Postauricular Myofibroma of the Facial Canal: A Case Report.

IF 1.4 Q3 OTORHINOLARYNGOLOGY
Journal of Audiology and Otology Pub Date : 2024-10-01 Epub Date: 2024-09-09 DOI:10.7874/jao.2024.00059
Mohammad Al-Alawneh, Ra'ed Al-Ashqar, Yazan Kanaan, Maulla Alali, Haitham Odat
{"title":"Postauricular Myofibroma of the Facial Canal: A Case Report.","authors":"Mohammad Al-Alawneh, Ra'ed Al-Ashqar, Yazan Kanaan, Maulla Alali, Haitham Odat","doi":"10.7874/jao.2024.00059","DOIUrl":null,"url":null,"abstract":"<p><p>Myofibromatosis is a proliferative disorder characterized by the development of soft tissue neoplasms referred to as myofibromas that predominantly occur in infants and young children. These lesions have been described using varied terminologies since they were first reported in 1951. However, these neoplasms are histopathologically characterized by benign fibroblast and myofibroblast proliferation containing a biphasic presentation of spindle-shaped cells surrounding a central zone of less differentiated cells arranged in a hemangiopericytoma-like pattern in all cases. Usually, myofibromatosis occurs in children aged <2 years and is observed at birth in nearly 60% of cases. We report a rare case of myofibroma in an 8-year-old boy who presented with an approximately 6-month history of a left postauricular mass. Histopathological evaluation of the resected mass confirmed the diagnosis.</p>","PeriodicalId":44886,"journal":{"name":"Journal of Audiology and Otology","volume":" ","pages":"309-313"},"PeriodicalIF":1.4000,"publicationDate":"2024-10-01","publicationTypes":"Journal Article","fieldsOfStudy":null,"isOpenAccess":false,"openAccessPdf":"https://www.ncbi.nlm.nih.gov/pmc/articles/PMC11540975/pdf/","citationCount":"0","resultStr":null,"platform":"Semanticscholar","paperid":null,"PeriodicalName":"Journal of Audiology and Otology","FirstCategoryId":"1085","ListUrlMain":"https://doi.org/10.7874/jao.2024.00059","RegionNum":0,"RegionCategory":null,"ArticlePicture":[],"TitleCN":null,"AbstractTextCN":null,"PMCID":null,"EPubDate":"2024/9/9 0:00:00","PubModel":"Epub","JCR":"Q3","JCRName":"OTORHINOLARYNGOLOGY","Score":null,"Total":0}
引用次数: 0

Abstract

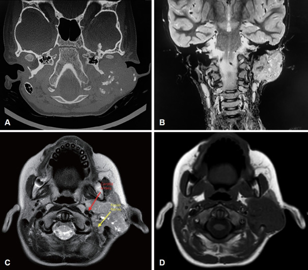
Myofibromatosis is a proliferative disorder characterized by the development of soft tissue neoplasms referred to as myofibromas that predominantly occur in infants and young children. These lesions have been described using varied terminologies since they were first reported in 1951. However, these neoplasms are histopathologically characterized by benign fibroblast and myofibroblast proliferation containing a biphasic presentation of spindle-shaped cells surrounding a central zone of less differentiated cells arranged in a hemangiopericytoma-like pattern in all cases. Usually, myofibromatosis occurs in children aged <2 years and is observed at birth in nearly 60% of cases. We report a rare case of myofibroma in an 8-year-old boy who presented with an approximately 6-month history of a left postauricular mass. Histopathological evaluation of the resected mass confirmed the diagnosis.

Abstract Image

Abstract Image

Abstract Image

耳后面神经管肌纤维瘤:病例报告。
肌纤维瘤病是一种增生性疾病,其特点是发生软组织肿瘤,即肌纤维瘤,主要发生在婴幼儿身上。自 1951 年首次报道以来,对这些病变的描述使用了不同的术语。不过,这些肿瘤的组织病理学特征是良性成纤维细胞和肌成纤维细胞增生,在所有病例中都含有双相的纺锤形细胞,围绕着一个由分化程度较低的细胞组成的中央区,呈血管瘤样排列。肌纤维瘤病通常发生在以下年龄段的儿童身上
本文章由计算机程序翻译,如有差异,请以英文原文为准。
求助全文
约1分钟内获得全文 求助全文
来源期刊
Journal of Audiology and Otology
Journal of Audiology and Otology OTORHINOLARYNGOLOGY-
CiteScore
1.90
自引率
9.10%
发文量
20
期刊介绍: Journal of Audiology and Otology (JAO) (formerly known as Korean Journal of Audiology) aims to publish the most advanced findings for all aspects of the auditory and vestibular system and diseases of the ear using state-of-the-art techniques and analyses. The journal covers recent trends related to the topics of audiology, otology, and neurotology conducted by professionals, with the goal of providing better possible treatment to people of all ages, from infants to the elderly, who suffer from auditory and/or vestibular disorders and thus, improving their quality of life. This journal encourages the submission of review papers about current professional issues, research papers presenting a scientific base and clinical application, and case papers with unique reports or clinical trials. We also invite letters to the editor and papers related to the manufacture and distribution of medical devices. This journal provides integrated views from otologists, audiologists, and other healthcare practitioners, offering readers high quality scientific and clinical information. This peer-reviewed and open access journal has been the official journal of the Korean Audiological Society since 1997 and of both the Korean Audiological Society and the Korean Otological Society since 2017. It is published in English four times a year in January, April, July, and October.
×
引用
GB/T 7714-2015
复制
MLA
复制
APA
复制
导出至
BibTeX EndNote RefMan NoteFirst NoteExpress
×
提示
您的信息不完整,为了账户安全,请先补充。
现在去补充
×
提示
您因"违规操作"
具体请查看互助需知
我知道了
×
提示
确定
请完成安全验证×
copy
已复制链接
快去分享给好友吧!
我知道了
右上角分享
点击右上角分享
0
联系我们:info@booksci.cn Book学术提供免费学术资源搜索服务,方便国内外学者检索中英文文献。致力于提供最便捷和优质的服务体验。 Copyright © 2023 布克学术 All rights reserved.
京ICP备2023020795号-1
ghs 京公网安备 11010802042870号
Book学术文献互助
Book学术文献互助群
群 号:604180095
Book学术官方微信