Diagnosis and Management of Aggressive/Refractory Growth Hormone-Secreting Pituitary Neuroendocrine Tumors.

IF 2.3 4区 医学 Q3 ENDOCRINOLOGY & METABOLISM
International Journal of Endocrinology Pub Date : 2024-08-26 eCollection Date: 2024-01-01 DOI:10.1155/2024/5085905
Xiaojuan Zhang, Yu Chen, Yerong Yu, Jianwei Li
{"title":"Diagnosis and Management of Aggressive/Refractory Growth Hormone-Secreting Pituitary Neuroendocrine Tumors.","authors":"Xiaojuan Zhang, Yu Chen, Yerong Yu, Jianwei Li","doi":"10.1155/2024/5085905","DOIUrl":null,"url":null,"abstract":"<p><p>The majority of acromegaly and gigantism are caused by growth hormone-secreting pituitary neuroendocrine tumors (PitNETs). Most cases can be cured or controlled by surgery, medical therapy, and/or radiotherapy. However, a few of these tumors are resistant to traditional therapy and always have a poor prognosis. The title aggressive/refractory is used to differentiate them from pituitary carcinomas. To date, there is no definitive conclusion on how to diagnose aggressive/refractory growth hormone-secreting PitNETs, which may have slowed the process of exploring new therapeutical strategies. We summarized the literature described diagnosis and treatment of the disease. Potential disease markers and prospective therapies were also included.</p>","PeriodicalId":13966,"journal":{"name":"International Journal of Endocrinology","volume":"2024 ","pages":"5085905"},"PeriodicalIF":2.3000,"publicationDate":"2024-08-26","publicationTypes":"Journal Article","fieldsOfStudy":null,"isOpenAccess":false,"openAccessPdf":"https://www.ncbi.nlm.nih.gov/pmc/articles/PMC11368557/pdf/","citationCount":"0","resultStr":null,"platform":"Semanticscholar","paperid":null,"PeriodicalName":"International Journal of Endocrinology","FirstCategoryId":"3","ListUrlMain":"https://doi.org/10.1155/2024/5085905","RegionNum":4,"RegionCategory":"医学","ArticlePicture":[],"TitleCN":null,"AbstractTextCN":null,"PMCID":null,"EPubDate":"2024/1/1 0:00:00","PubModel":"eCollection","JCR":"Q3","JCRName":"ENDOCRINOLOGY & METABOLISM","Score":null,"Total":0}
引用次数: 0

Abstract

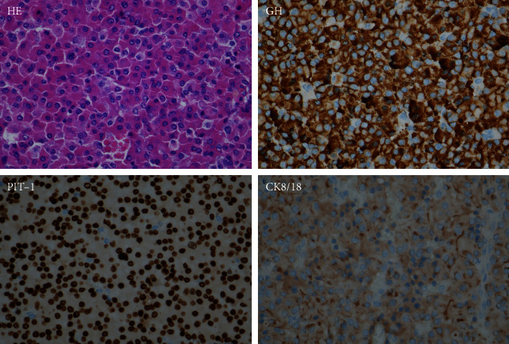
The majority of acromegaly and gigantism are caused by growth hormone-secreting pituitary neuroendocrine tumors (PitNETs). Most cases can be cured or controlled by surgery, medical therapy, and/or radiotherapy. However, a few of these tumors are resistant to traditional therapy and always have a poor prognosis. The title aggressive/refractory is used to differentiate them from pituitary carcinomas. To date, there is no definitive conclusion on how to diagnose aggressive/refractory growth hormone-secreting PitNETs, which may have slowed the process of exploring new therapeutical strategies. We summarized the literature described diagnosis and treatment of the disease. Potential disease markers and prospective therapies were also included.

Abstract Image

Abstract Image

Abstract Image

侵袭性/难治性生长激素分泌型垂体神经内分泌肿瘤的诊断和治疗。
大多数肢端肥大症和巨人症是由分泌生长激素的垂体神经内分泌肿瘤(PitNET)引起的。大多数病例可以通过手术、药物治疗和/或放射治疗治愈或控制病情。然而,少数肿瘤对传统疗法有抵抗力,预后总是不佳。侵袭性/难治性这一称谓用于将它们与垂体癌区分开来。迄今为止,如何诊断侵袭性/难治性分泌生长激素的垂体网状细胞瘤尚无定论,这可能会延缓探索新治疗策略的进程。我们总结了描述该疾病诊断和治疗的文献。其中还包括潜在的疾病标志物和前瞻性疗法。
本文章由计算机程序翻译,如有差异,请以英文原文为准。
求助全文
约1分钟内获得全文 求助全文
来源期刊
International Journal of Endocrinology
International Journal of Endocrinology ENDOCRINOLOGY & METABOLISM-
CiteScore
5.20
自引率
0.00%
发文量
147
审稿时长
1 months
期刊介绍: International Journal of Endocrinology is a peer-reviewed, Open Access journal that provides a forum for scientists and clinicians working in basic and translational research. The journal publishes original research articles, review articles, and clinical studies that provide insights into the endocrine system and its associated diseases at a genomic, molecular, biochemical and cellular level.
×
引用
GB/T 7714-2015
复制
MLA
复制
APA
复制
导出至
BibTeX EndNote RefMan NoteFirst NoteExpress
×
提示
您的信息不完整,为了账户安全,请先补充。
现在去补充
×
提示
您因"违规操作"
具体请查看互助需知
我知道了
×
提示
确定
请完成安全验证×
copy
已复制链接
快去分享给好友吧!
我知道了
右上角分享
点击右上角分享
0
联系我们:info@booksci.cn Book学术提供免费学术资源搜索服务,方便国内外学者检索中英文文献。致力于提供最便捷和优质的服务体验。 Copyright © 2023 布克学术 All rights reserved.
京ICP备2023020795号-1
ghs 京公网安备 11010802042870号
Book学术文献互助
Book学术文献互助群
群 号:604180095
Book学术官方微信