违规操作"
具体请查看互助需知
我知道了
×
提示
确定
请完成安全验证×
copy
已复制链接
快去分享给好友吧!
我知道了
右上角分享
点击右上角分享
0
联系我们:info@booksci.cn Book学术提供免费学术资源搜索服务,方便国内外学者检索中英文文献。致力于提供最便捷和优质的服务体验。 Copyright © 2023 布克学术 All rights reserved.
京ICP备2023020795号-1
ghs 京公网安备 11010802042870号
Book学术文献互助
Book学术文献互助群
群 号:604180095
Book学术官方微信