Occurrence of liver abscess in patients with acute prostatitis.

IF 2.1 3区 医学 Q2 UROLOGY & NEPHROLOGY
Jeonghyouk Choi, Dong-Gi Lee
{"title":"Occurrence of liver abscess in patients with acute prostatitis.","authors":"Jeonghyouk Choi, Dong-Gi Lee","doi":"10.4111/icu.20240152","DOIUrl":null,"url":null,"abstract":"<p><strong>Purpose: </strong>Liver abscesses concomitant with acute prostatitis are rare and potentially fatal. We analyzed the occurrence of this condition and clinical characteristics of the affected patients.</p><p><strong>Materials and methods: </strong>The medical records of 474 patients diagnosed with acute prostatitis between June 2006 and July 2022 were retrospectively reviewed. Patients in whom pathogens were not detected in serum or urine cultures were excluded. A total of 271 patients were included in the analysis. Patient characteristics and laboratory test results were compared between patients with acute prostatitis with and without liver abscesses.</p><p><strong>Results: </strong>Fifteen patients (5.5%) were identified with simultaneous liver abscesses and acute prostatitis. The liver abscess group was younger than the non-liver abscess group in terms of mean age. In the univariate analysis, a high proportion of patients had diabetes mellitus, whereas a low proportion had hypertension. None of the underlying diseases, including benign prostatic hyperplasia, malignancy, or alcoholism, demonstrated a significant association with liver abscess in multivariate analysis; however, an association was observed in liver function test results. All patients with liver abscesses tested positive for <i>Klebsiella pneumoniae</i>.</p><p><strong>Conclusions: </strong>When <i>K. pneumoniae</i> is identified in patients with acute prostatitis and abnormal liver function tests, considering the possibility of metastatic infection in other organs, including the liver, and performing an active evaluation is essential.</p>","PeriodicalId":14522,"journal":{"name":"Investigative and Clinical Urology","volume":"65 5","pages":"480-486"},"PeriodicalIF":2.1000,"publicationDate":"2024-09-01","publicationTypes":"Journal Article","fieldsOfStudy":null,"isOpenAccess":false,"openAccessPdf":"https://www.ncbi.nlm.nih.gov/pmc/articles/PMC11390263/pdf/","citationCount":"0","resultStr":null,"platform":"Semanticscholar","paperid":null,"PeriodicalName":"Investigative and Clinical Urology","FirstCategoryId":"3","ListUrlMain":"https://doi.org/10.4111/icu.20240152","RegionNum":3,"RegionCategory":"医学","ArticlePicture":[],"TitleCN":null,"AbstractTextCN":null,"PMCID":null,"EPubDate":"","PubModel":"","JCR":"Q2","JCRName":"UROLOGY & NEPHROLOGY","Score":null,"Total":0}
引用次数: 0

Abstract

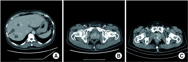
Purpose: Liver abscesses concomitant with acute prostatitis are rare and potentially fatal. We analyzed the occurrence of this condition and clinical characteristics of the affected patients.

Materials and methods: The medical records of 474 patients diagnosed with acute prostatitis between June 2006 and July 2022 were retrospectively reviewed. Patients in whom pathogens were not detected in serum or urine cultures were excluded. A total of 271 patients were included in the analysis. Patient characteristics and laboratory test results were compared between patients with acute prostatitis with and without liver abscesses.

Results: Fifteen patients (5.5%) were identified with simultaneous liver abscesses and acute prostatitis. The liver abscess group was younger than the non-liver abscess group in terms of mean age. In the univariate analysis, a high proportion of patients had diabetes mellitus, whereas a low proportion had hypertension. None of the underlying diseases, including benign prostatic hyperplasia, malignancy, or alcoholism, demonstrated a significant association with liver abscess in multivariate analysis; however, an association was observed in liver function test results. All patients with liver abscesses tested positive for Klebsiella pneumoniae.

Conclusions: When K. pneumoniae is identified in patients with acute prostatitis and abnormal liver function tests, considering the possibility of metastatic infection in other organs, including the liver, and performing an active evaluation is essential.

Abstract Image

Abstract Image

Abstract Image

急性前列腺炎患者出现肝脓肿。
目的:急性前列腺炎并发肝脓肿十分罕见,且可能致命。我们分析了这种情况的发生率和患者的临床特征:回顾性审查了 2006 年 6 月至 2022 年 7 月期间确诊为急性前列腺炎的 474 例患者的病历。排除了血清或尿液培养未检测到病原体的患者。共有 271 名患者被纳入分析。比较了有肝脓肿和无肝脓肿的急性前列腺炎患者的特征和实验室检查结果:结果:15 名患者(5.5%)同时患有肝脓肿和急性前列腺炎。就平均年龄而言,肝脓肿组比非肝脓肿组年轻。在单变量分析中,患有糖尿病的患者比例较高,而患有高血压的患者比例较低。在多变量分析中,良性前列腺增生、恶性肿瘤或酗酒等基础疾病均与肝脓肿无明显关联;但肝功能检测结果显示两者之间存在关联。所有肝脓肿患者的肺炎克雷伯菌检测结果均呈阳性:结论:当在急性前列腺炎和肝功能检测异常的患者中发现肺炎克雷伯菌时,考虑到其他器官(包括肝脏)转移感染的可能性并进行积极的评估是至关重要的。
本文章由计算机程序翻译,如有差异,请以英文原文为准。
求助全文
约1分钟内获得全文 求助全文
来源期刊
CiteScore
4.10
自引率
4.30%
发文量
82
审稿时长
4 weeks
期刊介绍: Investigative and Clinical Urology (Investig Clin Urol, ICUrology) is an international, peer-reviewed, platinum open access journal published bimonthly. ICUrology aims to provide outstanding scientific and clinical research articles, that will advance knowledge and understanding of urological diseases and current therapeutic treatments. ICUrology publishes Original Articles, Rapid Communications, Review Articles, Special Articles, Innovations in Urology, Editorials, and Letters to the Editor, with a focus on the following areas of expertise: • Precision Medicine in Urology • Urological Oncology • Robotics/Laparoscopy • Endourology/Urolithiasis • Lower Urinary Tract Dysfunction • Female Urology • Sexual Dysfunction/Infertility • Infection/Inflammation • Reconstruction/Transplantation • Geriatric Urology • Pediatric Urology • Basic/Translational Research One of the notable features of ICUrology is the application of multimedia platforms facilitating easy-to-access online video clips of newly developed surgical techniques from the journal''s website, by a QR (quick response) code located in the article, or via YouTube. ICUrology provides current and highly relevant knowledge to a broad audience at the cutting edge of urological research and clinical practice.
×
引用
GB/T 7714-2015
复制
MLA
复制
APA
复制
导出至
BibTeX EndNote RefMan NoteFirst NoteExpress
×
提示
您的信息不完整,为了账户安全,请先补充。
现在去补充
×
提示
您因"违规操作"
具体请查看互助需知
我知道了
×
提示
确定
请完成安全验证×
copy
已复制链接
快去分享给好友吧!
我知道了
右上角分享
点击右上角分享
0
联系我们:info@booksci.cn Book学术提供免费学术资源搜索服务,方便国内外学者检索中英文文献。致力于提供最便捷和优质的服务体验。 Copyright © 2023 布克学术 All rights reserved.
京ICP备2023020795号-1
ghs 京公网安备 11010802042870号
Book学术文献互助
Book学术文献互助群
群 号:604180095
Book学术官方微信