Hemorrhagic Shock Caused by Spontaneous Bleeding from Early Gastric Cancer Was Successfully Cured by Emergency Endoscopic Submucosal Dissection: A Case Report.

IF 0.6 Q3 MEDICINE, GENERAL & INTERNAL
Clinical Medicine Insights. Case Reports Pub Date : 2024-08-27 eCollection Date: 2024-01-01 DOI:10.1177/11795476241271552
PengFei Wang, Hui Zhang, ShaoCe Xu, YanNing Zhang, HuiMing Ma, Jie Feng, Xiang Wang, DeKui Zhang
{"title":"Hemorrhagic Shock Caused by Spontaneous Bleeding from Early Gastric Cancer Was Successfully Cured by Emergency Endoscopic Submucosal Dissection: A Case Report.","authors":"PengFei Wang, Hui Zhang, ShaoCe Xu, YanNing Zhang, HuiMing Ma, Jie Feng, Xiang Wang, DeKui Zhang","doi":"10.1177/11795476241271552","DOIUrl":null,"url":null,"abstract":"<p><p>Cases and studies of protruding early gastric cancer (EGC) combined with spontaneous bleeding are relatively rare. The current study present a female patient aged 70 to 75 years old with hemorrhagic shock caused by spontaneous bleeding from EGC type 0-Isp, which was successfully cured by rapid emergency endoscopic submucosal dissection (ESD).</p>","PeriodicalId":10357,"journal":{"name":"Clinical Medicine Insights. Case Reports","volume":"17 ","pages":"11795476241271552"},"PeriodicalIF":0.6000,"publicationDate":"2024-08-27","publicationTypes":"Journal Article","fieldsOfStudy":null,"isOpenAccess":false,"openAccessPdf":"https://www.ncbi.nlm.nih.gov/pmc/articles/PMC11350541/pdf/","citationCount":"0","resultStr":null,"platform":"Semanticscholar","paperid":null,"PeriodicalName":"Clinical Medicine Insights. Case Reports","FirstCategoryId":"1085","ListUrlMain":"https://doi.org/10.1177/11795476241271552","RegionNum":0,"RegionCategory":null,"ArticlePicture":[],"TitleCN":null,"AbstractTextCN":null,"PMCID":null,"EPubDate":"2024/1/1 0:00:00","PubModel":"eCollection","JCR":"Q3","JCRName":"MEDICINE, GENERAL & INTERNAL","Score":null,"Total":0}
引用次数: 0

Abstract

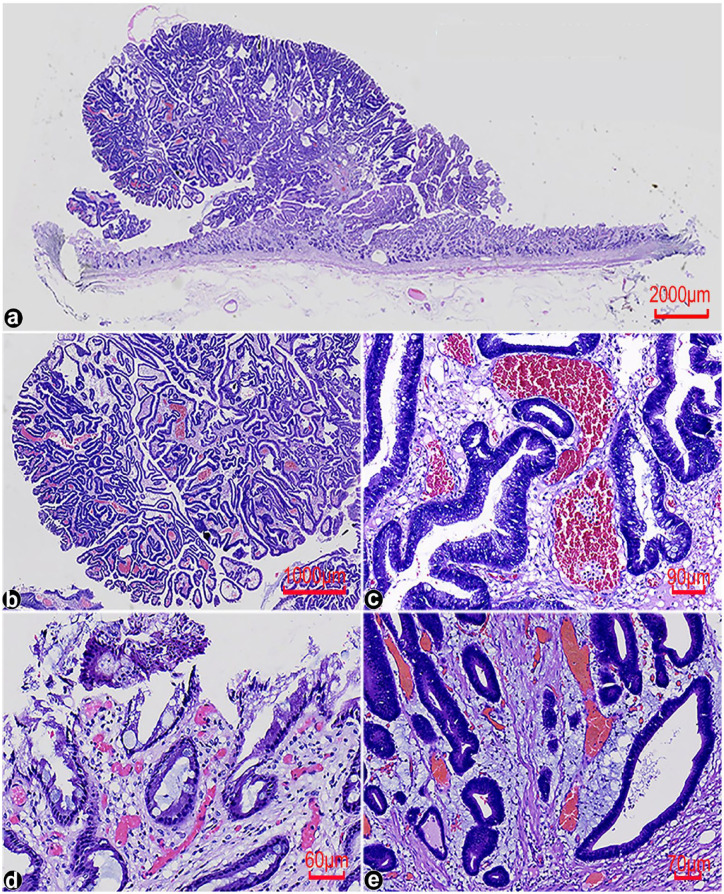
Cases and studies of protruding early gastric cancer (EGC) combined with spontaneous bleeding are relatively rare. The current study present a female patient aged 70 to 75 years old with hemorrhagic shock caused by spontaneous bleeding from EGC type 0-Isp, which was successfully cured by rapid emergency endoscopic submucosal dissection (ESD).

Abstract Image

Abstract Image

Abstract Image

紧急内镜黏膜下剥离术成功治愈早期胃癌自发性出血引起的失血性休克:病例报告。
突出型早期胃癌(EGC)合并自发性出血的病例和研究相对罕见。本研究介绍了一名 70 至 75 岁的女性患者,她因 0-Isp 型 EGC 自发性出血而导致失血性休克,经快速急诊内镜黏膜下剥离术(ESD)成功治愈。
本文章由计算机程序翻译,如有差异,请以英文原文为准。
求助全文
约1分钟内获得全文 求助全文
来源期刊
Clinical Medicine Insights. Case Reports
Clinical Medicine Insights. Case Reports MEDICINE, GENERAL & INTERNAL-
CiteScore
1.10
自引率
0.00%
发文量
57
审稿时长
8 weeks
×
引用
GB/T 7714-2015
复制
MLA
复制
APA
复制
导出至
BibTeX EndNote RefMan NoteFirst NoteExpress
×
提示
您的信息不完整,为了账户安全,请先补充。
现在去补充
×
提示
您因"违规操作"
具体请查看互助需知
我知道了
×
提示
确定
请完成安全验证×
copy
已复制链接
快去分享给好友吧!
我知道了
右上角分享
点击右上角分享
0
联系我们:info@booksci.cn Book学术提供免费学术资源搜索服务,方便国内外学者检索中英文文献。致力于提供最便捷和优质的服务体验。 Copyright © 2023 布克学术 All rights reserved.
京ICP备2023020795号-1
ghs 京公网安备 11010802042870号
Book学术文献互助
Book学术文献互助群
群 号:604180095
Book学术官方微信