Comparison of deep learning models to detect crossbites on 2D intraoral photographs.

IF 2.4 2区 医学 Q2 DENTISTRY, ORAL SURGERY & MEDICINE
Beatrice Noeldeke, Stratos Vassis, Mohammedreza Sefidroodi, Ruben Pauwels, Peter Stoustrup
{"title":"Comparison of deep learning models to detect crossbites on 2D intraoral photographs.","authors":"Beatrice Noeldeke, Stratos Vassis, Mohammedreza Sefidroodi, Ruben Pauwels, Peter Stoustrup","doi":"10.1186/s13005-024-00448-8","DOIUrl":null,"url":null,"abstract":"<p><strong>Background: </strong>To support dentists with limited experience, this study trained and compared six convolutional neural networks to detect crossbites and classify non-crossbite, frontal, and lateral crossbites using 2D intraoral photographs.</p><p><strong>Methods: </strong>Based on 676 photographs from 311 orthodontic patients, six convolutional neural network models were trained and compared to classify (1) non-crossbite vs. crossbite and (2) non-crossbite vs. lateral crossbite vs. frontal crossbite. The trained models comprised DenseNet, EfficientNet, MobileNet, ResNet18, ResNet50, and Xception.</p><p><strong>Findings: </strong>Among the models, Xception showed the highest accuracy (98.57%) in the test dataset for classifying non-crossbite vs. crossbite images. When additionally distinguishing between lateral and frontal crossbites, average accuracy decreased with the DenseNet architecture achieving the highest accuracy among the models with 91.43% in the test dataset.</p><p><strong>Conclusions: </strong>Convolutional neural networks show high potential in processing clinical photographs and detecting crossbites. This study provides initial insights into how deep learning models can be used for orthodontic diagnosis of malocclusions based on intraoral 2D photographs.</p>","PeriodicalId":12994,"journal":{"name":"Head & Face Medicine","volume":"20 1","pages":"45"},"PeriodicalIF":2.4000,"publicationDate":"2024-09-02","publicationTypes":"Journal Article","fieldsOfStudy":null,"isOpenAccess":false,"openAccessPdf":"https://www.ncbi.nlm.nih.gov/pmc/articles/PMC11367978/pdf/","citationCount":"0","resultStr":null,"platform":"Semanticscholar","paperid":null,"PeriodicalName":"Head & Face Medicine","FirstCategoryId":"3","ListUrlMain":"https://doi.org/10.1186/s13005-024-00448-8","RegionNum":2,"RegionCategory":"医学","ArticlePicture":[],"TitleCN":null,"AbstractTextCN":null,"PMCID":null,"EPubDate":"","PubModel":"","JCR":"Q2","JCRName":"DENTISTRY, ORAL SURGERY & MEDICINE","Score":null,"Total":0}
引用次数: 0

Abstract

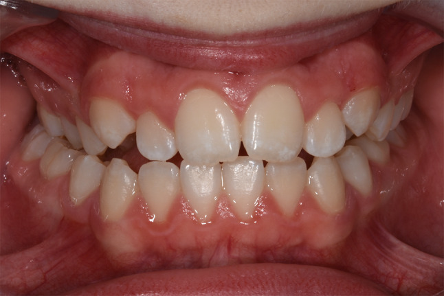
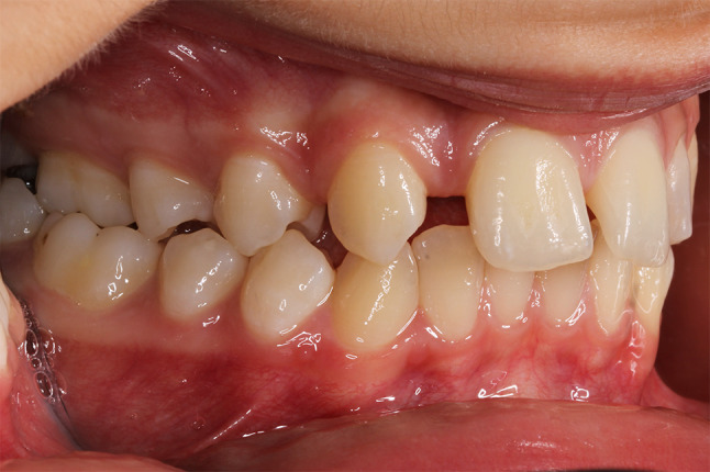
Background: To support dentists with limited experience, this study trained and compared six convolutional neural networks to detect crossbites and classify non-crossbite, frontal, and lateral crossbites using 2D intraoral photographs.

Methods: Based on 676 photographs from 311 orthodontic patients, six convolutional neural network models were trained and compared to classify (1) non-crossbite vs. crossbite and (2) non-crossbite vs. lateral crossbite vs. frontal crossbite. The trained models comprised DenseNet, EfficientNet, MobileNet, ResNet18, ResNet50, and Xception.

Findings: Among the models, Xception showed the highest accuracy (98.57%) in the test dataset for classifying non-crossbite vs. crossbite images. When additionally distinguishing between lateral and frontal crossbites, average accuracy decreased with the DenseNet architecture achieving the highest accuracy among the models with 91.43% in the test dataset.

Conclusions: Convolutional neural networks show high potential in processing clinical photographs and detecting crossbites. This study provides initial insights into how deep learning models can be used for orthodontic diagnosis of malocclusions based on intraoral 2D photographs.

Abstract Image

Abstract Image

Abstract Image

在二维口内照片上检测交叉咬合的深度学习模型比较。
背景:为了给经验有限的牙医提供支持,本研究使用二维口内照片训练并比较了六个卷积神经网络,以检测交叉咬合并对非交叉咬合、正面和侧面交叉咬合进行分类:方法: 根据 311 名正畸患者的 676 张照片,对六个卷积神经网络模型进行了训练和比较,以便对(1)非交叉咬合与交叉咬合;(2)非交叉咬合与侧面交叉咬合与正面交叉咬合进行分类。训练的模型包括 DenseNet、EfficientNet、MobileNet、ResNet18、ResNet50 和 Xception:在这些模型中,Xception 在测试数据集中对非交叉咬合与交叉咬合图像进行分类的准确率最高(98.57%)。在额外区分侧面和正面交叉咬合时,平均准确率有所下降,DenseNet 架构在测试数据集中的准确率最高,达到 91.43%:卷积神经网络在处理临床照片和检测交叉咬合方面显示出巨大潜力。这项研究为深度学习模型如何用于基于口内二维照片的畸齿矫正诊断提供了初步见解。
本文章由计算机程序翻译,如有差异,请以英文原文为准。
求助全文
约1分钟内获得全文 求助全文
来源期刊
Head & Face Medicine
Head & Face Medicine DENTISTRY, ORAL SURGERY & MEDICINE-
CiteScore
4.70
自引率
3.30%
发文量
32
审稿时长
>12 weeks
期刊介绍: Head & Face Medicine is a multidisciplinary open access journal that publishes basic and clinical research concerning all aspects of cranial, facial and oral conditions. The journal covers all aspects of cranial, facial and oral diseases and their management. It has been designed as a multidisciplinary journal for clinicians and researchers involved in the diagnostic and therapeutic aspects of diseases which affect the human head and face. The journal is wide-ranging, covering the development, aetiology, epidemiology and therapy of head and face diseases to the basic science that underlies these diseases. Management of head and face diseases includes all aspects of surgical and non-surgical treatments including psychopharmacological therapies.
×
引用
GB/T 7714-2015
复制
MLA
复制
APA
复制
导出至
BibTeX EndNote RefMan NoteFirst NoteExpress
×
提示
您的信息不完整,为了账户安全,请先补充。
现在去补充
×
提示
您因"违规操作"
具体请查看互助需知
我知道了
×
提示
确定
请完成安全验证×
copy
已复制链接
快去分享给好友吧!
我知道了
右上角分享
点击右上角分享
0
联系我们:info@booksci.cn Book学术提供免费学术资源搜索服务,方便国内外学者检索中英文文献。致力于提供最便捷和优质的服务体验。 Copyright © 2023 布克学术 All rights reserved.
京ICP备2023020795号-1
ghs 京公网安备 11010802042870号
Book学术文献互助
Book学术文献互助群
群 号:604180095
Book学术官方微信