First report of thyroid goiter in the marine ornamental fish Gramma brasiliensis.

Brazilian journal of veterinary medicine Pub Date : 2024-08-15 eCollection Date: 2024-01-01 DOI:10.29374/2527-2179.bjvm003624
Sérgio Leandro Araújo-Silva, Maria Alcina Martins de Castro, Ricardo Evandro Mendes, Giovana Pelisser, Vanessa Martins da Rocha, José Victor Safadi Ferrarezi, Renata Ávila Ozório, Mônica Yumi Tsuzuki
{"title":"First report of thyroid goiter in the marine ornamental fish <i>Gramma brasiliensis</i>.","authors":"Sérgio Leandro Araújo-Silva, Maria Alcina Martins de Castro, Ricardo Evandro Mendes, Giovana Pelisser, Vanessa Martins da Rocha, José Victor Safadi Ferrarezi, Renata Ávila Ozório, Mônica Yumi Tsuzuki","doi":"10.29374/2527-2179.bjvm003624","DOIUrl":null,"url":null,"abstract":"<p><p>Enlargement of the thyroid gland is referred to as goiter. In captive fish, goiter may be associated with iodine deficiency in water or diet, exposure to goitrogenic factors such as a high environmental nitrate concentration or water treatment with ozone. This report describes the occurrence of goiter in a marine ornamental fish raised in a research laboratory, the Brazilian basslet <i>Gramma brasiliensis.</i> From 2016 to 2023, we observed progressively growing tumour-like masses in the pharyngeal cavity and along the gill arches of approximately 20 adult individuals. This abnormal growth impaired the ingestion of food and caused dyspnoea, leading the animals to death within a few months after the first appearance of the mass. The samples were submitted to histological analyses, which revealed moderate to severe, diffuse, hypertrophy and hyperplasia of thyroid follicular cells with most lacking colloids. This is the first report of goiter in the Brazilian basslet. Although it is not clear why this condition develops in this species, we recommend keeping nitrate levels to a minimum and monitoring water iodine concentrations regularly until future studies investigate the possible causes and adequate treatment for this species.</p>","PeriodicalId":72458,"journal":{"name":"Brazilian journal of veterinary medicine","volume":"46 ","pages":"e003624"},"PeriodicalIF":0.0000,"publicationDate":"2024-08-15","publicationTypes":"Journal Article","fieldsOfStudy":null,"isOpenAccess":false,"openAccessPdf":"https://www.ncbi.nlm.nih.gov/pmc/articles/PMC11346317/pdf/","citationCount":"0","resultStr":null,"platform":"Semanticscholar","paperid":null,"PeriodicalName":"Brazilian journal of veterinary medicine","FirstCategoryId":"1085","ListUrlMain":"https://doi.org/10.29374/2527-2179.bjvm003624","RegionNum":0,"RegionCategory":null,"ArticlePicture":[],"TitleCN":null,"AbstractTextCN":null,"PMCID":null,"EPubDate":"2024/1/1 0:00:00","PubModel":"eCollection","JCR":"","JCRName":"","Score":null,"Total":0}
引用次数: 0

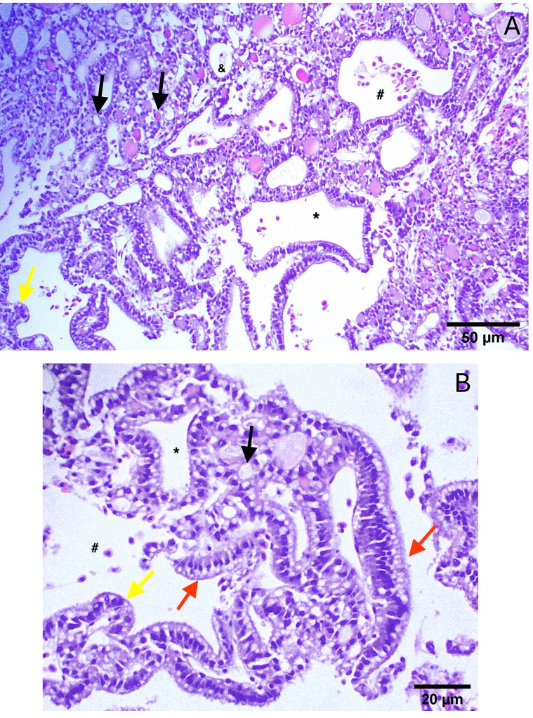
Abstract

Enlargement of the thyroid gland is referred to as goiter. In captive fish, goiter may be associated with iodine deficiency in water or diet, exposure to goitrogenic factors such as a high environmental nitrate concentration or water treatment with ozone. This report describes the occurrence of goiter in a marine ornamental fish raised in a research laboratory, the Brazilian basslet Gramma brasiliensis. From 2016 to 2023, we observed progressively growing tumour-like masses in the pharyngeal cavity and along the gill arches of approximately 20 adult individuals. This abnormal growth impaired the ingestion of food and caused dyspnoea, leading the animals to death within a few months after the first appearance of the mass. The samples were submitted to histological analyses, which revealed moderate to severe, diffuse, hypertrophy and hyperplasia of thyroid follicular cells with most lacking colloids. This is the first report of goiter in the Brazilian basslet. Although it is not clear why this condition develops in this species, we recommend keeping nitrate levels to a minimum and monitoring water iodine concentrations regularly until future studies investigate the possible causes and adequate treatment for this species.

Abstract Image

Abstract Image

首次报道海洋观赏鱼巴西鲂的甲状腺肿大。
甲状腺肿大被称为甲状腺肿。在人工饲养的鱼类中,甲状腺肿可能与水或食物中缺碘有关,也可能与接触甲状腺素有关,如环境中硝酸盐浓度过高或使用臭氧处理水。本报告描述了一种在研究实验室饲养的海洋观赏鱼--巴西鲈鱼--甲状腺肿大的发生情况。从 2016 年到 2023 年,我们观察到约 20 条成年个体的咽腔和鳃弓处出现了逐渐增大的肿瘤状肿块。这种异常生长影响了动物对食物的摄取,并导致呼吸困难,导致动物在肿块首次出现后几个月内死亡。样本被送去进行组织学分析,结果显示甲状腺滤泡细胞中度到重度弥漫性肥大和增生,大部分缺乏胶质。这是巴西鲈鱼甲状腺肿的首次报道。虽然尚不清楚该鱼种出现这种情况的原因,但我们建议将硝酸盐含量保持在最低水平,并定期监测水中的碘浓度,直到未来的研究调查出可能的原因和针对该鱼种的适当治疗方法。
本文章由计算机程序翻译,如有差异,请以英文原文为准。
求助全文
约1分钟内获得全文 求助全文
来源期刊
自引率
0.00%
发文量
0
×
引用
GB/T 7714-2015
复制
MLA
复制
APA
复制
导出至
BibTeX EndNote RefMan NoteFirst NoteExpress
×
提示
您的信息不完整,为了账户安全,请先补充。
现在去补充
×
提示
您因"违规操作"
具体请查看互助需知
我知道了
×
提示
确定
请完成安全验证×
copy
已复制链接
快去分享给好友吧!
我知道了
右上角分享
点击右上角分享
0
联系我们:info@booksci.cn Book学术提供免费学术资源搜索服务,方便国内外学者检索中英文文献。致力于提供最便捷和优质的服务体验。 Copyright © 2023 布克学术 All rights reserved.
京ICP备2023020795号-1
ghs 京公网安备 11010802042870号
Book学术文献互助
Book学术文献互助群
群 号:604180095
Book学术官方微信