Unravelling the mystery of the central dentinogenic ghost cell tumor- a rare case report and recurrent insights.

Q4 Medicine
Autopsy and Case Reports Pub Date : 2024-08-15 eCollection Date: 2024-01-01 DOI:10.4322/acr.2024.510
Jagveer Yadav, Mala Kamboj, Anju Devi, Anjali Narwal, Deepti Chhikara, Bhawna Saini
{"title":"Unravelling the mystery of the central dentinogenic ghost cell tumor- a rare case report and recurrent insights.","authors":"Jagveer Yadav, Mala Kamboj, Anju Devi, Anjali Narwal, Deepti Chhikara, Bhawna Saini","doi":"10.4322/acr.2024.510","DOIUrl":null,"url":null,"abstract":"<p><p>Dentinogenic ghost cell tumor (DGCT) is a rare benign neoplasm form of calcifying odontogenic cyst (COC) characterized by ghost cells. Although benign, it presents an aggressive behavior. DGCT accounts for 2% to 14% of all COCs and less than 0.5% of all odontogenic tumors. It is a benign odontogenic tumor despite its local invasion and the likelihood of recurrence. To detect recurrence, central DGCT patients must be monitored long-term. We present the case of a 51-year-old male who reported pain in the right upper back tooth region. On examination, a soft to firm, bright red swelling was present in the buccal vestibule and gingival margin of the maxillary right first and second molar, which extended up to the palate. Histopathological analysis confirmed the diagnosis of a DGCT, which occurred in a previously treated calcifying odontogenic cyst. The case is reported here, along with a review of the literature update of such recurred instances in the past.</p>","PeriodicalId":53117,"journal":{"name":"Autopsy and Case Reports","volume":"14 ","pages":"e2024510"},"PeriodicalIF":0.0000,"publicationDate":"2024-08-15","publicationTypes":"Journal Article","fieldsOfStudy":null,"isOpenAccess":false,"openAccessPdf":"https://www.ncbi.nlm.nih.gov/pmc/articles/PMC11340818/pdf/","citationCount":"0","resultStr":null,"platform":"Semanticscholar","paperid":null,"PeriodicalName":"Autopsy and Case Reports","FirstCategoryId":"1085","ListUrlMain":"https://doi.org/10.4322/acr.2024.510","RegionNum":0,"RegionCategory":null,"ArticlePicture":[],"TitleCN":null,"AbstractTextCN":null,"PMCID":null,"EPubDate":"2024/1/1 0:00:00","PubModel":"eCollection","JCR":"Q4","JCRName":"Medicine","Score":null,"Total":0}
引用次数: 0

Abstract

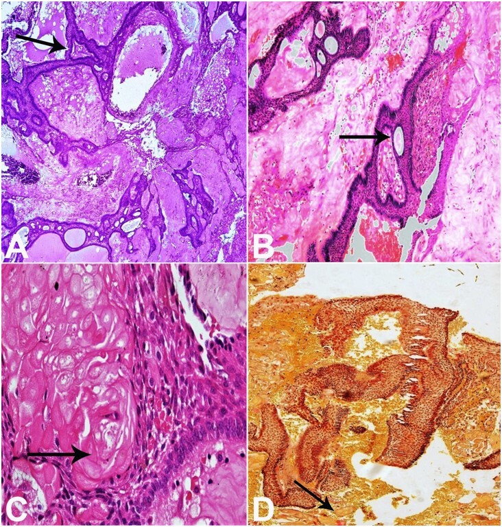
Dentinogenic ghost cell tumor (DGCT) is a rare benign neoplasm form of calcifying odontogenic cyst (COC) characterized by ghost cells. Although benign, it presents an aggressive behavior. DGCT accounts for 2% to 14% of all COCs and less than 0.5% of all odontogenic tumors. It is a benign odontogenic tumor despite its local invasion and the likelihood of recurrence. To detect recurrence, central DGCT patients must be monitored long-term. We present the case of a 51-year-old male who reported pain in the right upper back tooth region. On examination, a soft to firm, bright red swelling was present in the buccal vestibule and gingival margin of the maxillary right first and second molar, which extended up to the palate. Histopathological analysis confirmed the diagnosis of a DGCT, which occurred in a previously treated calcifying odontogenic cyst. The case is reported here, along with a review of the literature update of such recurred instances in the past.

Abstract Image

Abstract Image

揭开中枢性牙本质鬼细胞瘤的神秘面纱--罕见病例报告和反复发作的启示。
牙本质鬼细胞瘤(DGCT)是钙化性牙源性囊肿(COC)的一种罕见良性肿瘤,其特征是有鬼细胞。虽然是良性肿瘤,但它具有侵袭性。DGCT占所有COC的2%至14%,占所有牙源性肿瘤的0.5%以下。尽管它有局部侵犯和复发的可能性,但它是一种良性牙源性肿瘤。为了检测复发,必须对中央型 DGCT 患者进行长期监测。我们报告了一例 51 岁男性的病例,他报告右上背部牙齿区域疼痛。经检查,上颌右侧第一和第二磨牙的颊前庭和龈缘出现了一个由软变硬的鲜红色肿物,肿物一直延伸到上颚。组织病理分析证实了 DGCT 的诊断,该病变发生在之前治疗过的钙化性牙源性囊肿中。本文报告了该病例,并回顾了过去此类复发病例的最新文献。
本文章由计算机程序翻译,如有差异,请以英文原文为准。
求助全文
约1分钟内获得全文 求助全文
来源期刊
Autopsy and Case Reports
Autopsy and Case Reports Medicine-Internal Medicine
CiteScore
1.20
自引率
0.00%
发文量
60
审稿时长
9 weeks
×
引用
GB/T 7714-2015
复制
MLA
复制
APA
复制
导出至
BibTeX EndNote RefMan NoteFirst NoteExpress
×
提示
您的信息不完整,为了账户安全,请先补充。
现在去补充
×
提示
您因"违规操作"
具体请查看互助需知
我知道了
×
提示
确定
请完成安全验证×
copy
已复制链接
快去分享给好友吧!
我知道了
右上角分享
点击右上角分享
0
联系我们:info@booksci.cn Book学术提供免费学术资源搜索服务,方便国内外学者检索中英文文献。致力于提供最便捷和优质的服务体验。 Copyright © 2023 布克学术 All rights reserved.
京ICP备2023020795号-1
ghs 京公网安备 11010802042870号
Book学术文献互助
Book学术文献互助群
群 号:604180095
Book学术官方微信