Use of 'stacked' dermal template: Biodegradable temporising matrix to close a large myelomeningocele defect in a newborn.

Scars, burns & healing Pub Date : 2024-09-02 eCollection Date: 2024-01-01 DOI:10.1177/20595131241270220
Saiidy Hasham, Ciaran O'Boyle, Skaria Alexander
{"title":"Use of 'stacked' dermal template: Biodegradable temporising matrix to close a large myelomeningocele defect in a newborn.","authors":"Saiidy Hasham, Ciaran O'Boyle, Skaria Alexander","doi":"10.1177/20595131241270220","DOIUrl":null,"url":null,"abstract":"<p><strong>Background: </strong>Myelomeningocele is a severe and complex congenital malformation of the central nervous system. Failure of neural tube closure at around four weeks of gestation results in an open communication between the neural placode and the external environment with varied functional impairment. Surgery is usually required.</p><p><strong>Objectives: </strong>The primary goals of surgical management are to preserve neural function and minimise infection. Reconstruction is dependent upon the site and size of the defect as well as the quality of the surrounding soft tissues. Surgeons may employ a range of reconstructive techniques in order to achieve closure. Skin substitutes, also known as dermal regeneration templates, have also been utilised.</p><p><strong>Discussion: </strong>In our unit, we use NovoSorb Biodegradable Temporising Matrix to reconstruct full-thickness skin and soft tissue defects. It is a synthetic, biodegradable, dermal regeneration template, composed of polyurethane foam bonded to a transparent sealing membrane and typically requires a two stage reconstruction. Integration and vascularisation take approximately three weeks. After this time, the recipient wound bed is suitable for split thickness skin grafting. A further benefit of dermal regeneration templates is the possibility of 'stacking' layers, which serves to increase the thickness of the final construct and to minimise overall contour defects. The authors present the case of a one-day-old full-term neonate with a large lumbosacral myelomeningocele that was successfully managed with staged, stacked NovoSorb Biodegradable Temporising Matrix and split thickness skin grafting. The authors believe this is the first case in which a 'stacked' dermal regeneration templates has been used to achieve healing of a primary myelomeningocele defect.</p><p><strong>Lay summary: </strong><b>Background:</b> NovoSorb Biodegradable Temporising Matrix (BTM) is a dermal regeneration template (DRT) and is used to reconstruct wounds following full-thickness skin and soft tissue loss resulting from burn injury, trauma, infection or surgery. It is composed of 2-millimetre thick, synthetic, biodegradable polyurethane foam bonded to a transparent (non-biodegradable) sealing membrane. Like all DRTs, it acts as a scaffold for cellular integration and vascularisation to eventually form a 'neo-dermis'. This is usually apparent from around three weeks. A second stage procedure can then be performed, with removal of the outer sealing membrane and split thickness skin grafting of the vascularised layer.<b>Objectives:</b> Myelomeningocele is a severe and complex congenital malformation of the central nervous system and forms the group of anomalies commonly referred to as neural tube defects (NTDs). Neural tube closure usually occurs at around four weeks of gestation and failure to do so, results in an open communication between the neural placode and the external environment. The degree of functional impairment varies but can include: lower limb paralysis; sensory loss; bladder and bowel dysfunction. In order to preserve neural function and minimise the risk of infection, surgery is usually required to close the defect. Reconstruction is varied and is dependent upon the site and size of the defect as well as the quality of the surrounding soft tissues. The use of local flaps has the potential complication of skin necrosis. Muscle based flaps may be debilitating and limit future functionality and worsen postural development. We were presented with a one-day-old neonate with a large lumbosacral myelomeningocele. A DRT (NovoSorb BTM) was selected as the primary reconstruction. Firstly, selection provided relatively low risk, with minimal morbidity and preserved the full complement of flap based reconstructive options for a later stage should instrumentation be required. Secondly, NovoSorb BTM conferred a robust seal over the dural repair with no demonstrable cerebrospinal fluid leak. Thirdly, the ability to add layers ('stack') of NovoSorb BTM in stages, once integration and vascularisation of the previous layer is complete, allows reconstruction of deeper contour defects.<b>Discussion:</b> We have illustrated the successful use of NovoSorb BTM as a DRT to achieve closure of a large lumbosacral myelomeningocele without complication and with longstanding stability. We believe this technique provides reconstructive teams with an alternative option that is effective, safe and reproducible and which spares local tissues for future elective reconstructive procedures, should they be required.</p>","PeriodicalId":94205,"journal":{"name":"Scars, burns & healing","volume":"10 ","pages":"20595131241270220"},"PeriodicalIF":0.0000,"publicationDate":"2024-09-02","publicationTypes":"Journal Article","fieldsOfStudy":null,"isOpenAccess":false,"openAccessPdf":"https://www.ncbi.nlm.nih.gov/pmc/articles/PMC11372776/pdf/","citationCount":"0","resultStr":null,"platform":"Semanticscholar","paperid":null,"PeriodicalName":"Scars, burns & healing","FirstCategoryId":"1085","ListUrlMain":"https://doi.org/10.1177/20595131241270220","RegionNum":0,"RegionCategory":null,"ArticlePicture":[],"TitleCN":null,"AbstractTextCN":null,"PMCID":null,"EPubDate":"2024/1/1 0:00:00","PubModel":"eCollection","JCR":"","JCRName":"","Score":null,"Total":0}
引用次数: 0

Abstract

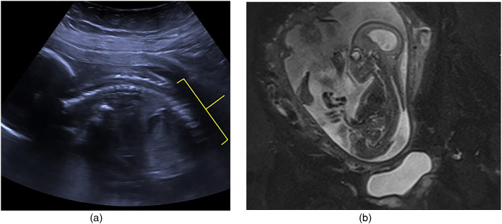
Background: Myelomeningocele is a severe and complex congenital malformation of the central nervous system. Failure of neural tube closure at around four weeks of gestation results in an open communication between the neural placode and the external environment with varied functional impairment. Surgery is usually required.

Objectives: The primary goals of surgical management are to preserve neural function and minimise infection. Reconstruction is dependent upon the site and size of the defect as well as the quality of the surrounding soft tissues. Surgeons may employ a range of reconstructive techniques in order to achieve closure. Skin substitutes, also known as dermal regeneration templates, have also been utilised.

Discussion: In our unit, we use NovoSorb Biodegradable Temporising Matrix to reconstruct full-thickness skin and soft tissue defects. It is a synthetic, biodegradable, dermal regeneration template, composed of polyurethane foam bonded to a transparent sealing membrane and typically requires a two stage reconstruction. Integration and vascularisation take approximately three weeks. After this time, the recipient wound bed is suitable for split thickness skin grafting. A further benefit of dermal regeneration templates is the possibility of 'stacking' layers, which serves to increase the thickness of the final construct and to minimise overall contour defects. The authors present the case of a one-day-old full-term neonate with a large lumbosacral myelomeningocele that was successfully managed with staged, stacked NovoSorb Biodegradable Temporising Matrix and split thickness skin grafting. The authors believe this is the first case in which a 'stacked' dermal regeneration templates has been used to achieve healing of a primary myelomeningocele defect.

Lay summary: Background: NovoSorb Biodegradable Temporising Matrix (BTM) is a dermal regeneration template (DRT) and is used to reconstruct wounds following full-thickness skin and soft tissue loss resulting from burn injury, trauma, infection or surgery. It is composed of 2-millimetre thick, synthetic, biodegradable polyurethane foam bonded to a transparent (non-biodegradable) sealing membrane. Like all DRTs, it acts as a scaffold for cellular integration and vascularisation to eventually form a 'neo-dermis'. This is usually apparent from around three weeks. A second stage procedure can then be performed, with removal of the outer sealing membrane and split thickness skin grafting of the vascularised layer.Objectives: Myelomeningocele is a severe and complex congenital malformation of the central nervous system and forms the group of anomalies commonly referred to as neural tube defects (NTDs). Neural tube closure usually occurs at around four weeks of gestation and failure to do so, results in an open communication between the neural placode and the external environment. The degree of functional impairment varies but can include: lower limb paralysis; sensory loss; bladder and bowel dysfunction. In order to preserve neural function and minimise the risk of infection, surgery is usually required to close the defect. Reconstruction is varied and is dependent upon the site and size of the defect as well as the quality of the surrounding soft tissues. The use of local flaps has the potential complication of skin necrosis. Muscle based flaps may be debilitating and limit future functionality and worsen postural development. We were presented with a one-day-old neonate with a large lumbosacral myelomeningocele. A DRT (NovoSorb BTM) was selected as the primary reconstruction. Firstly, selection provided relatively low risk, with minimal morbidity and preserved the full complement of flap based reconstructive options for a later stage should instrumentation be required. Secondly, NovoSorb BTM conferred a robust seal over the dural repair with no demonstrable cerebrospinal fluid leak. Thirdly, the ability to add layers ('stack') of NovoSorb BTM in stages, once integration and vascularisation of the previous layer is complete, allows reconstruction of deeper contour defects.Discussion: We have illustrated the successful use of NovoSorb BTM as a DRT to achieve closure of a large lumbosacral myelomeningocele without complication and with longstanding stability. We believe this technique provides reconstructive teams with an alternative option that is effective, safe and reproducible and which spares local tissues for future elective reconstructive procedures, should they be required.

Abstract Image

Abstract Image

Abstract Image

使用 "堆叠 "真皮模板:生物可降解临时基质用于缝合新生儿大面积髓母细胞瘤缺损。
背景:脊髓膜膨出症是一种严重而复杂的中枢神经系统先天性畸形。神经管在妊娠四周左右闭合失败,导致神经胎盘与外界环境之间的交流开放,并伴有不同程度的功能障碍。通常需要进行手术治疗:手术治疗的主要目的是保护神经功能和减少感染。重建取决于缺损的部位、大小以及周围软组织的质量。外科医生可能会采用一系列重建技术来实现闭合。皮肤替代物,也称为真皮再生模板,也已得到应用:在我们科室,我们使用 NovoSorb 生物可降解临时基质来重建全厚皮肤和软组织缺损。这是一种人工合成、可生物降解的真皮再生模板,由聚氨酯泡沫和透明密封膜粘合而成,通常需要两个阶段的重建。整合和血管化大约需要三周时间。三周后,受体伤口床就可以进行分层植皮了。真皮再生模板的另一个优点是可以 "堆叠 "层,这样可以增加最终结构的厚度,最大限度地减少整体轮廓缺陷。作者介绍了一例出生一天的足月新生儿腰骶部巨大髓母细胞瘤病例,该病例采用分阶段、堆叠式 NovoSorb 生物可降解临时基质和分层厚度皮肤移植术成功治愈。作者认为这是第一例使用 "堆叠式 "真皮再生模板实现原发性脊髓膜缺损愈合的病例:NovoSorb生物可降解临时基质(BTM)是一种真皮再生模板(DRT),用于重建因烧伤、创伤、感染或手术造成的全厚皮肤和软组织缺损的伤口。它由 2 毫米厚的可生物降解合成聚氨酯泡沫和透明(不可生物降解)密封膜组成。与所有 DRT 一样,它是细胞整合和血管化的支架,最终形成 "新皮肤"。这种情况通常在三周左右开始显现。然后可以进行第二阶段手术,去除外层密封膜,在血管层上进行分层植皮:脊髓膜膨出症是一种严重而复杂的中枢神经系统先天性畸形,是通常被称为神经管缺陷(NTD)的一类畸形。神经管闭合通常发生在妊娠四周左右,闭合失败会导致神经胎盘与外部环境之间的交流开放。功能障碍的程度各不相同,但可能包括:下肢瘫痪、感觉缺失、膀胱和肠道功能障碍。为了保护神经功能并将感染风险降至最低,通常需要进行手术来关闭缺损。重建方法多种多样,取决于缺损的部位和大小以及周围软组织的质量。使用局部皮瓣可能会出现皮肤坏死的并发症。以肌肉为基础的皮瓣可能会使人衰弱,限制未来的功能,并使姿势发育恶化。我们接诊了一名患有巨大腰骶部髓膜膨出的一天大新生儿。我们选择了 DRT(NovoSorb BTM)作为主要的重建方法。首先,选择这种方法风险相对较低,发病率极低,并保留了完整的皮瓣重建方案,以备后期需要器械治疗时使用。其次,NovoSorb BTM 可为硬脑膜修复提供稳固的密封,且无明显的脑脊液渗漏。第三,NovoSorb BTM 可以分层("堆叠")添加,一旦前一层完成整合和血管化,就可以重建更深的轮廓缺损:讨论:我们展示了将 NovoSorb BTM 作为 DRT 成功用于大面积腰骶部脊髓膜膨出症的闭合,且无并发症,并具有长期稳定性。我们相信,这项技术为重建团队提供了另一种有效、安全、可重复的选择,并在需要时为未来的选择性重建手术保留了局部组织。
本文章由计算机程序翻译,如有差异,请以英文原文为准。
求助全文
约1分钟内获得全文 求助全文
来源期刊
自引率
0.00%
发文量
0
审稿时长
15 weeks
×
引用
GB/T 7714-2015
复制
MLA
复制
APA
复制
导出至
BibTeX EndNote RefMan NoteFirst NoteExpress
×
提示
您的信息不完整,为了账户安全,请先补充。
现在去补充
×
提示
您因"违规操作"
具体请查看互助需知
我知道了
×
提示
确定
请完成安全验证×
copy
已复制链接
快去分享给好友吧!
我知道了
右上角分享
点击右上角分享
0
联系我们:info@booksci.cn Book学术提供免费学术资源搜索服务,方便国内外学者检索中英文文献。致力于提供最便捷和优质的服务体验。 Copyright © 2023 布克学术 All rights reserved.
京ICP备2023020795号-1
ghs 京公网安备 11010802042870号
Book学术文献互助
Book学术文献互助群
群 号:604180095
Book学术官方微信