Traveling together! - Intrathymic thyroid tissue in a patient with Graves' disease.

Q4 Medicine
Autopsy and Case Reports Pub Date : 2024-07-30 eCollection Date: 2024-01-01 DOI:10.4322/acr.2024.506
Hugh Ellis McCormick, Sidrah Khawar, Ameer Hamza
{"title":"Traveling together! - Intrathymic thyroid tissue in a patient with Graves' disease.","authors":"Hugh Ellis McCormick, Sidrah Khawar, Ameer Hamza","doi":"10.4322/acr.2024.506","DOIUrl":null,"url":null,"abstract":"<p><p>Ectopic thyroid tissue is rare in the general population and more prevalent in people who have existing thyroid disease. Common anatomical sites of ectopic thyroid tissue include the lateral cervical region, thyroglossal duct, mediastinum, lingual, sublingual, and submandibular region. Intrathymic ectopic thyroid tissue is exceedingly rare. The purpose of this report is to describe one such case in a 52-year-old African-American female with Graves' disease. The patient presented for a physical exam and follow-up. During the exam, an incidental mediastinal mass was discovered, which was evaluated by imaging studies and subsequently was resected. Histologically, the mass was composed of variable-sized thyroid follicles lined by a monolayer of cuboidal to columnar follicular epithelial cells and filled with eosinophilic colloid, surrounded by a rim of unremarkable compressed thymic tissue.</p>","PeriodicalId":53117,"journal":{"name":"Autopsy and Case Reports","volume":"14 ","pages":"e2024506"},"PeriodicalIF":0.0000,"publicationDate":"2024-07-30","publicationTypes":"Journal Article","fieldsOfStudy":null,"isOpenAccess":false,"openAccessPdf":"https://www.ncbi.nlm.nih.gov/pmc/articles/PMC11340817/pdf/","citationCount":"0","resultStr":null,"platform":"Semanticscholar","paperid":null,"PeriodicalName":"Autopsy and Case Reports","FirstCategoryId":"1085","ListUrlMain":"https://doi.org/10.4322/acr.2024.506","RegionNum":0,"RegionCategory":null,"ArticlePicture":[],"TitleCN":null,"AbstractTextCN":null,"PMCID":null,"EPubDate":"2024/1/1 0:00:00","PubModel":"eCollection","JCR":"Q4","JCRName":"Medicine","Score":null,"Total":0}
引用次数: 0

Abstract

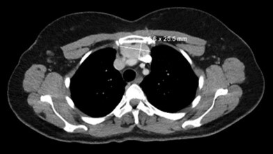
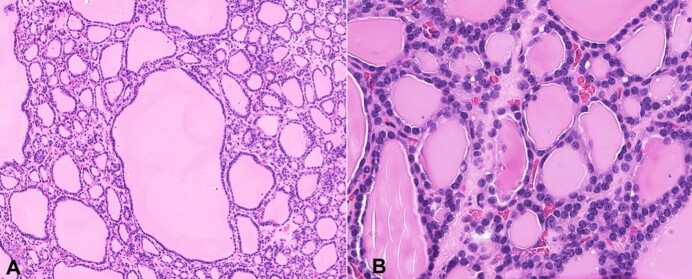
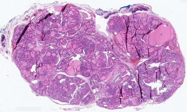
Ectopic thyroid tissue is rare in the general population and more prevalent in people who have existing thyroid disease. Common anatomical sites of ectopic thyroid tissue include the lateral cervical region, thyroglossal duct, mediastinum, lingual, sublingual, and submandibular region. Intrathymic ectopic thyroid tissue is exceedingly rare. The purpose of this report is to describe one such case in a 52-year-old African-American female with Graves' disease. The patient presented for a physical exam and follow-up. During the exam, an incidental mediastinal mass was discovered, which was evaluated by imaging studies and subsequently was resected. Histologically, the mass was composed of variable-sized thyroid follicles lined by a monolayer of cuboidal to columnar follicular epithelial cells and filled with eosinophilic colloid, surrounded by a rim of unremarkable compressed thymic tissue.

Abstract Image

Abstract Image

Abstract Image

一起旅行- 一名巴塞杜氏病患者的病理内甲状腺组织
异位甲状腺组织在普通人群中很少见,在患有甲状腺疾病的人群中更为常见。异位甲状腺组织的常见解剖部位包括颈外侧区、甲状舌管、纵隔、舌侧、舌下和颌下区。胫骨内异位甲状腺组织极为罕见。本报告旨在描述一名患有巴塞杜氏病的52岁非裔美国女性的病例。患者前来进行体检和随访。在检查过程中,偶然发现了纵隔肿块,经影像学检查评估后切除了肿块。从组织学角度看,肿块由大小不等的甲状腺滤泡组成,内衬为单层立方体至柱状滤泡上皮细胞,充满嗜酸性胶体,周围是无特征性的压缩胸腺组织。
本文章由计算机程序翻译,如有差异,请以英文原文为准。
求助全文
约1分钟内获得全文 求助全文
来源期刊
Autopsy and Case Reports
Autopsy and Case Reports Medicine-Internal Medicine
CiteScore
1.20
自引率
0.00%
发文量
60
审稿时长
9 weeks
×
引用
GB/T 7714-2015
复制
MLA
复制
APA
复制
导出至
BibTeX EndNote RefMan NoteFirst NoteExpress
×
提示
您的信息不完整,为了账户安全,请先补充。
现在去补充
×
提示
您因"违规操作"
具体请查看互助需知
我知道了
×
提示
确定
请完成安全验证×
copy
已复制链接
快去分享给好友吧!
我知道了
右上角分享
点击右上角分享
0
联系我们:info@booksci.cn Book学术提供免费学术资源搜索服务,方便国内外学者检索中英文文献。致力于提供最便捷和优质的服务体验。 Copyright © 2023 布克学术 All rights reserved.
京ICP备2023020795号-1
ghs 京公网安备 11010802042870号
Book学术文献互助
Book学术文献互助群
群 号:604180095
Book学术官方微信