A Confused Case Diagnosed as Cerebral Infarction or Myelin Oligodendrocyte Glycoprotein Antibody-Associated Disease.

IF 0.9 Q4 CLINICAL NEUROLOGY
Case Reports in Neurological Medicine Pub Date : 2024-08-23 eCollection Date: 2024-01-01 DOI:10.1155/2024/9941341
Yanan Ding, Li Zhang, Anqi Huang, Xianyue Meng, Xueli Li
{"title":"A Confused Case Diagnosed as Cerebral Infarction or Myelin Oligodendrocyte Glycoprotein Antibody-Associated Disease.","authors":"Yanan Ding, Li Zhang, Anqi Huang, Xianyue Meng, Xueli Li","doi":"10.1155/2024/9941341","DOIUrl":null,"url":null,"abstract":"<p><p>In order to discuss the clinical and MRI features, diagnosis, and prevention of myelin oligodendrocyte glycoprotein antibody-associated disease (MOGAD), we reported an adult case of MOG antibody-related disease misdiagnosed as cerebral infarction. This patient's first clinical symptom was limb weakness, that different from previous reports of MOG antibody-related diseases, such as brainstem encephalitis, neuromyelitis optical, and transverse myelitis. The main treatment plan is high-dose corticosteroid therapy combined with immunoglobulin therapy. This case indicated that some MOGAD patients lack of specificity in the clinical manifestations and imaging perhaps would be misdiagnosed as cerebral infarction, encephalitis, immune peripheral neuropathy, MS, NMOSD, and other diseases. For patients with atypical clinical manifestations or imaging, it is especially important to take antibody detection as early as possible to make correct diagnosis and active treatment in time to avoid disability.</p>","PeriodicalId":9615,"journal":{"name":"Case Reports in Neurological Medicine","volume":"2024 ","pages":"9941341"},"PeriodicalIF":0.9000,"publicationDate":"2024-08-23","publicationTypes":"Journal Article","fieldsOfStudy":null,"isOpenAccess":false,"openAccessPdf":"https://www.ncbi.nlm.nih.gov/pmc/articles/PMC11364470/pdf/","citationCount":"0","resultStr":null,"platform":"Semanticscholar","paperid":null,"PeriodicalName":"Case Reports in Neurological Medicine","FirstCategoryId":"1085","ListUrlMain":"https://doi.org/10.1155/2024/9941341","RegionNum":0,"RegionCategory":null,"ArticlePicture":[],"TitleCN":null,"AbstractTextCN":null,"PMCID":null,"EPubDate":"2024/1/1 0:00:00","PubModel":"eCollection","JCR":"Q4","JCRName":"CLINICAL NEUROLOGY","Score":null,"Total":0}
引用次数: 0

Abstract

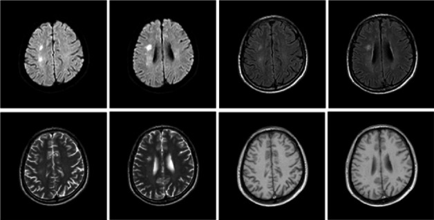
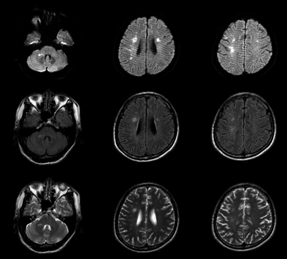
In order to discuss the clinical and MRI features, diagnosis, and prevention of myelin oligodendrocyte glycoprotein antibody-associated disease (MOGAD), we reported an adult case of MOG antibody-related disease misdiagnosed as cerebral infarction. This patient's first clinical symptom was limb weakness, that different from previous reports of MOG antibody-related diseases, such as brainstem encephalitis, neuromyelitis optical, and transverse myelitis. The main treatment plan is high-dose corticosteroid therapy combined with immunoglobulin therapy. This case indicated that some MOGAD patients lack of specificity in the clinical manifestations and imaging perhaps would be misdiagnosed as cerebral infarction, encephalitis, immune peripheral neuropathy, MS, NMOSD, and other diseases. For patients with atypical clinical manifestations or imaging, it is especially important to take antibody detection as early as possible to make correct diagnosis and active treatment in time to avoid disability.

Abstract Image

Abstract Image

Abstract Image

一个被诊断为脑梗塞或髓鞘寡突胶质细胞蛋白抗体相关疾病的疑难病例。
为了探讨髓鞘少突胶质细胞糖蛋白抗体相关疾病(MOGAD)的临床和磁共振成像特征、诊断和预防,我们报道了一例被误诊为脑梗塞的成人MOG抗体相关疾病。该患者的首发临床症状是四肢无力,这与之前报道的脑干脑炎、光学神经脊髓炎和横贯性脊髓炎等 MOG 抗体相关疾病不同。主要治疗方案是大剂量皮质类固醇治疗联合免疫球蛋白治疗。该病例表明,部分 MOGAD 患者的临床表现和影像学表现缺乏特异性,可能会被误诊为脑梗塞、脑炎、免疫性周围神经病、多发性硬化症、NMOSD 等疾病。对于临床表现或影像学表现不典型的患者,尽早进行抗体检测,及时做出正确诊断和积极治疗,避免致残尤为重要。
本文章由计算机程序翻译,如有差异,请以英文原文为准。
求助全文
约1分钟内获得全文 求助全文
来源期刊
自引率
0.00%
发文量
26
审稿时长
11 weeks
×
引用
GB/T 7714-2015
复制
MLA
复制
APA
复制
导出至
BibTeX EndNote RefMan NoteFirst NoteExpress
×
提示
您的信息不完整,为了账户安全,请先补充。
现在去补充
×
提示
您因"违规操作"
具体请查看互助需知
我知道了
×
提示
确定
请完成安全验证×
copy
已复制链接
快去分享给好友吧!
我知道了
右上角分享
点击右上角分享
0
联系我们:info@booksci.cn Book学术提供免费学术资源搜索服务,方便国内外学者检索中英文文献。致力于提供最便捷和优质的服务体验。 Copyright © 2023 布克学术 All rights reserved.
京ICP备2023020795号-1
ghs 京公网安备 11010802042870号
Book学术文献互助
Book学术文献互助群
群 号:604180095
Book学术官方微信