The Effects of Atoh8 on Postnatal Murine Neurogenesis.

IF 1.9 4区 生物学 Q1 ANATOMY & MORPHOLOGY
Cells Tissues Organs Pub Date : 2025-01-01 Epub Date: 2024-08-27 DOI:10.1159/000540440
Dilek Culhalik, Morris Gellisch, Gabriela Morosan-Puopolo, Darius Saberi
{"title":"The Effects of Atoh8 on Postnatal Murine Neurogenesis.","authors":"Dilek Culhalik, Morris Gellisch, Gabriela Morosan-Puopolo, Darius Saberi","doi":"10.1159/000540440","DOIUrl":null,"url":null,"abstract":"<p><strong>Introduction: </strong>Basic helix-loop-helix (bHLH) transcription factors are expressed in various organs and are involved in diverse developmental processes. The mouse atonal homolog 8 (Atoh8), a bHLH transcription factor, plays a crucial role in various developmental processes, especially as a regulator of neurogenesis in the retina. Besides, Atoh8 expression has been observed in the central nervous system. The function of Atoh8 during the postnatal neurogenesis is still unclear.</p><p><strong>Methods: </strong>This study focuses on elucidating the impact of Atoh8 on postnatal neurogenesis in the brain, particularly in selected regions: the subventricular zone (SVZ), rostral migratory stream (RMS), and olfactory bulb (OB), across different life stages, using male homozygous Atoh8-knockout (M6KO) mice. Our morphometric analysis is based on immunohistochemically labeled markers for neuroblasts (doublecortin) and proliferation (phospho-histone H3, PHH3) as well as pan neuronal markers.</p><p><strong>Results: </strong>In Atoh8-/- mice, alteration in the postnatal neurogenesis can be observed. Immunohistochemical analysis revealed a significant reduction in doublecortin-positive neuroblasts within the SVZ of neonatal M6KO mice compared to wild-type mice. Interestingly, no differences in cell number and distribution were observed in the subsequent migration of neuroblasts through the RMS to the OB. Proliferating PHH3-positive neuronal progenitor cells were significantly diminished in the proliferation rate in both the SVZ and RMS of neonatal and young M6KO mice. Furthermore, in the glomerular layer of the OB, significantly fewer neurons were detected in the neonatal stage.</p><p><strong>Conclusion: </strong>In conclusion, Atoh8 emerges as a positive regulator of postnatal neurogenesis in the brain. Its role encompasses the promotion of neuroblast formation, modulation of proliferation rates, differentiation, and maintenance of mature neurons. Understanding the intricacies of Atoh8 function provides valuable insights into the complex regulatory mechanisms governing neurogenesis.</p><p><strong>Introduction: </strong>Basic helix-loop-helix (bHLH) transcription factors are expressed in various organs and are involved in diverse developmental processes. The mouse atonal homolog 8 (Atoh8), a bHLH transcription factor, plays a crucial role in various developmental processes, especially as a regulator of neurogenesis in the retina. Besides, Atoh8 expression has been observed in the central nervous system. The function of Atoh8 during the postnatal neurogenesis is still unclear.</p><p><strong>Methods: </strong>This study focuses on elucidating the impact of Atoh8 on postnatal neurogenesis in the brain, particularly in selected regions: the subventricular zone (SVZ), rostral migratory stream (RMS), and olfactory bulb (OB), across different life stages, using male homozygous Atoh8-knockout (M6KO) mice. Our morphometric analysis is based on immunohistochemically labeled markers for neuroblasts (doublecortin) and proliferation (phospho-histone H3, PHH3) as well as pan neuronal markers.</p><p><strong>Results: </strong>In Atoh8-/- mice, alteration in the postnatal neurogenesis can be observed. Immunohistochemical analysis revealed a significant reduction in doublecortin-positive neuroblasts within the SVZ of neonatal M6KO mice compared to wild-type mice. Interestingly, no differences in cell number and distribution were observed in the subsequent migration of neuroblasts through the RMS to the OB. Proliferating PHH3-positive neuronal progenitor cells were significantly diminished in the proliferation rate in both the SVZ and RMS of neonatal and young M6KO mice. Furthermore, in the glomerular layer of the OB, significantly fewer neurons were detected in the neonatal stage.</p><p><strong>Conclusion: </strong>In conclusion, Atoh8 emerges as a positive regulator of postnatal neurogenesis in the brain. Its role encompasses the promotion of neuroblast formation, modulation of proliferation rates, differentiation, and maintenance of mature neurons. Understanding the intricacies of Atoh8 function provides valuable insights into the complex regulatory mechanisms governing neurogenesis.</p>","PeriodicalId":9717,"journal":{"name":"Cells Tissues Organs","volume":" ","pages":"96-103"},"PeriodicalIF":1.9000,"publicationDate":"2025-01-01","publicationTypes":"Journal Article","fieldsOfStudy":null,"isOpenAccess":false,"openAccessPdf":"https://www.ncbi.nlm.nih.gov/pmc/articles/PMC11965850/pdf/","citationCount":"0","resultStr":null,"platform":"Semanticscholar","paperid":null,"PeriodicalName":"Cells Tissues Organs","FirstCategoryId":"99","ListUrlMain":"https://doi.org/10.1159/000540440","RegionNum":4,"RegionCategory":"生物学","ArticlePicture":[],"TitleCN":null,"AbstractTextCN":null,"PMCID":null,"EPubDate":"2024/8/27 0:00:00","PubModel":"Epub","JCR":"Q1","JCRName":"ANATOMY & MORPHOLOGY","Score":null,"Total":0}
引用次数: 0

Abstract

Introduction: Basic helix-loop-helix (bHLH) transcription factors are expressed in various organs and are involved in diverse developmental processes. The mouse atonal homolog 8 (Atoh8), a bHLH transcription factor, plays a crucial role in various developmental processes, especially as a regulator of neurogenesis in the retina. Besides, Atoh8 expression has been observed in the central nervous system. The function of Atoh8 during the postnatal neurogenesis is still unclear.

Methods: This study focuses on elucidating the impact of Atoh8 on postnatal neurogenesis in the brain, particularly in selected regions: the subventricular zone (SVZ), rostral migratory stream (RMS), and olfactory bulb (OB), across different life stages, using male homozygous Atoh8-knockout (M6KO) mice. Our morphometric analysis is based on immunohistochemically labeled markers for neuroblasts (doublecortin) and proliferation (phospho-histone H3, PHH3) as well as pan neuronal markers.

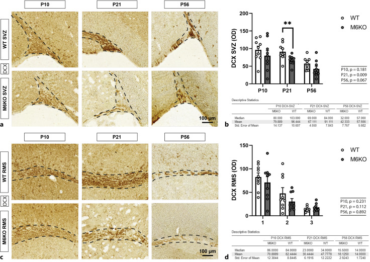
Results: In Atoh8-/- mice, alteration in the postnatal neurogenesis can be observed. Immunohistochemical analysis revealed a significant reduction in doublecortin-positive neuroblasts within the SVZ of neonatal M6KO mice compared to wild-type mice. Interestingly, no differences in cell number and distribution were observed in the subsequent migration of neuroblasts through the RMS to the OB. Proliferating PHH3-positive neuronal progenitor cells were significantly diminished in the proliferation rate in both the SVZ and RMS of neonatal and young M6KO mice. Furthermore, in the glomerular layer of the OB, significantly fewer neurons were detected in the neonatal stage.

Conclusion: In conclusion, Atoh8 emerges as a positive regulator of postnatal neurogenesis in the brain. Its role encompasses the promotion of neuroblast formation, modulation of proliferation rates, differentiation, and maintenance of mature neurons. Understanding the intricacies of Atoh8 function provides valuable insights into the complex regulatory mechanisms governing neurogenesis.

Introduction: Basic helix-loop-helix (bHLH) transcription factors are expressed in various organs and are involved in diverse developmental processes. The mouse atonal homolog 8 (Atoh8), a bHLH transcription factor, plays a crucial role in various developmental processes, especially as a regulator of neurogenesis in the retina. Besides, Atoh8 expression has been observed in the central nervous system. The function of Atoh8 during the postnatal neurogenesis is still unclear.

Methods: This study focuses on elucidating the impact of Atoh8 on postnatal neurogenesis in the brain, particularly in selected regions: the subventricular zone (SVZ), rostral migratory stream (RMS), and olfactory bulb (OB), across different life stages, using male homozygous Atoh8-knockout (M6KO) mice. Our morphometric analysis is based on immunohistochemically labeled markers for neuroblasts (doublecortin) and proliferation (phospho-histone H3, PHH3) as well as pan neuronal markers.

Results: In Atoh8-/- mice, alteration in the postnatal neurogenesis can be observed. Immunohistochemical analysis revealed a significant reduction in doublecortin-positive neuroblasts within the SVZ of neonatal M6KO mice compared to wild-type mice. Interestingly, no differences in cell number and distribution were observed in the subsequent migration of neuroblasts through the RMS to the OB. Proliferating PHH3-positive neuronal progenitor cells were significantly diminished in the proliferation rate in both the SVZ and RMS of neonatal and young M6KO mice. Furthermore, in the glomerular layer of the OB, significantly fewer neurons were detected in the neonatal stage.

Conclusion: In conclusion, Atoh8 emerges as a positive regulator of postnatal neurogenesis in the brain. Its role encompasses the promotion of neuroblast formation, modulation of proliferation rates, differentiation, and maintenance of mature neurons. Understanding the intricacies of Atoh8 function provides valuable insights into the complex regulatory mechanisms governing neurogenesis.

Abstract Image

Abstract Image

Abstract Image

Atoh8对小鼠出生后神经发生的影响
导言 基本螺旋-环-螺旋(bHLH)转录因子在各种器官中都有表达,并参与多种发育过程。小鼠阿通同源物 8(Atoh8)是一种 bHLH 转录因子,在各种发育过程中发挥着重要作用,尤其是视网膜神经发生的调节因子。此外,在中枢神经系统中也观察到 Atoh8 的表达。目前还不清楚 Atoh8 在出生后神经发生过程中的功能。方法 本研究利用雄性同基因Atoh8基因敲除(M6KO)小鼠,重点阐明Atoh8对出生后大脑神经发生的影响,尤其是在选定的区域:室下区(SVZ)、喙迁徙流(RMS)和嗅球(OB),以及在不同生命阶段的影响。我们的形态计量分析基于神经母细胞(Doublecortin)和增殖(Phospho-Histone H3,PHH3)的免疫组化标记以及泛神经元标记。结果 在 Atoh8-/- 小鼠中可以观察到出生后神经发生的改变。免疫组化分析显示,与野生型(WT)小鼠相比,新生 M6KO 小鼠 SVZ 中双皮质素阳性的神经母细胞明显减少。有趣的是,在神经母细胞随后通过喙迁移流(RMS)向嗅球(OB)迁移的过程中,并没有观察到细胞数量和分布的差异。在新生小鼠和幼年 M6KO 小鼠的 SVZ 和 RMS 中,PHH3 阳性神经元祖细胞的增殖率明显降低。此外,在 OB 肾小球层检测到的神经元数量在新生儿期明显减少。结论 总之,Atoh8 是出生后大脑神经发生的积极调节因子。它的作用包括促进神经母细胞的形成、调节增殖率、分化和维持成熟的神经元。了解 Atoh8 功能的复杂性为了解神经发生的复杂调控机制提供了宝贵的见解。
本文章由计算机程序翻译,如有差异,请以英文原文为准。
求助全文
约1分钟内获得全文 求助全文
来源期刊
Cells Tissues Organs
Cells Tissues Organs 生物-发育生物学
CiteScore
4.90
自引率
3.70%
发文量
45
审稿时长
6-12 weeks
期刊介绍: ''Cells Tissues Organs'' aims at bridging the gap between cell biology and developmental biology and the emerging fields of regenerative medicine (stem cell biology, tissue engineering, artificial organs, in vitro systems and transplantation biology). CTO offers a rapid and fair peer-review and exquisite reproduction quality. Special topic issues, entire issues of the journal devoted to a single research topic within the range of interests of the journal, are published at irregular intervals.
×
引用
GB/T 7714-2015
复制
MLA
复制
APA
复制
导出至
BibTeX EndNote RefMan NoteFirst NoteExpress
×
提示
您的信息不完整,为了账户安全,请先补充。
现在去补充
×
提示
您因"违规操作"
具体请查看互助需知
我知道了
×
提示
确定
请完成安全验证×
copy
已复制链接
快去分享给好友吧!
我知道了
右上角分享
点击右上角分享
0
联系我们:info@booksci.cn Book学术提供免费学术资源搜索服务,方便国内外学者检索中英文文献。致力于提供最便捷和优质的服务体验。 Copyright © 2023 布克学术 All rights reserved.
京ICP备2023020795号-1
ghs 京公网安备 11010802042870号
Book学术文献互助
Book学术文献互助群
群 号:604180095
Book学术官方微信