Restoration-oriented anatomical analysis of alveolar bone at mandibular first molars and implications for immediate implant placement surgery: a CBCT study.

IF 2.5 3区 医学 Q1 DENTISTRY, ORAL SURGERY & MEDICINE
Journal of Advanced Prosthodontics Pub Date : 2024-08-01 Epub Date: 2024-08-20 DOI:10.4047/jap.2024.16.4.212
Quan Shi, Yang Huang, Na Huo, Yi Jiang, Tong Zhang, Juncheng Wang
{"title":"Restoration-oriented anatomical analysis of alveolar bone at mandibular first molars and implications for immediate implant placement surgery: a CBCT study.","authors":"Quan Shi, Yang Huang, Na Huo, Yi Jiang, Tong Zhang, Juncheng Wang","doi":"10.4047/jap.2024.16.4.212","DOIUrl":null,"url":null,"abstract":"<p><strong>Purpose: </strong>This cone-beam computed tomography (CBCT) study aimed to analyze the anatomical characteristics of alveolar bone at mandibular first molar (MFM) and their implications for immediate implant placement surgery.</p><p><strong>Materials and methods: </strong>100 patients with 140 MFMs were reviewed retrospectively. We first performed a 3D reconstruction of the patient's CBCT data to determine a reference plane with ideal implant placement and orientation. The following parameters of MFM region were analyzed: mesial-distal socket size (MD-SS), buccal-lingual socket size (BL-SS), root furcation fornix to inferior alveolar nerve (IAN) distance (RF-I), interradicular bone thickness (IRB), mesial/distal root apex to the IAN distance (MRA-I/DRA-I), thickness of the buccal/lingual bone of the mesial root (MR-B/MR-L), thickness of the buccal/lingual bone of the distal root (DR-B/DR-L).</p><p><strong>Results: </strong>The MD-SS of MFM was 8.74 ± 0.76 mm, and the BL-SS was 8.26 ± 0.72 mm. The MR-B, DR-B was 1.01 ± 0.40 mm and 1.14 ± 0.50 mm, and the difference was statistically significant (<i>P</i> = .001). The values of the MR-L, DR-L were 2.71 ± 0.78 mm and 3.09 ± 0.73 mm, and the difference was also statistically significant (<i>P</i> < .001). The mean distance of RF-I was 15.68 ± 2.13 mm, and the MRA-I was 7.06 ± 2.22 mm, which was greater than that of DRA-I (6.48 ± 2.30 mm, <i>P</i> < .001). The IRB at 2 mm, 4 mm apical from the furcation fornix, and at apex level was 2.81 ± 0.50 mm, 3.30 ± 0.62 mm, and 4.44 ± 1.02 mm, respectively.</p><p><strong>Conclusion: </strong>There is relatively sufficient bone mass in interradicular bone in height, but an adequate width is lacking for the bone between the mesial and distal root after the extraction of the MFM for immediate implantation. The thickness of the MFM buccal bone is relative thin, especially for the mesial root.</p>","PeriodicalId":51291,"journal":{"name":"Journal of Advanced Prosthodontics","volume":"16 4","pages":"212-220"},"PeriodicalIF":2.5000,"publicationDate":"2024-08-01","publicationTypes":"Journal Article","fieldsOfStudy":null,"isOpenAccess":false,"openAccessPdf":"https://www.ncbi.nlm.nih.gov/pmc/articles/PMC11361819/pdf/","citationCount":"0","resultStr":null,"platform":"Semanticscholar","paperid":null,"PeriodicalName":"Journal of Advanced Prosthodontics","FirstCategoryId":"3","ListUrlMain":"https://doi.org/10.4047/jap.2024.16.4.212","RegionNum":3,"RegionCategory":"医学","ArticlePicture":[],"TitleCN":null,"AbstractTextCN":null,"PMCID":null,"EPubDate":"2024/8/20 0:00:00","PubModel":"Epub","JCR":"Q1","JCRName":"DENTISTRY, ORAL SURGERY & MEDICINE","Score":null,"Total":0}
引用次数: 0

Abstract

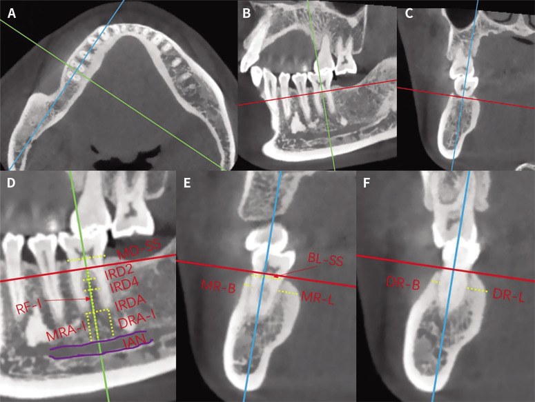
Purpose: This cone-beam computed tomography (CBCT) study aimed to analyze the anatomical characteristics of alveolar bone at mandibular first molar (MFM) and their implications for immediate implant placement surgery.

Materials and methods: 100 patients with 140 MFMs were reviewed retrospectively. We first performed a 3D reconstruction of the patient's CBCT data to determine a reference plane with ideal implant placement and orientation. The following parameters of MFM region were analyzed: mesial-distal socket size (MD-SS), buccal-lingual socket size (BL-SS), root furcation fornix to inferior alveolar nerve (IAN) distance (RF-I), interradicular bone thickness (IRB), mesial/distal root apex to the IAN distance (MRA-I/DRA-I), thickness of the buccal/lingual bone of the mesial root (MR-B/MR-L), thickness of the buccal/lingual bone of the distal root (DR-B/DR-L).

Results: The MD-SS of MFM was 8.74 ± 0.76 mm, and the BL-SS was 8.26 ± 0.72 mm. The MR-B, DR-B was 1.01 ± 0.40 mm and 1.14 ± 0.50 mm, and the difference was statistically significant (P = .001). The values of the MR-L, DR-L were 2.71 ± 0.78 mm and 3.09 ± 0.73 mm, and the difference was also statistically significant (P < .001). The mean distance of RF-I was 15.68 ± 2.13 mm, and the MRA-I was 7.06 ± 2.22 mm, which was greater than that of DRA-I (6.48 ± 2.30 mm, P < .001). The IRB at 2 mm, 4 mm apical from the furcation fornix, and at apex level was 2.81 ± 0.50 mm, 3.30 ± 0.62 mm, and 4.44 ± 1.02 mm, respectively.

Conclusion: There is relatively sufficient bone mass in interradicular bone in height, but an adequate width is lacking for the bone between the mesial and distal root after the extraction of the MFM for immediate implantation. The thickness of the MFM buccal bone is relative thin, especially for the mesial root.

Abstract Image

Abstract Image

Abstract Image

以修复为导向的下颌第一磨牙牙槽骨解剖分析及其对即刻种植手术的影响:一项 CBCT 研究。
目的:这项锥束计算机断层扫描(CBCT)研究旨在分析下颌第一磨牙(MFM)牙槽骨的解剖特征及其对即刻种植手术的影响。我们首先对患者的 CBCT 数据进行了三维重建,以确定理想种植体植入位置和方向的参考平面。我们分析了 MFM 区域的以下参数:中侧-远侧窝洞大小(MD-SS)、颊侧-舌侧窝洞大小(BL-SS)、牙根窝沟穹窿到下牙槽神经(IAN)的距离(RF-I)、关节间骨厚度(IRB)、中/远牙根顶到 IAN 的距离 (MRA-I/DRA-I)、中牙根的颊/舌骨厚度 (MR-B/MR-L)、远牙根的颊/舌骨厚度 (DR-B/DR-L)。结果MFM 的 MD-SS 为 8.74 ± 0.76 mm,BL-SS 为 8.26 ± 0.72 mm。MR-B、DR-B 分别为 1.01 ± 0.40 mm 和 1.14 ± 0.50 mm,差异有统计学意义(P = .001)。MR-L、DR-L 的值分别为 2.71 ± 0.78 mm 和 3.09 ± 0.73 mm,差异也有统计学意义(P < .001)。RF-I 的平均距离为 15.68 ± 2.13 mm,MRA-I 为 7.06 ± 2.22 mm,大于 DRA-I 的平均距离(6.48 ± 2.30 mm,P < .001)。在距窝沟穹窿顶端 2 mm、4 mm 和顶端水平的 IRB 分别为 2.81 ± 0.50 mm、3.30 ± 0.62 mm 和 4.44 ± 1.02 mm:拔除 MFM 即刻种植体后,在高度上有相对充足的关节间骨量,但在中侧根和远侧根之间缺乏足够的骨宽度。中频磨牙颊骨的厚度相对较薄,尤其是中侧根。
本文章由计算机程序翻译,如有差异,请以英文原文为准。
求助全文
约1分钟内获得全文 求助全文
来源期刊
Journal of Advanced Prosthodontics
Journal of Advanced Prosthodontics DENTISTRY, ORAL SURGERY & MEDICINE-
CiteScore
4.70
自引率
3.80%
发文量
25
期刊介绍: This journal aims to convey scientific and clinical progress in the field of prosthodontics and its related areas to many dental communities concerned with esthetic and functional restorations, occlusion, implants, prostheses, and biomaterials related to prosthodontics. This journal publishes • Original research data of high scientific merit in the field of diagnosis, function, esthetics and stomatognathic physiology related to prosthodontic rehabilitation, physiology and mechanics of occlusion, mechanical and biologic aspects of prosthodontic materials including dental implants. • Review articles by experts on controversies and new developments in prosthodontics. • Case reports if they provide or document new fundamental knowledge.
×
引用
GB/T 7714-2015
复制
MLA
复制
APA
复制
导出至
BibTeX EndNote RefMan NoteFirst NoteExpress
×
提示
您的信息不完整,为了账户安全,请先补充。
现在去补充
×
提示
您因"违规操作"
具体请查看互助需知
我知道了
×
提示
确定
请完成安全验证×
copy
已复制链接
快去分享给好友吧!
我知道了
右上角分享
点击右上角分享
0
联系我们:info@booksci.cn Book学术提供免费学术资源搜索服务,方便国内外学者检索中英文文献。致力于提供最便捷和优质的服务体验。 Copyright © 2023 布克学术 All rights reserved.
京ICP备2023020795号-1
ghs 京公网安备 11010802042870号
Book学术文献互助
Book学术文献互助群
群 号:604180095
Book学术官方微信