Detection of trisomy 9 mosaicism in the second trimester screening by abnormal level of biochemical markers.

IF 1.9 Q2 OBSTETRICS & GYNECOLOGY
Obstetrics and Gynecology Science Pub Date : 2024-09-01 Epub Date: 2024-08-27 DOI:10.5468/ogs.24062
Zohre Salari, Arman Moradi, Mahdiyeh Moudi, Zohre Mousavi
{"title":"Detection of trisomy 9 mosaicism in the second trimester screening by abnormal level of biochemical markers.","authors":"Zohre Salari, Arman Moradi, Mahdiyeh Moudi, Zohre Mousavi","doi":"10.5468/ogs.24062","DOIUrl":null,"url":null,"abstract":"<p><p>Trisomy 9 is a rare chromosomal abnormality that occurs in both mosaic and non-mosaic states. The present study reports a case of mosaic trisomy 9 detected during pregnancy in a 41-year-old woman in the second trimester screening. Maternal serum screening results were used to diagnose a chromosomal abnormality in utero. The results were validated by karyotyping. High levels of alpha-fetoprotein and low levels of unconjugated estriol (uE3), human chorionic gonadotropin (hCG), and inhibin A indicate a high risk for chromosomal abnormalities, including trisomy 18. Amniotic fluid karyotyping revealed 47, XX, +9 (30)/46, XX (20) in the fetus. Because a high level (60%) of mosaicism for trisomy 9 in the fetus can affect many parts of the body, the pregnancy was terminated. It seems that a significant reduction in the levels of hCG and uE3 is an informative marker for the detection of chromosomal abnormalities such as trisomy 9.</p>","PeriodicalId":37602,"journal":{"name":"Obstetrics and Gynecology Science","volume":" ","pages":"506-510"},"PeriodicalIF":1.9000,"publicationDate":"2024-09-01","publicationTypes":"Journal Article","fieldsOfStudy":null,"isOpenAccess":false,"openAccessPdf":"https://www.ncbi.nlm.nih.gov/pmc/articles/PMC11424189/pdf/","citationCount":"0","resultStr":null,"platform":"Semanticscholar","paperid":null,"PeriodicalName":"Obstetrics and Gynecology Science","FirstCategoryId":"1085","ListUrlMain":"https://doi.org/10.5468/ogs.24062","RegionNum":0,"RegionCategory":null,"ArticlePicture":[],"TitleCN":null,"AbstractTextCN":null,"PMCID":null,"EPubDate":"2024/8/27 0:00:00","PubModel":"Epub","JCR":"Q2","JCRName":"OBSTETRICS & GYNECOLOGY","Score":null,"Total":0}
引用次数: 0

Abstract

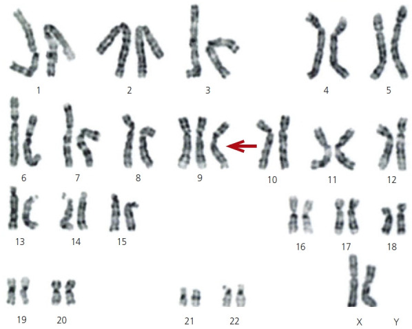
Trisomy 9 is a rare chromosomal abnormality that occurs in both mosaic and non-mosaic states. The present study reports a case of mosaic trisomy 9 detected during pregnancy in a 41-year-old woman in the second trimester screening. Maternal serum screening results were used to diagnose a chromosomal abnormality in utero. The results were validated by karyotyping. High levels of alpha-fetoprotein and low levels of unconjugated estriol (uE3), human chorionic gonadotropin (hCG), and inhibin A indicate a high risk for chromosomal abnormalities, including trisomy 18. Amniotic fluid karyotyping revealed 47, XX, +9 (30)/46, XX (20) in the fetus. Because a high level (60%) of mosaicism for trisomy 9 in the fetus can affect many parts of the body, the pregnancy was terminated. It seems that a significant reduction in the levels of hCG and uE3 is an informative marker for the detection of chromosomal abnormalities such as trisomy 9.

Abstract Image

通过生化标记物的异常水平在第二孕期筛查中发现 9 三体嵌合。
9 三体综合征是一种罕见的染色体异常,有镶嵌和非镶嵌两种状态。本研究报告了一例镶嵌型 9 三体综合征病例,患者为一名 41 岁女性,在妊娠中期筛查中发现。母体血清筛查结果用于诊断宫内染色体异常。结果通过核型分析得到验证。高水平的甲胎蛋白和低水平的非结合雌三醇(uE3)、人绒毛膜促性腺激素(hCG)和抑制素 A 表明染色体异常的风险很高,包括 18 三体综合征。羊水核型检查显示胎儿为 47,XX,+9(30)/46,XX(20)。由于胎儿中 9 三体综合征的嵌合程度很高(60%),可能会影响身体的多个部位,因此孕妇被终止妊娠。hCG 和 uE3 水平的显著降低似乎是检测染色体异常(如 9 三体)的一个信息标记。
本文章由计算机程序翻译,如有差异,请以英文原文为准。
求助全文
约1分钟内获得全文 求助全文
来源期刊
Obstetrics and Gynecology Science
Obstetrics and Gynecology Science Medicine-Obstetrics and Gynecology
CiteScore
3.80
自引率
15.80%
发文量
58
审稿时长
16 weeks
期刊介绍: Obstetrics & Gynecology Science (NLM title: Obstet Gynecol Sci) is an international peer-review journal that published basic, translational, clinical research, and clinical practice guideline to promote women’s health and prevent obstetric and gynecologic disorders. The journal has an international editorial board and is published in English on the 15th day of every other month. Submitted manuscripts should not contain previously published material and should not be under consideration for publication elsewhere. The journal has been publishing articles since 1958. The aim of the journal is to publish original articles, reviews, case reports, short communications, letters to the editor, and video articles that have the potential to change the practices in women''s health care. The journal’s main focus is the diagnosis, treatment, prediction, and prevention of obstetric and gynecologic disorders. Because the life expectancy of Korean and Asian women is increasing, the journal''s editors are particularly interested in the health of elderly women in these population groups. The journal also publishes articles about reproductive biology, stem cell research, and artificial intelligence research for women; additionally, it provides insights into the physiology and mechanisms of obstetric and gynecologic diseases.
×
引用
GB/T 7714-2015
复制
MLA
复制
APA
复制
导出至
BibTeX EndNote RefMan NoteFirst NoteExpress
×
提示
您的信息不完整,为了账户安全,请先补充。
现在去补充
×
提示
您因"违规操作"
具体请查看互助需知
我知道了
×
提示
确定
请完成安全验证×
copy
已复制链接
快去分享给好友吧!
我知道了
右上角分享
点击右上角分享
0
联系我们:info@booksci.cn Book学术提供免费学术资源搜索服务,方便国内外学者检索中英文文献。致力于提供最便捷和优质的服务体验。 Copyright © 2023 布克学术 All rights reserved.
京ICP备2023020795号-1
ghs 京公网安备 11010802042870号
Book学术文献互助
Book学术文献互助群
群 号:604180095
Book学术官方微信