Negative effects of ethanol on ovarian reserve and endometrium thickness: An animal study.

IF 1.3 Q4 OBSTETRICS & GYNECOLOGY
Enes Karaman, Mehmet Emin Ayağ
{"title":"Negative effects of ethanol on ovarian reserve and endometrium thickness: An animal study.","authors":"Enes Karaman, Mehmet Emin Ayağ","doi":"10.4274/tjod.galenos.2024.89439","DOIUrl":null,"url":null,"abstract":"<p><strong>Objective: </strong>This study aimed to assess the effect of ethanol on the ovarian reserve and endometrium of rats by evaluating anti-Müllerian hormone (AMH) levels and follicle counts.</p><p><strong>Materials and methods: </strong>We performed histological follicle counting and AMH measurements to evaluate ovarian reserve. The study included 16 Wistar albino rats evenly distributed into two groups of eight rats each. The rats in the intervention group (group 1) were administered ethanol at a daily dose of 2.5 g/kg via oral gastric lavage for 30 days, whereas the control group (group 2) received water as a placebo via oral gastric lavage for the same period. At the end of 30 days, the animals were sacrificed, and 2 mL blood samples were collected for AMH measurements. Laparotomy was performed to remove the ovaries and uterus.</p><p><strong>Results: </strong>Despite the lack of a meaningful distinction in the quantity of primordial and primary follicles between the two groups, a substantial disparity was observed in the overall follicle count and AMH levels. Specifically, the intervention group exhibited significantly lower total follicle counts and AMH levels than the control group (p≤0.001). The researchers also found that the endometrium of ethanol-treated rats was significantly thinner than that of control rats (p≤0.001).</p><p><strong>Conclusion: </strong>This study concluded that ethanol consumption can negatively affect reproductive ability and the success of in vitro fertilization treatment by reducing ovarian reserve and thinning the endometrium.</p>","PeriodicalId":45340,"journal":{"name":"Turkish Journal of Obstetrics and Gynecology","volume":"21 3","pages":"175-179"},"PeriodicalIF":1.3000,"publicationDate":"2024-09-04","publicationTypes":"Journal Article","fieldsOfStudy":null,"isOpenAccess":false,"openAccessPdf":"https://www.ncbi.nlm.nih.gov/pmc/articles/PMC11589319/pdf/","citationCount":"0","resultStr":null,"platform":"Semanticscholar","paperid":null,"PeriodicalName":"Turkish Journal of Obstetrics and Gynecology","FirstCategoryId":"1085","ListUrlMain":"https://doi.org/10.4274/tjod.galenos.2024.89439","RegionNum":0,"RegionCategory":null,"ArticlePicture":[],"TitleCN":null,"AbstractTextCN":null,"PMCID":null,"EPubDate":"","PubModel":"","JCR":"Q4","JCRName":"OBSTETRICS & GYNECOLOGY","Score":null,"Total":0}
引用次数: 0

Abstract

Objective: This study aimed to assess the effect of ethanol on the ovarian reserve and endometrium of rats by evaluating anti-Müllerian hormone (AMH) levels and follicle counts.

Materials and methods: We performed histological follicle counting and AMH measurements to evaluate ovarian reserve. The study included 16 Wistar albino rats evenly distributed into two groups of eight rats each. The rats in the intervention group (group 1) were administered ethanol at a daily dose of 2.5 g/kg via oral gastric lavage for 30 days, whereas the control group (group 2) received water as a placebo via oral gastric lavage for the same period. At the end of 30 days, the animals were sacrificed, and 2 mL blood samples were collected for AMH measurements. Laparotomy was performed to remove the ovaries and uterus.

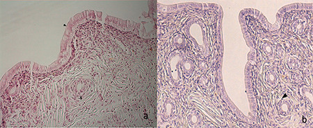
Results: Despite the lack of a meaningful distinction in the quantity of primordial and primary follicles between the two groups, a substantial disparity was observed in the overall follicle count and AMH levels. Specifically, the intervention group exhibited significantly lower total follicle counts and AMH levels than the control group (p≤0.001). The researchers also found that the endometrium of ethanol-treated rats was significantly thinner than that of control rats (p≤0.001).

Conclusion: This study concluded that ethanol consumption can negatively affect reproductive ability and the success of in vitro fertilization treatment by reducing ovarian reserve and thinning the endometrium.

Abstract Image

Abstract Image

Abstract Image

乙醇对卵巢储备和子宫内膜厚度的负面影响:一项动物研究
研究目的本研究旨在通过评估抗缪勒氏管激素(AMH)水平和卵泡计数,评估乙醇对大鼠卵巢储备功能和子宫内膜的影响:我们进行了组织学卵泡计数和 AMH 测量,以评估卵巢储备功能。研究对象包括 16 只 Wistar 白化大鼠,平均分为两组,每组 8 只。干预组(第 1 组)大鼠通过口服洗胃给予乙醇,每日剂量为 2.5 克/千克,为期 30 天;对照组(第 2 组)大鼠通过口服洗胃给予水作为安慰剂,为期 30 天。30 天结束时,动物被处死,并采集 2 mL 血液样本用于测量 AMH。进行腹腔手术切除卵巢和子宫:结果:尽管两组动物的原始卵泡和初级卵泡数量没有明显差异,但在总体卵泡数量和AMH水平上却存在巨大差距。具体来说,干预组的总卵泡数和 AMH 水平明显低于对照组(P≤0.001)。研究人员还发现,乙醇治疗组大鼠的子宫内膜明显比对照组大鼠的子宫内膜薄(p≤0.001):本研究得出结论,服用乙醇会降低卵巢储备功能并使子宫内膜变薄,从而对生殖能力和体外受精治疗的成功率产生负面影响。
本文章由计算机程序翻译,如有差异,请以英文原文为准。
求助全文
约1分钟内获得全文 求助全文
来源期刊
CiteScore
2.10
自引率
0.00%
发文量
1
×
引用
GB/T 7714-2015
复制
MLA
复制
APA
复制
导出至
BibTeX EndNote RefMan NoteFirst NoteExpress
×
提示
您的信息不完整,为了账户安全,请先补充。
现在去补充
×
提示
您因"违规操作"
具体请查看互助需知
我知道了
×
提示
确定
请完成安全验证×
copy
已复制链接
快去分享给好友吧!
我知道了
右上角分享
点击右上角分享
0
联系我们:info@booksci.cn Book学术提供免费学术资源搜索服务,方便国内外学者检索中英文文献。致力于提供最便捷和优质的服务体验。 Copyright © 2023 布克学术 All rights reserved.
京ICP备2023020795号-1
ghs 京公网安备 11010802042870号
Book学术文献互助
Book学术文献互助群
群 号:604180095
Book学术官方微信