Adult-Onset Autoimmune Enteropathy Mimicking Disaccharidase Deficiency.

IF 1.7 Q4 GASTROENTEROLOGY & HEPATOLOGY
Gastroenterology Research Pub Date : 2024-08-01 Epub Date: 2024-07-18 DOI:10.14740/gr1737
Georgeta Giblen, Jerry Huang, Brandon Yu, Jinping Lai
{"title":"Adult-Onset Autoimmune Enteropathy Mimicking Disaccharidase Deficiency.","authors":"Georgeta Giblen, Jerry Huang, Brandon Yu, Jinping Lai","doi":"10.14740/gr1737","DOIUrl":null,"url":null,"abstract":"<p><p>Adult-onset autoimmune enteropathy is a rare disorder characterized by severe diarrhea, weight loss, malnutrition, and enteric mucosal atrophy resulting from immune-mediated injury. Disaccharidase deficiencies are a group of disorders characterized by inadequate activity of disaccharidase in the small intestine, leading to impaired digestion of disaccharides and malabsorption. Here, we present a case of adult-onset autoimmune enteropathy initially diagnosed as disaccharidase deficiency based on the clinical symptoms of chronic diarrhea, weight loss, and severely reduced levels of lactase, maltase, palatinase, and sucrase in duodenal aspirates. However, follow-up duodenal biopsy revealed markedly villous blunting, goblet and Paneth cell depletion, increased crypt apoptotic bodies and lamina propria lymphoplasmacytic inflammation, leading to a revised diagnosis of autoimmune enteropathy. This case highlights the diagnostic challenges of adult-onset autoimmune enteropathy and the importance of considering it in adults with unexplained gastrointestinal symptoms. It also emphasizes the need for tissue biopsies in cases with inconclusive initial diagnostic tests. Increased awareness of these disorders and their mimickers can improve diagnosis and management, ultimately benefiting patients with these conditions.</p>","PeriodicalId":12461,"journal":{"name":"Gastroenterology Research","volume":"17 4","pages":"189-193"},"PeriodicalIF":1.7000,"publicationDate":"2024-08-01","publicationTypes":"Journal Article","fieldsOfStudy":null,"isOpenAccess":false,"openAccessPdf":"https://www.ncbi.nlm.nih.gov/pmc/articles/PMC11379046/pdf/","citationCount":"0","resultStr":null,"platform":"Semanticscholar","paperid":null,"PeriodicalName":"Gastroenterology Research","FirstCategoryId":"1085","ListUrlMain":"https://doi.org/10.14740/gr1737","RegionNum":0,"RegionCategory":null,"ArticlePicture":[],"TitleCN":null,"AbstractTextCN":null,"PMCID":null,"EPubDate":"2024/7/18 0:00:00","PubModel":"Epub","JCR":"Q4","JCRName":"GASTROENTEROLOGY & HEPATOLOGY","Score":null,"Total":0}
引用次数: 0

Abstract

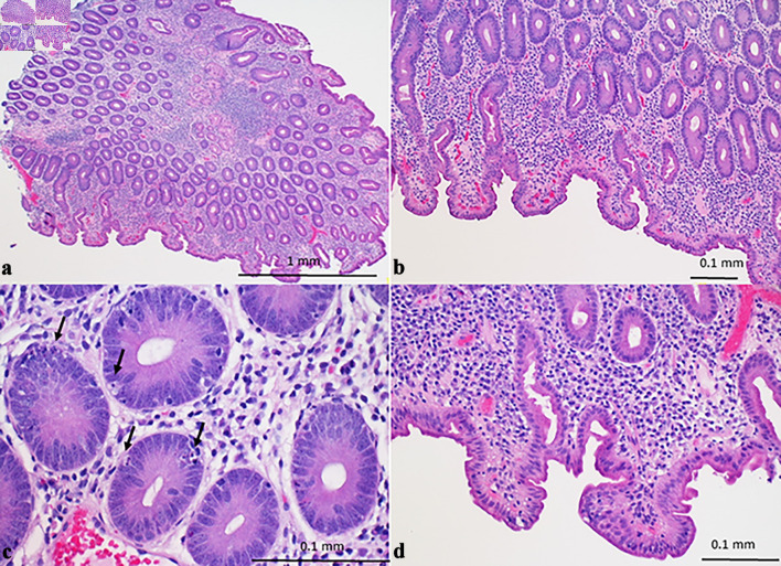
Adult-onset autoimmune enteropathy is a rare disorder characterized by severe diarrhea, weight loss, malnutrition, and enteric mucosal atrophy resulting from immune-mediated injury. Disaccharidase deficiencies are a group of disorders characterized by inadequate activity of disaccharidase in the small intestine, leading to impaired digestion of disaccharides and malabsorption. Here, we present a case of adult-onset autoimmune enteropathy initially diagnosed as disaccharidase deficiency based on the clinical symptoms of chronic diarrhea, weight loss, and severely reduced levels of lactase, maltase, palatinase, and sucrase in duodenal aspirates. However, follow-up duodenal biopsy revealed markedly villous blunting, goblet and Paneth cell depletion, increased crypt apoptotic bodies and lamina propria lymphoplasmacytic inflammation, leading to a revised diagnosis of autoimmune enteropathy. This case highlights the diagnostic challenges of adult-onset autoimmune enteropathy and the importance of considering it in adults with unexplained gastrointestinal symptoms. It also emphasizes the need for tissue biopsies in cases with inconclusive initial diagnostic tests. Increased awareness of these disorders and their mimickers can improve diagnosis and management, ultimately benefiting patients with these conditions.

Abstract Image

Abstract Image

模仿二糖酶缺乏症的成人发病型自身免疫性肠病
成人自身免疫性肠病是一种罕见的疾病,其特征是免疫介导的损伤导致严重腹泻、体重减轻、营养不良和肠粘膜萎缩。双糖酶缺乏症是一组以小肠中双糖酶活性不足为特征的疾病,会导致双糖消化障碍和吸收不良。在此,我们介绍了一例成人发病型自身免疫性肠病患者,根据慢性腹泻、体重减轻以及十二指肠抽吸物中乳糖酶、麦芽糖酶、巴拉丁酶和蔗糖酶水平严重降低等临床症状,患者最初被诊断为双糖酶缺乏症。然而,随访的十二指肠活检结果显示,绒毛明显变细,鹅口疮细胞和帕奈特细胞耗竭,隐窝凋亡体增加,固有层淋巴细胞炎症,因此诊断为自身免疫性肠病。本病例强调了成人自身免疫性肠病的诊断难题,以及在出现不明原因的胃肠道症状时考虑成人自身免疫性肠病的重要性。该病例还强调了在初步诊断测试不确定的病例中进行组织活检的必要性。提高对这些疾病及其模拟者的认识可以改善诊断和管理,最终使这些疾病的患者受益。
本文章由计算机程序翻译,如有差异,请以英文原文为准。
求助全文
约1分钟内获得全文 求助全文
来源期刊
Gastroenterology Research
Gastroenterology Research GASTROENTEROLOGY & HEPATOLOGY-
自引率
0.00%
发文量
35
×
引用
GB/T 7714-2015
复制
MLA
复制
APA
复制
导出至
BibTeX EndNote RefMan NoteFirst NoteExpress
×
提示
您的信息不完整,为了账户安全,请先补充。
现在去补充
×
提示
您因"违规操作"
具体请查看互助需知
我知道了
×
提示
确定
请完成安全验证×
copy
已复制链接
快去分享给好友吧!
我知道了
右上角分享
点击右上角分享
0
联系我们:info@booksci.cn Book学术提供免费学术资源搜索服务,方便国内外学者检索中英文文献。致力于提供最便捷和优质的服务体验。 Copyright © 2023 布克学术 All rights reserved.
京ICP备2023020795号-1
ghs 京公网安备 11010802042870号
Book学术文献互助
Book学术文献互助群
群 号:604180095
Book学术官方微信