Calcifying Odontogenic Cyst Associated with Complex Odontoma: Report of a Rare Case.

IF 0.6 Q3 MEDICINE, GENERAL & INTERNAL
Clinical Medicine Insights. Case Reports Pub Date : 2024-09-05 eCollection Date: 2024-01-01 DOI:10.1177/11795476241277660
Ikram Attouchi, Lamia Oualha, Raouaa Belkacem Chebil, Souha Ben Youssef
{"title":"Calcifying Odontogenic Cyst Associated with Complex Odontoma: Report of a Rare Case.","authors":"Ikram Attouchi, Lamia Oualha, Raouaa Belkacem Chebil, Souha Ben Youssef","doi":"10.1177/11795476241277660","DOIUrl":null,"url":null,"abstract":"<p><p>Calcifying odontogenic cyst, also known as Gorlin cyst is a rare benign cystic lesion primarily found in the jawbones, accounting less than 1% of odontogenic cysts. It can be associated with odontogenic tumors such as odontomas. We report a rare case of COC associated with complex odontoma in a young patient and discuss its clinical features, diagnosis, and treatment options. An 18-year-old female patient presented with a painless radiopaque lesion of the right mandibular bone at Oral Medicine and Oral Surgery department. Radiographs revealed irregular tooth-like structures in the canine-premolar area. The lesion was surgically removed, and histopathology confirmed COC with a complex odontoma. As of the World Health Organization's 2022 definition, COC is a developmental odontogenic cyst characterized by calcified ghost cells. It typically affects individuals during their second and third decades of life, with no gender preference, almost equally in the maxilla and the mandible. The main treatment is total enucleation, with a generally favorable prognosis. Histopathology is essential for diagnosis due to its mimicry of other jaw conditions. Long-term follow-up is needed to prevent recurrences.</p>","PeriodicalId":10357,"journal":{"name":"Clinical Medicine Insights. Case Reports","volume":"17 ","pages":"11795476241277660"},"PeriodicalIF":0.6000,"publicationDate":"2024-09-05","publicationTypes":"Journal Article","fieldsOfStudy":null,"isOpenAccess":false,"openAccessPdf":"https://www.ncbi.nlm.nih.gov/pmc/articles/PMC11378199/pdf/","citationCount":"0","resultStr":null,"platform":"Semanticscholar","paperid":null,"PeriodicalName":"Clinical Medicine Insights. Case Reports","FirstCategoryId":"1085","ListUrlMain":"https://doi.org/10.1177/11795476241277660","RegionNum":0,"RegionCategory":null,"ArticlePicture":[],"TitleCN":null,"AbstractTextCN":null,"PMCID":null,"EPubDate":"2024/1/1 0:00:00","PubModel":"eCollection","JCR":"Q3","JCRName":"MEDICINE, GENERAL & INTERNAL","Score":null,"Total":0}
引用次数: 0

Abstract

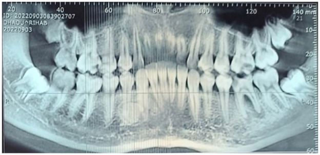
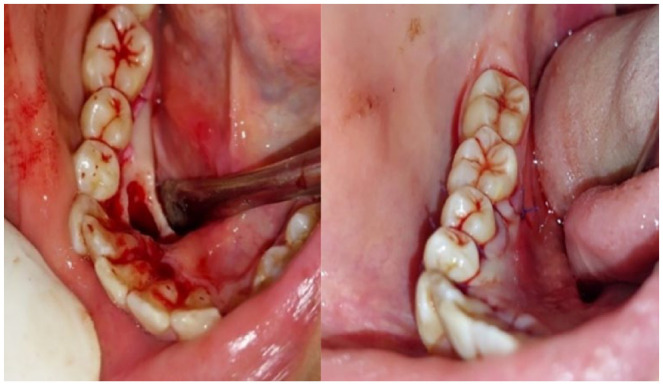
Calcifying odontogenic cyst, also known as Gorlin cyst is a rare benign cystic lesion primarily found in the jawbones, accounting less than 1% of odontogenic cysts. It can be associated with odontogenic tumors such as odontomas. We report a rare case of COC associated with complex odontoma in a young patient and discuss its clinical features, diagnosis, and treatment options. An 18-year-old female patient presented with a painless radiopaque lesion of the right mandibular bone at Oral Medicine and Oral Surgery department. Radiographs revealed irregular tooth-like structures in the canine-premolar area. The lesion was surgically removed, and histopathology confirmed COC with a complex odontoma. As of the World Health Organization's 2022 definition, COC is a developmental odontogenic cyst characterized by calcified ghost cells. It typically affects individuals during their second and third decades of life, with no gender preference, almost equally in the maxilla and the mandible. The main treatment is total enucleation, with a generally favorable prognosis. Histopathology is essential for diagnosis due to its mimicry of other jaw conditions. Long-term follow-up is needed to prevent recurrences.

Abstract Image

Abstract Image

Abstract Image

伴有复杂性牙瘤的牙源性钙化囊肿:罕见病例报告
牙源性钙化囊肿又称戈林囊肿,是一种罕见的良性囊性病变,主要发生在颌骨,占牙源性囊肿的 1%以下。它可能与牙源性肿瘤(如牙体瘤)伴发。我们报告了一例罕见的COC伴有复杂性牙体瘤的年轻患者,并讨论了其临床特征、诊断和治疗方案。一名 18 岁女性患者因右下颌骨无痛性不透射线病变就诊于口腔内科和口腔外科。X光片显示犬前臼齿区有不规则的牙样结构。手术切除了病灶,组织病理学证实该患者患有COC和复杂性牙瘤。根据世界卫生组织 2022 年的定义,COC 是一种发育性牙源性囊肿,以钙化鬼细胞为特征。它通常发生在人的第二和第三个十年,没有性别偏好,几乎同样发生在上颌骨和下颌骨。主要治疗方法是全切,预后一般良好。由于会模仿其他颌骨疾病,因此组织病理学诊断至关重要。需要长期随访以防止复发。
本文章由计算机程序翻译,如有差异,请以英文原文为准。
求助全文
约1分钟内获得全文 求助全文
来源期刊
Clinical Medicine Insights. Case Reports
Clinical Medicine Insights. Case Reports MEDICINE, GENERAL & INTERNAL-
CiteScore
1.10
自引率
0.00%
发文量
57
审稿时长
8 weeks
×
引用
GB/T 7714-2015
复制
MLA
复制
APA
复制
导出至
BibTeX EndNote RefMan NoteFirst NoteExpress
×
提示
您的信息不完整,为了账户安全,请先补充。
现在去补充
×
提示
您因"违规操作"
具体请查看互助需知
我知道了
×
提示
确定
请完成安全验证×
copy
已复制链接
快去分享给好友吧!
我知道了
右上角分享
点击右上角分享
0
联系我们:info@booksci.cn Book学术提供免费学术资源搜索服务,方便国内外学者检索中英文文献。致力于提供最便捷和优质的服务体验。 Copyright © 2023 布克学术 All rights reserved.
京ICP备2023020795号-1
ghs 京公网安备 11010802042870号
Book学术文献互助
Book学术文献互助群
群 号:604180095
Book学术官方微信