Epithelioid Hemangioendothelioma as a Dangerous, Easy to Miss, and Nearly Impossible to Clinically Diagnose Condition: Case Report.

Q3 Medicine
JMIR dermatology Pub Date : 2024-08-28 DOI:10.2196/52493
Kayd Pulsipher, Samantha Mills, Blair Harris, Rene Bermudez, Muammar Arida, Jonathan Crane
{"title":"Epithelioid Hemangioendothelioma as a Dangerous, Easy to Miss, and Nearly Impossible to Clinically Diagnose Condition: Case Report.","authors":"Kayd Pulsipher, Samantha Mills, Blair Harris, Rene Bermudez, Muammar Arida, Jonathan Crane","doi":"10.2196/52493","DOIUrl":null,"url":null,"abstract":"<p><p>Epithelioid hemangioendothelioma (EHE) is a rare vascular tumor with metastatic potential. EHE can have single- or multiorgan involvement, with presentations ranging from asymptomatic disease to pain and systemic symptoms. The extremely heterogeneous clinical presentation and disease progression complicates EHE diagnosis and management. We present the case of a 24-year-old woman with two periauricular erythematous papules, leading to the discovery of metastatic EHE through routine biopsy, despite a noncontributory medical history. Histology revealed the dermal proliferation of epithelioid cells and vacuoles containing red blood cells. Immunohistochemistry markers consistent with EHE solidified the diagnosis. Although extremely rare, prompt diagnosis of EHE is essential for informed decision-making and favorable outcomes. Key clinical and histopathological findings are highlighted to aid dermatologists in diagnosing and managing this uncommon condition.</p>","PeriodicalId":73553,"journal":{"name":"JMIR dermatology","volume":"7 ","pages":"e52493"},"PeriodicalIF":0.0000,"publicationDate":"2024-08-28","publicationTypes":"Journal Article","fieldsOfStudy":null,"isOpenAccess":false,"openAccessPdf":"https://www.ncbi.nlm.nih.gov/pmc/articles/PMC11391149/pdf/","citationCount":"0","resultStr":null,"platform":"Semanticscholar","paperid":null,"PeriodicalName":"JMIR dermatology","FirstCategoryId":"1085","ListUrlMain":"https://doi.org/10.2196/52493","RegionNum":0,"RegionCategory":null,"ArticlePicture":[],"TitleCN":null,"AbstractTextCN":null,"PMCID":null,"EPubDate":"","PubModel":"","JCR":"Q3","JCRName":"Medicine","Score":null,"Total":0}
引用次数: 0

Abstract

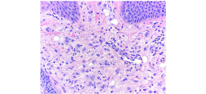
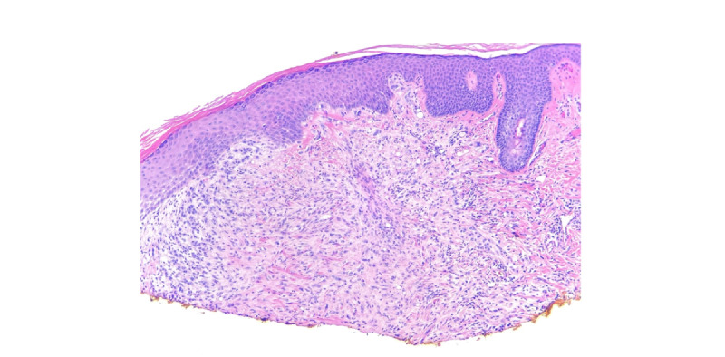
Epithelioid hemangioendothelioma (EHE) is a rare vascular tumor with metastatic potential. EHE can have single- or multiorgan involvement, with presentations ranging from asymptomatic disease to pain and systemic symptoms. The extremely heterogeneous clinical presentation and disease progression complicates EHE diagnosis and management. We present the case of a 24-year-old woman with two periauricular erythematous papules, leading to the discovery of metastatic EHE through routine biopsy, despite a noncontributory medical history. Histology revealed the dermal proliferation of epithelioid cells and vacuoles containing red blood cells. Immunohistochemistry markers consistent with EHE solidified the diagnosis. Although extremely rare, prompt diagnosis of EHE is essential for informed decision-making and favorable outcomes. Key clinical and histopathological findings are highlighted to aid dermatologists in diagnosing and managing this uncommon condition.

Abstract Image

Abstract Image

Abstract Image

上皮样血管内皮瘤是一种危险、易漏诊且几乎无法临床诊断的疾病:病例报告。
上皮样血管内皮瘤(EHE)是一种罕见的血管肿瘤,具有转移潜力。EHE可累及单个或多个器官,表现为无症状、疼痛和全身症状。临床表现和疾病进展的异质性极高,使 EHE 的诊断和治疗变得复杂。我们介绍了一例 24 岁女性的病例,她有两个耳周红斑丘疹,尽管病史不详,但通过常规活检发现了转移性 EHE。组织学检查发现真皮层增生的上皮样细胞和含有红细胞的空泡。与 EHE 一致的免疫组化标记物明确了诊断。尽管 EHE 极其罕见,但及时诊断对于做出明智决策和取得良好疗效至关重要。本文强调了关键的临床和组织病理学发现,以帮助皮肤科医生诊断和处理这种不常见的疾病。
本文章由计算机程序翻译,如有差异,请以英文原文为准。
求助全文
约1分钟内获得全文 求助全文
来源期刊
CiteScore
1.20
自引率
0.00%
发文量
0
审稿时长
18 weeks
×
引用
GB/T 7714-2015
复制
MLA
复制
APA
复制
导出至
BibTeX EndNote RefMan NoteFirst NoteExpress
×
提示
您的信息不完整,为了账户安全,请先补充。
现在去补充
×
提示
您因"违规操作"
具体请查看互助需知
我知道了
×
提示
确定
请完成安全验证×
copy
已复制链接
快去分享给好友吧!
我知道了
右上角分享
点击右上角分享
0
联系我们:info@booksci.cn Book学术提供免费学术资源搜索服务,方便国内外学者检索中英文文献。致力于提供最便捷和优质的服务体验。 Copyright © 2023 布克学术 All rights reserved.
京ICP备2023020795号-1
ghs 京公网安备 11010802042870号
Book学术文献互助
Book学术文献互助群
群 号:604180095
Book学术官方微信