Melanocytic cutaneous lesions in Sus ibericus, are these a cause for meat condemnation?

IF 0.8 4区 农林科学 Q3 VETERINARY SCIENCES
Veterinarni Medicina Pub Date : 2024-07-31 eCollection Date: 2024-07-01 DOI:10.17221/5/2024-VETMED
Jose Castanho, Jose Catarino, Laurentina Pedroso, Antonieta Alvarado, Sonia Ramos
{"title":"Melanocytic cutaneous lesions in <i>Sus ibericus</i>, are these a cause for meat condemnation?","authors":"Jose Castanho, Jose Catarino, Laurentina Pedroso, Antonieta Alvarado, Sonia Ramos","doi":"10.17221/5/2024-VETMED","DOIUrl":null,"url":null,"abstract":"<p><p>The Alentejano pig (<i>Sus ibericus</i>) is an autochthonous breed of swine from Portugal phylogenetically close to the Iberian breed that is known to develop melanocytic lesions. In this study, 34 melanocytic skin lesions were identified and collected from Alentejano pigs slaughtered for human consumption for further routine histologic assessment. The samples were classified into 4 age ranges: 1 (1 to 6 months), 2 (7 to 12 months) 3 (13 to 24 months), and 4 (more than 25 months). All the lesions were considered benign after the histopathological assessment, of which 52.9% and 47.1%, were classified as melanosis and melanocytomas, respectively. Regarding the age ranges, a statistical difference between the groups was observed, indicating that the probability of melanosis presentation was higher at the age range 4 and for melanocytomas at the age range 3. While no malignant lesions were observed in this study, it was concluded that benign melanocytic lesions are commonly found in Alentejano pig carcasses. Further research is necessary to accurately distinguish between malignant and benign lesions, which is crucial for official veterinarians to make decisions regarding meat approval or condemnation.</p>","PeriodicalId":23532,"journal":{"name":"Veterinarni Medicina","volume":"69 7","pages":"254-259"},"PeriodicalIF":0.8000,"publicationDate":"2024-07-31","publicationTypes":"Journal Article","fieldsOfStudy":null,"isOpenAccess":false,"openAccessPdf":"https://www.ncbi.nlm.nih.gov/pmc/articles/PMC11359977/pdf/","citationCount":"0","resultStr":null,"platform":"Semanticscholar","paperid":null,"PeriodicalName":"Veterinarni Medicina","FirstCategoryId":"97","ListUrlMain":"https://doi.org/10.17221/5/2024-VETMED","RegionNum":4,"RegionCategory":"农林科学","ArticlePicture":[],"TitleCN":null,"AbstractTextCN":null,"PMCID":null,"EPubDate":"2024/7/1 0:00:00","PubModel":"eCollection","JCR":"Q3","JCRName":"VETERINARY SCIENCES","Score":null,"Total":0}
引用次数: 0

Abstract

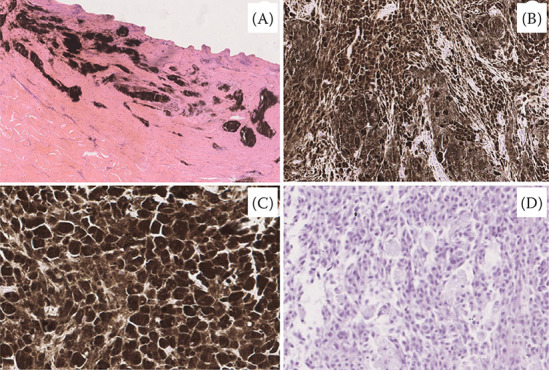
The Alentejano pig (Sus ibericus) is an autochthonous breed of swine from Portugal phylogenetically close to the Iberian breed that is known to develop melanocytic lesions. In this study, 34 melanocytic skin lesions were identified and collected from Alentejano pigs slaughtered for human consumption for further routine histologic assessment. The samples were classified into 4 age ranges: 1 (1 to 6 months), 2 (7 to 12 months) 3 (13 to 24 months), and 4 (more than 25 months). All the lesions were considered benign after the histopathological assessment, of which 52.9% and 47.1%, were classified as melanosis and melanocytomas, respectively. Regarding the age ranges, a statistical difference between the groups was observed, indicating that the probability of melanosis presentation was higher at the age range 4 and for melanocytomas at the age range 3. While no malignant lesions were observed in this study, it was concluded that benign melanocytic lesions are commonly found in Alentejano pig carcasses. Further research is necessary to accurately distinguish between malignant and benign lesions, which is crucial for official veterinarians to make decisions regarding meat approval or condemnation.

Abstract Image

Abstract Image

Abstract Image

红腹角雉的黑色素细胞皮肤病变,这些病变是否是肉类禁食的原因?
阿连特哈诺猪(Sus ibericus)是葡萄牙的一个自生猪种,在系统发育上与伊比利亚猪种接近,已知会出现黑色素细胞病变。本研究从屠宰供人食用的阿连特哈诺猪身上采集了 34 个黑色素细胞皮肤病变样本,并对其进行了进一步的常规组织学评估。样本分为 4 个年龄段:1(1 至 6 个月)、2(7 至 12 个月)、3(13 至 24 个月)和 4(25 个月以上)。经过组织病理学评估,所有病变均被认为是良性的,其中 52.9% 和 47.1% 分别被归类为黑色素沉着病和黑色素细胞瘤。就年龄范围而言,各组之间存在统计学差异,这表明黑色素沉着症出现在 4 岁年龄段的概率较高,而黑色素细胞瘤出现在 3 岁年龄段的概率较高。虽然本研究未观察到恶性病变,但结论是阿连特哈诺猪尸体中常见良性黑色素细胞病变。有必要开展进一步研究,以准确区分恶性和良性病变,这对官方兽医做出肉类批准或谴责的决定至关重要。
本文章由计算机程序翻译,如有差异,请以英文原文为准。
求助全文
约1分钟内获得全文 求助全文
来源期刊
Veterinarni Medicina
Veterinarni Medicina Veterinary Sciences-兽医学
CiteScore
1.30
自引率
0.00%
发文量
62
审稿时长
18-36 weeks
期刊介绍: The journal Veterinarni Medicina publishes in English original papers, short communications, critical reviews and case reports from all fields of veterinary and biomedical sciences.
×
引用
GB/T 7714-2015
复制
MLA
复制
APA
复制
导出至
BibTeX EndNote RefMan NoteFirst NoteExpress
×
提示
您的信息不完整,为了账户安全,请先补充。
现在去补充
×
提示
您因"违规操作"
具体请查看互助需知
我知道了
×
提示
确定
请完成安全验证×
copy
已复制链接
快去分享给好友吧!
我知道了
右上角分享
点击右上角分享
0
联系我们:info@booksci.cn Book学术提供免费学术资源搜索服务,方便国内外学者检索中英文文献。致力于提供最便捷和优质的服务体验。 Copyright © 2023 布克学术 All rights reserved.
京ICP备2023020795号-1
ghs 京公网安备 11010802042870号
Book学术文献互助
Book学术文献互助群
群 号:604180095
Book学术官方微信