Ossification of Cranial Epidural Hematomas: A Systematic Review of Management Strategies and Presentation of an Illustrative Case.

IF 1.8 Q3 CLINICAL NEUROLOGY
Neurotrauma reports Pub Date : 2024-08-22 eCollection Date: 2024-01-01 DOI:10.1089/neur.2024.0065
Insa K Janssen, Julien Haemmerli, Andrea Bartoli, Melvin Joory, Emily Richards, Karl Schaller, Aria Nouri
{"title":"Ossification of Cranial Epidural Hematomas: A Systematic Review of Management Strategies and Presentation of an Illustrative Case.","authors":"Insa K Janssen, Julien Haemmerli, Andrea Bartoli, Melvin Joory, Emily Richards, Karl Schaller, Aria Nouri","doi":"10.1089/neur.2024.0065","DOIUrl":null,"url":null,"abstract":"<p><p>The presence of a calcified or ossified chronic cranial epidural hematoma (EDH) is rare and has been described in only a few case reports in the literature. Consequently, clear treatment strategies remain elusive and may entail conservative and surgical approaches. In this study, we performed a systematic review of reported cases to evaluate the clinical course and treatment options for these patients. A comprehensive systematic search of two databases was performed, and information on patient characteristics, symptomatology, and treatment was extracted from eligible articles. A total of 56 cases were included in our analyses. Forty patients were male, 16 were female, with an average age of 21.38 years at the time of diagnosis. Assumed etiology was previous trauma in 35 cases, previous cranial surgery in 17 patients, and birth trauma and epidural bleeding after the utilization of the Mayfield clamp in 1 case each. The origin remained unclear in two cases. The time between trauma or surgery and diagnostics ranged between one and a half weeks and 50 years, with a median of 4 years (SD 9.8 years). The symptoms were very heterogeneous, ranging from acute neurological deterioration to chronic symptoms. In 15 cases, patients were asymptomatic, and cranial imaging was performed as part of a new trauma or a screening for other disease. Forty-one patients received surgical treatment by craniotomy and hematoma evacuation, and 13 patients were treated conservatively. In two cases, the liquid hematoma portion was aspirated through a burr hole. The localization of calcified or ossified EDH was mainly supratentorial. Young male patients most commonly present with calcified or ossified EDH after trauma, according to the epidemiological trend of acute EDH. Clinical presentation varies from asymptomatic to severe neurological deficits and signs of increased intracranial pressure. There is no standardized treatment; decisions must be made on an individual basis.</p>","PeriodicalId":74300,"journal":{"name":"Neurotrauma reports","volume":"5 1","pages":"787-799"},"PeriodicalIF":1.8000,"publicationDate":"2024-08-22","publicationTypes":"Journal Article","fieldsOfStudy":null,"isOpenAccess":false,"openAccessPdf":"https://www.ncbi.nlm.nih.gov/pmc/articles/PMC11342046/pdf/","citationCount":"0","resultStr":null,"platform":"Semanticscholar","paperid":null,"PeriodicalName":"Neurotrauma reports","FirstCategoryId":"1085","ListUrlMain":"https://doi.org/10.1089/neur.2024.0065","RegionNum":0,"RegionCategory":null,"ArticlePicture":[],"TitleCN":null,"AbstractTextCN":null,"PMCID":null,"EPubDate":"2024/1/1 0:00:00","PubModel":"eCollection","JCR":"Q3","JCRName":"CLINICAL NEUROLOGY","Score":null,"Total":0}
引用次数: 0

Abstract

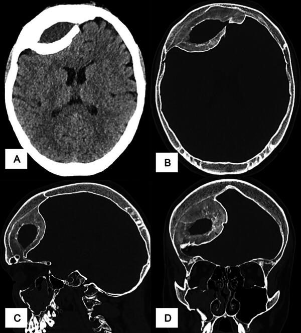
The presence of a calcified or ossified chronic cranial epidural hematoma (EDH) is rare and has been described in only a few case reports in the literature. Consequently, clear treatment strategies remain elusive and may entail conservative and surgical approaches. In this study, we performed a systematic review of reported cases to evaluate the clinical course and treatment options for these patients. A comprehensive systematic search of two databases was performed, and information on patient characteristics, symptomatology, and treatment was extracted from eligible articles. A total of 56 cases were included in our analyses. Forty patients were male, 16 were female, with an average age of 21.38 years at the time of diagnosis. Assumed etiology was previous trauma in 35 cases, previous cranial surgery in 17 patients, and birth trauma and epidural bleeding after the utilization of the Mayfield clamp in 1 case each. The origin remained unclear in two cases. The time between trauma or surgery and diagnostics ranged between one and a half weeks and 50 years, with a median of 4 years (SD 9.8 years). The symptoms were very heterogeneous, ranging from acute neurological deterioration to chronic symptoms. In 15 cases, patients were asymptomatic, and cranial imaging was performed as part of a new trauma or a screening for other disease. Forty-one patients received surgical treatment by craniotomy and hematoma evacuation, and 13 patients were treated conservatively. In two cases, the liquid hematoma portion was aspirated through a burr hole. The localization of calcified or ossified EDH was mainly supratentorial. Young male patients most commonly present with calcified or ossified EDH after trauma, according to the epidemiological trend of acute EDH. Clinical presentation varies from asymptomatic to severe neurological deficits and signs of increased intracranial pressure. There is no standardized treatment; decisions must be made on an individual basis.

Abstract Image

Abstract Image

Abstract Image

颅硬膜外血肿骨化:管理策略的系统回顾和一个典型病例的介绍。
钙化或骨化的慢性颅硬膜外血肿(EDH)非常罕见,文献中仅有少数病例报道。因此,明确的治疗策略仍然难以捉摸,可能需要采取保守治疗和手术治疗。在本研究中,我们对已报道的病例进行了系统回顾,以评估这些患者的临床病程和治疗方案。我们对两个数据库进行了全面系统的检索,并从符合条件的文章中提取了有关患者特征、症状学和治疗方法的信息。我们共分析了 56 例患者。其中 40 例为男性,16 例为女性,确诊时的平均年龄为 21.38 岁。35例患者的假定病因是既往外伤,17例患者的假定病因是既往颅脑手术,1例患者的假定病因是分娩外伤和使用梅菲尔德钳后硬膜外出血。2例病因不明。外伤或手术与诊断之间的时间间隔从一周半到 50 年不等,中位数为 4 年(标清 9.8 年)。患者的症状多种多样,从急性神经系统恶化到慢性症状不等。15例患者无症状,颅脑造影检查是新创伤或其他疾病筛查的一部分。41 名患者接受了开颅手术和血肿清除术,13 名患者接受了保守治疗。在两个病例中,液体血肿部分是通过毛刺孔抽吸出来的。钙化或骨化 EDH 的定位主要在脑室上部。根据急性 EDH 的流行病学趋势,年轻男性患者最常在创伤后出现钙化或骨化 EDH。临床表现从无症状到严重的神经功能缺损和颅内压增高体征不等。目前还没有标准化的治疗方法,必须根据个体情况做出决定。
本文章由计算机程序翻译,如有差异,请以英文原文为准。
求助全文
约1分钟内获得全文 求助全文
来源期刊
CiteScore
2.40
自引率
0.00%
发文量
0
审稿时长
8 weeks
×
引用
GB/T 7714-2015
复制
MLA
复制
APA
复制
导出至
BibTeX EndNote RefMan NoteFirst NoteExpress
×
提示
您的信息不完整,为了账户安全,请先补充。
现在去补充
×
提示
您因"违规操作"
具体请查看互助需知
我知道了
×
提示
确定
请完成安全验证×
copy
已复制链接
快去分享给好友吧!
我知道了
右上角分享
点击右上角分享
0
联系我们:info@booksci.cn Book学术提供免费学术资源搜索服务,方便国内外学者检索中英文文献。致力于提供最便捷和优质的服务体验。 Copyright © 2023 布克学术 All rights reserved.
京ICP备2023020795号-1
ghs 京公网安备 11010802042870号
Book学术文献互助
Book学术文献互助群
群 号:604180095
Book学术官方微信