First case of autochthonous Angiostrongylus vasorum infection in a Norwegian dog.

IF 1.7 2区 农林科学 Q2 VETERINARY SCIENCES
Julie Robbestad, Alejandro Jiménez-Meléndez, Lucy J Robertson, Liva I Vatne, Mari N Hauback, Sivert Nerhagen
{"title":"First case of autochthonous Angiostrongylus vasorum infection in a Norwegian dog.","authors":"Julie Robbestad, Alejandro Jiménez-Meléndez, Lucy J Robertson, Liva I Vatne, Mari N Hauback, Sivert Nerhagen","doi":"10.1186/s13028-024-00765-7","DOIUrl":null,"url":null,"abstract":"<p><p>A fifteen-month-old Pembroke Welsh corgi with respiratory distress, exercise intolerance, and moderate regenerative anemia was referred to The Norwegian University of Life Sciences, Small Animal Hospital.Hematology revealed moderate regenerative anemia without evidence of hemolysis. Thoracic radiographs showed a generalized mixed interstitial to alveolar lung pattern and enlarged pulmonary arteries. Changes suggestive of moderate pulmonary hypertension were noted on echocardiography. Baermann fecal diagnostic flotation identified large numbers of Angiostrongylus vasorum larvae, and the AngioDetect serological antigen test was positive. The dog was treated with a two-week course with fenbendazole (51 mg/kg q24h po) and topical imidacloprid/moxidectin (250 mg/62.5 mg) and a one-week course with sildenafil (0.45 mg/kg q12h po). Complete clinical, clinicopathological and echocardiographic resolution was observed after only four weeks. Rapid improvement of echocardiographic abnormalities in cases with suspected pulmonary hypertension is not usually reported in cases with angiostrongylosis.Infection with A. vasorum should be considered in dogs with respiratory signs and bleeding tendencies, even in countries with no endemic history or reported cases.</p>","PeriodicalId":7181,"journal":{"name":"Acta Veterinaria Scandinavica","volume":"66 1","pages":"41"},"PeriodicalIF":1.7000,"publicationDate":"2024-09-02","publicationTypes":"Journal Article","fieldsOfStudy":null,"isOpenAccess":false,"openAccessPdf":"https://www.ncbi.nlm.nih.gov/pmc/articles/PMC11367999/pdf/","citationCount":"0","resultStr":null,"platform":"Semanticscholar","paperid":null,"PeriodicalName":"Acta Veterinaria Scandinavica","FirstCategoryId":"97","ListUrlMain":"https://doi.org/10.1186/s13028-024-00765-7","RegionNum":2,"RegionCategory":"农林科学","ArticlePicture":[],"TitleCN":null,"AbstractTextCN":null,"PMCID":null,"EPubDate":"","PubModel":"","JCR":"Q2","JCRName":"VETERINARY SCIENCES","Score":null,"Total":0}
引用次数: 0

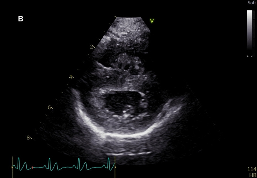
Abstract

A fifteen-month-old Pembroke Welsh corgi with respiratory distress, exercise intolerance, and moderate regenerative anemia was referred to The Norwegian University of Life Sciences, Small Animal Hospital.Hematology revealed moderate regenerative anemia without evidence of hemolysis. Thoracic radiographs showed a generalized mixed interstitial to alveolar lung pattern and enlarged pulmonary arteries. Changes suggestive of moderate pulmonary hypertension were noted on echocardiography. Baermann fecal diagnostic flotation identified large numbers of Angiostrongylus vasorum larvae, and the AngioDetect serological antigen test was positive. The dog was treated with a two-week course with fenbendazole (51 mg/kg q24h po) and topical imidacloprid/moxidectin (250 mg/62.5 mg) and a one-week course with sildenafil (0.45 mg/kg q12h po). Complete clinical, clinicopathological and echocardiographic resolution was observed after only four weeks. Rapid improvement of echocardiographic abnormalities in cases with suspected pulmonary hypertension is not usually reported in cases with angiostrongylosis.Infection with A. vasorum should be considered in dogs with respiratory signs and bleeding tendencies, even in countries with no endemic history or reported cases.

Abstract Image

Abstract Image

Abstract Image

首例挪威犬自体 Angiostrongylus vasorum 感染病例。
一只 15 个月大的彭布罗克威尔士柯基犬呼吸困难、运动不耐受和中度再生性贫血,被转诊到挪威生命科学大学小动物医院。胸部 X 光片显示,肺部呈从间质到肺泡的混合型,肺动脉增大。超声心动图显示有中度肺动脉高压的变化。巴曼粪便诊断浮选确定了大量的血管内安氏圆线虫幼虫,AngioDetect 血清抗原检测呈阳性。该犬接受了为期两周的芬苯达唑(51 mg/kg q24h po)和局部咪鲜胺/莫西菌素(250 mg/62.5 mg)治疗,以及为期一周的西地那非(0.45 mg/kg q12h po)治疗。仅用了四周时间,临床、临床病理和超声心动图检查结果就得到了完全的改善。即使在没有流行病史或病例报告的国家,对于有呼吸道症状和出血倾向的犬也应考虑感染血管甲虫。
本文章由计算机程序翻译,如有差异,请以英文原文为准。
求助全文
约1分钟内获得全文 求助全文
来源期刊
Acta Veterinaria Scandinavica
Acta Veterinaria Scandinavica 农林科学-兽医学
CiteScore
3.60
自引率
0.00%
发文量
28
审稿时长
18-36 weeks
期刊介绍: Acta Veterinaria Scandinavica is an open access journal encompassing all aspects of veterinary research and medicine of domestic and wild animals.
×
引用
GB/T 7714-2015
复制
MLA
复制
APA
复制
导出至
BibTeX EndNote RefMan NoteFirst NoteExpress
×
提示
您的信息不完整,为了账户安全,请先补充。
现在去补充
×
提示
您因"违规操作"
具体请查看互助需知
我知道了
×
提示
确定
请完成安全验证×
copy
已复制链接
快去分享给好友吧!
我知道了
右上角分享
点击右上角分享
0
联系我们:info@booksci.cn Book学术提供免费学术资源搜索服务,方便国内外学者检索中英文文献。致力于提供最便捷和优质的服务体验。 Copyright © 2023 布克学术 All rights reserved.
京ICP备2023020795号-1
ghs 京公网安备 11010802042870号
Book学术文献互助
Book学术文献互助群
群 号:604180095
Book学术官方微信