Diagnosis of a Rare Rickettsia felis Infection Complicated with Unusual Pericardial Effusion and Cardiac Tamponade Using an mNGS Test.

IF 0.8 Q4 INFECTIOUS DISEASES
Case Reports in Infectious Diseases Pub Date : 2024-08-13 eCollection Date: 2024-01-01 DOI:10.1155/2024/8877876
Tien-Lung Po, Chien-Hsien Huang, Chia-Hsun Lin, Huei-Fong Hung
{"title":"Diagnosis of a Rare <i>Rickettsia felis</i> Infection Complicated with Unusual Pericardial Effusion and Cardiac Tamponade Using an mNGS Test.","authors":"Tien-Lung Po, Chien-Hsien Huang, Chia-Hsun Lin, Huei-Fong Hung","doi":"10.1155/2024/8877876","DOIUrl":null,"url":null,"abstract":"<p><p>The occurrence of sporadic rickettsial infections has been consistently undervalued and overlooked, primarily owing to a limited emphasis on routine examinations for rickettsioses in clinical practice. At present, the immunofluorescence assay is the prevailing diagnostic method for suspected rickettsioses that enables the detection of specific antibodies against rickettsia in human serum. Herein, we present an exceptional instance of rickettsial infection that was characterized by a rare manifestation of extensive pericardial effusion leading to dyspnea and cardiac tamponade. A diagnosis of chronic fibrosing pericarditis was established based on pericardium tissue obtained through pericardiotomy, and a conclusive metagenomic next-generation sequencing test confirmed the presence of <i>Rickettsia felis</i> infection. The cat flea, scientifically known as <i>Ctenocephalides felis</i>, is the predominant carrier of <i>R. felis</i>. An escalating incidence of human <i>R. felis</i> infections has raised concerns, particularly in light of the burgeoning population of domesticated animals in many contemporary societies.</p>","PeriodicalId":9608,"journal":{"name":"Case Reports in Infectious Diseases","volume":"2024 ","pages":"8877876"},"PeriodicalIF":0.8000,"publicationDate":"2024-08-13","publicationTypes":"Journal Article","fieldsOfStudy":null,"isOpenAccess":false,"openAccessPdf":"https://www.ncbi.nlm.nih.gov/pmc/articles/PMC11335410/pdf/","citationCount":"0","resultStr":null,"platform":"Semanticscholar","paperid":null,"PeriodicalName":"Case Reports in Infectious Diseases","FirstCategoryId":"1085","ListUrlMain":"https://doi.org/10.1155/2024/8877876","RegionNum":0,"RegionCategory":null,"ArticlePicture":[],"TitleCN":null,"AbstractTextCN":null,"PMCID":null,"EPubDate":"2024/1/1 0:00:00","PubModel":"eCollection","JCR":"Q4","JCRName":"INFECTIOUS DISEASES","Score":null,"Total":0}
引用次数: 0

Abstract

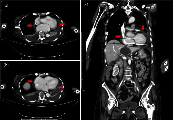
The occurrence of sporadic rickettsial infections has been consistently undervalued and overlooked, primarily owing to a limited emphasis on routine examinations for rickettsioses in clinical practice. At present, the immunofluorescence assay is the prevailing diagnostic method for suspected rickettsioses that enables the detection of specific antibodies against rickettsia in human serum. Herein, we present an exceptional instance of rickettsial infection that was characterized by a rare manifestation of extensive pericardial effusion leading to dyspnea and cardiac tamponade. A diagnosis of chronic fibrosing pericarditis was established based on pericardium tissue obtained through pericardiotomy, and a conclusive metagenomic next-generation sequencing test confirmed the presence of Rickettsia felis infection. The cat flea, scientifically known as Ctenocephalides felis, is the predominant carrier of R. felis. An escalating incidence of human R. felis infections has raised concerns, particularly in light of the burgeoning population of domesticated animals in many contemporary societies.

Abstract Image

Abstract Image

使用 mNGS 检测诊断并发异常心包积液和心脏填塞的罕见立克次体感染。
散发性立克次体感染一直被低估和忽视,主要原因是临床实践中对立克次体病常规检查的重视程度有限。目前,免疫荧光检测法是诊断疑似立克次体病的主要方法,它能在人体血清中检测出针对立克次体的特异性抗体。在此,我们介绍一例罕见的立克次体感染病例,其特点是广泛的心包积液导致呼吸困难和心脏填塞。根据心包切开术获得的心包组织,确定了慢性纤维性心包炎的诊断,并通过元基因组下一代测序试验确诊存在猫蚤立克次体感染。猫蚤,学名栉头蚤,是猫立克次体的主要携带者。人类感染猫立克次体的发病率不断攀升,这引起了人们的关注,尤其是考虑到当代许多社会中驯养动物的数量急剧增加。
本文章由计算机程序翻译,如有差异,请以英文原文为准。
求助全文
约1分钟内获得全文 求助全文
来源期刊
自引率
0.00%
发文量
64
审稿时长
13 weeks
×
引用
GB/T 7714-2015
复制
MLA
复制
APA
复制
导出至
BibTeX EndNote RefMan NoteFirst NoteExpress
×
提示
您的信息不完整,为了账户安全,请先补充。
现在去补充
×
提示
您因"违规操作"
具体请查看互助需知
我知道了
×
提示
确定
请完成安全验证×
copy
已复制链接
快去分享给好友吧!
我知道了
右上角分享
点击右上角分享
0
联系我们:info@booksci.cn Book学术提供免费学术资源搜索服务,方便国内外学者检索中英文文献。致力于提供最便捷和优质的服务体验。 Copyright © 2023 布克学术 All rights reserved.
京ICP备2023020795号-1
ghs 京公网安备 11010802042870号
Book学术文献互助
Book学术文献互助群
群 号:604180095
Book学术官方微信