Subunit-Specific Developmental Roles of PI3K in SF1-Expressing Cells.

IF 4.2 3区 医学 Q2 ENDOCRINOLOGY & METABOLISM
Endocrinology and Metabolism Pub Date : 2024-10-01 Epub Date: 2024-08-30 DOI:10.3803/EnM.2024.1999
My Khanh Q Huynh, Sang Hee Lyoo, Dong Joo Yang, Yun-Hee Choi, Ki Woo Kim
{"title":"Subunit-Specific Developmental Roles of PI3K in SF1-Expressing Cells.","authors":"My Khanh Q Huynh, Sang Hee Lyoo, Dong Joo Yang, Yun-Hee Choi, Ki Woo Kim","doi":"10.3803/EnM.2024.1999","DOIUrl":null,"url":null,"abstract":"<p><strong>Backgruound: </strong>Phosphatidylinositol 3-kinase (PI3K) regulates cellular development and energy homeostasis. However, the roles of its subunits in organ development remain largely unknown.</p><p><strong>Methods: </strong>We explored the roles of PI3K catalytic subunits in steroidogenic factor 1 (SF1)-expressing cells through knockout (KO) of the p110α and p110β subunits.</p><p><strong>Results: </strong>We examined mice with a double KO of p110α and p110β in SF1-expressing cells (p110αβ KOSF1). Although these animals exhibited no significant changes in the development of the ventromedial hypothalamus, we noted pronounced hypotrophy in the adrenal cortex, testis, and ovary. Additionally, corticosterone and aldosterone levels were significantly reduced. The absence of these subunits also resulted in decreased body weight and survival rate, along with impaired glucose homeostasis, in p110αβ KOSF1 mice.</p><p><strong>Conclusion: </strong>The data demonstrate the specific roles of PI3K catalytic subunits in the development and function of SF1-expressing organs.</p>","PeriodicalId":11636,"journal":{"name":"Endocrinology and Metabolism","volume":" ","pages":"793-802"},"PeriodicalIF":4.2000,"publicationDate":"2024-10-01","publicationTypes":"Journal Article","fieldsOfStudy":null,"isOpenAccess":false,"openAccessPdf":"https://www.ncbi.nlm.nih.gov/pmc/articles/PMC11525698/pdf/","citationCount":"0","resultStr":null,"platform":"Semanticscholar","paperid":null,"PeriodicalName":"Endocrinology and Metabolism","FirstCategoryId":"3","ListUrlMain":"https://doi.org/10.3803/EnM.2024.1999","RegionNum":3,"RegionCategory":"医学","ArticlePicture":[],"TitleCN":null,"AbstractTextCN":null,"PMCID":null,"EPubDate":"2024/8/30 0:00:00","PubModel":"Epub","JCR":"Q2","JCRName":"ENDOCRINOLOGY & METABOLISM","Score":null,"Total":0}
引用次数: 0

Abstract

Backgruound: Phosphatidylinositol 3-kinase (PI3K) regulates cellular development and energy homeostasis. However, the roles of its subunits in organ development remain largely unknown.

Methods: We explored the roles of PI3K catalytic subunits in steroidogenic factor 1 (SF1)-expressing cells through knockout (KO) of the p110α and p110β subunits.

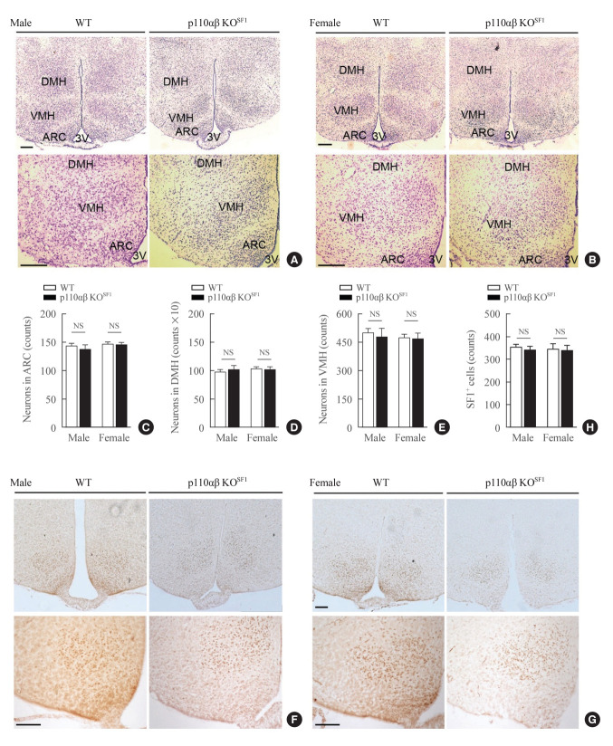
Results: We examined mice with a double KO of p110α and p110β in SF1-expressing cells (p110αβ KOSF1). Although these animals exhibited no significant changes in the development of the ventromedial hypothalamus, we noted pronounced hypotrophy in the adrenal cortex, testis, and ovary. Additionally, corticosterone and aldosterone levels were significantly reduced. The absence of these subunits also resulted in decreased body weight and survival rate, along with impaired glucose homeostasis, in p110αβ KOSF1 mice.

Conclusion: The data demonstrate the specific roles of PI3K catalytic subunits in the development and function of SF1-expressing organs.

Abstract Image

Abstract Image

Abstract Image

PI3K亚基在SF1表达细胞中的特异性发育作用
背景:磷脂酰肌醇 3- 激酶(PI3K)调节细胞发育和能量平衡。然而,其亚基在器官发育中的作用在很大程度上仍然未知:方法:我们通过敲除(KO)p110α和p110β亚基,探索了PI3K催化亚基在类固醇生成因子1(SF1)表达细胞中的作用:我们研究了SF1表达细胞中p110α和p110β双KO的小鼠(p110αβ KOSF1)。虽然这些动物的腹内侧下丘脑发育没有明显变化,但我们注意到肾上腺皮质、睾丸和卵巢明显萎缩。此外,皮质酮和醛固酮水平也显著降低。p110αβ KOSF1小鼠缺乏这些亚基也会导致体重和存活率下降,葡萄糖稳态受损:结论:这些数据证明了 PI3K 催化亚基在 SF1 表达器官的发育和功能中的特殊作用。
本文章由计算机程序翻译,如有差异,请以英文原文为准。
求助全文
约1分钟内获得全文 求助全文
来源期刊
Endocrinology and Metabolism
Endocrinology and Metabolism Medicine-Endocrinology, Diabetes and Metabolism
CiteScore
6.60
自引率
5.90%
发文量
145
审稿时长
24 weeks
期刊介绍: The aim of this journal is to set high standards of medical care by providing a forum for discussion for basic, clinical, and translational researchers and clinicians on new findings in the fields of endocrinology and metabolism. Endocrinology and Metabolism reports new findings and developments in all aspects of endocrinology and metabolism. The topics covered by this journal include bone and mineral metabolism, cytokines, developmental endocrinology, diagnostic endocrinology, endocrine research, dyslipidemia, endocrine regulation, genetic endocrinology, growth factors, hormone receptors, hormone action and regulation, management of endocrine diseases, clinical trials, epidemiology, molecular endocrinology, neuroendocrinology, neuropeptides, neurotransmitters, obesity, pediatric endocrinology, reproductive endocrinology, signal transduction, the anatomy and physiology of endocrine organs (i.e., the pituitary, thyroid, parathyroid, and adrenal glands, and the gonads), and endocrine diseases (diabetes, nutrition, osteoporosis, etc.).
×
引用
GB/T 7714-2015
复制
MLA
复制
APA
复制
导出至
BibTeX EndNote RefMan NoteFirst NoteExpress
×
提示
您的信息不完整,为了账户安全,请先补充。
现在去补充
×
提示
您因"违规操作"
具体请查看互助需知
我知道了
×
提示
确定
请完成安全验证×
copy
已复制链接
快去分享给好友吧!
我知道了
右上角分享
点击右上角分享
0
联系我们:info@booksci.cn Book学术提供免费学术资源搜索服务,方便国内外学者检索中英文文献。致力于提供最便捷和优质的服务体验。 Copyright © 2023 布克学术 All rights reserved.
京ICP备2023020795号-1
ghs 京公网安备 11010802042870号
Book学术文献互助
Book学术文献互助群
群 号:604180095
Book学术官方微信