Acute sleep deprivation-induced hepatotoxicity and dyslipidemia in middle-aged female rats and its amelioration by butanol extract of Tinospora cordifolia.

IF 2.9 Q3 MEDICINE, RESEARCH & EXPERIMENTAL
Payal Bajaj, Tajpreet Kaur, Amrit Pal Singh, Gurcharan Kaur
{"title":"Acute sleep deprivation-induced hepatotoxicity and dyslipidemia in middle-aged female rats and its amelioration by butanol extract of Tinospora cordifolia.","authors":"Payal Bajaj, Tajpreet Kaur, Amrit Pal Singh, Gurcharan Kaur","doi":"10.1186/s42826-024-00216-4","DOIUrl":null,"url":null,"abstract":"<p><strong>Background: </strong>Sleep deprivation (SD) due to an unhealthy lifestyle poses an oxidative challenge and is closely associated with an increased risk and prevalence of different metabolic disorders. Although the negative consequences of SD are well reported on mental health little is known about its detrimental effects on liver function and lipid metabolism. Tinospora cordifolia is reported for its hepatoprotective activity in different pre-clinical model systems. The current study was designed to elucidate the cumulative effects of aging and acute SD on liver functions, oxidative stress, and lipid metabolism, and their management by butanol extract of T. cordifolia (B-TCE) using middle-aged female acyclic rats as the model system.</p><p><strong>Results: </strong>Rats were divided into 4 groups: (1) Vehicle-undisturbed (VUD) (2) Vehicle-sleep deprived (VSD) (3) B-TCE pre-treated sleep-deprived (TSD) (4) B-TCE pre-treated undisturbed sleep (TUD). TSD and TUD groups were given 35 mg/kg of B-TCE once daily for 15 days followed by 12 h of sleep deprivation (6 a.m.-6 p.m.) of VSD and TSD group animals using the gentle-handling method while VUD and TUD group animals were left undisturbed. SD of VSD group animals increased oxidative stress, liver function disruption, and dyslipidemia which were ameliorated by B-TCE pre-treatment. Further, B-TCE was observed to target AMPK and its downstream lipid metabolism pathways as well as the p-Akt/cyclinD1/p-bad pathway of cell survival as possible underlying mechanisms of its hepatoprotective activity.</p><p><strong>Conclusions: </strong>These findings suggest that B-TCE being a multi-component extract may be a potential agent in curtailing sleep-related problems and preventing SD-associated hepatotoxicity and dyslipidemia in postmenopausal women.</p>","PeriodicalId":17993,"journal":{"name":"Laboratory Animal Research","volume":"40 1","pages":"29"},"PeriodicalIF":2.9000,"publicationDate":"2024-08-21","publicationTypes":"Journal Article","fieldsOfStudy":null,"isOpenAccess":false,"openAccessPdf":"https://www.ncbi.nlm.nih.gov/pmc/articles/PMC11337769/pdf/","citationCount":"0","resultStr":null,"platform":"Semanticscholar","paperid":null,"PeriodicalName":"Laboratory Animal Research","FirstCategoryId":"1085","ListUrlMain":"https://doi.org/10.1186/s42826-024-00216-4","RegionNum":0,"RegionCategory":null,"ArticlePicture":[],"TitleCN":null,"AbstractTextCN":null,"PMCID":null,"EPubDate":"","PubModel":"","JCR":"Q3","JCRName":"MEDICINE, RESEARCH & EXPERIMENTAL","Score":null,"Total":0}
引用次数: 0

Abstract

Background: Sleep deprivation (SD) due to an unhealthy lifestyle poses an oxidative challenge and is closely associated with an increased risk and prevalence of different metabolic disorders. Although the negative consequences of SD are well reported on mental health little is known about its detrimental effects on liver function and lipid metabolism. Tinospora cordifolia is reported for its hepatoprotective activity in different pre-clinical model systems. The current study was designed to elucidate the cumulative effects of aging and acute SD on liver functions, oxidative stress, and lipid metabolism, and their management by butanol extract of T. cordifolia (B-TCE) using middle-aged female acyclic rats as the model system.

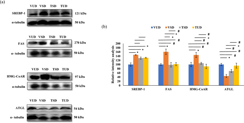
Results: Rats were divided into 4 groups: (1) Vehicle-undisturbed (VUD) (2) Vehicle-sleep deprived (VSD) (3) B-TCE pre-treated sleep-deprived (TSD) (4) B-TCE pre-treated undisturbed sleep (TUD). TSD and TUD groups were given 35 mg/kg of B-TCE once daily for 15 days followed by 12 h of sleep deprivation (6 a.m.-6 p.m.) of VSD and TSD group animals using the gentle-handling method while VUD and TUD group animals were left undisturbed. SD of VSD group animals increased oxidative stress, liver function disruption, and dyslipidemia which were ameliorated by B-TCE pre-treatment. Further, B-TCE was observed to target AMPK and its downstream lipid metabolism pathways as well as the p-Akt/cyclinD1/p-bad pathway of cell survival as possible underlying mechanisms of its hepatoprotective activity.

Conclusions: These findings suggest that B-TCE being a multi-component extract may be a potential agent in curtailing sleep-related problems and preventing SD-associated hepatotoxicity and dyslipidemia in postmenopausal women.

Abstract Image

Abstract Image

Abstract Image

中年雌性大鼠急性睡眠剥夺诱发的肝脏毒性和血脂异常及其在天竺葵丁醇提取物中的改善作用
背景:不健康的生活方式导致的睡眠不足(SD)是一种氧化挑战,与各种代谢紊乱的风险和发病率增加密切相关。尽管睡眠不足对心理健康的负面影响已被广泛报道,但人们对其对肝功能和脂质代谢的有害影响却知之甚少。据报道,在不同的临床前模型系统中,天竺葵具有保肝活性。本研究旨在以中年雌性无环大鼠为模型系统,阐明衰老和急性 SD 对肝功能、氧化应激和脂质代谢的累积效应,以及丁香叶提取物(B-TCE)对这些效应的调节作用:大鼠分为 4 组:(1) 车辆-睡眠不足组 (VUD) (2) 车辆-睡眠不足组 (VSD) (3) B-TCE 预处理睡眠不足组 (TSD) (4) B-TCE 预处理睡眠不足组 (TUD)。给 TSD 组和 TUD 组动物注射 35 毫克/千克的 B-三氯乙烷,每天一次,连续 15 天,然后用轻柔手法剥夺 VSD 组和 TSD 组动物 12 小时的睡眠(上午 6 时至下午 6 时),而 VUD 组和 TUD 组动物则不受干扰。VSD 组动物的 SD 增加了氧化应激、肝功能紊乱和血脂异常,而 B-TCE 预处理可改善这些症状。此外,还观察到 B-TCE 以 AMPK 及其下游脂质代谢途径以及细胞存活的 p-Akt/cyclinD1/p-bad 途径为靶点,这可能是其保肝活性的潜在机制:这些研究结果表明,B-TCE作为一种多成分提取物,可能是一种潜在的药物,可以缓解睡眠相关问题,预防绝经后妇女与SD相关的肝毒性和血脂异常。
本文章由计算机程序翻译,如有差异,请以英文原文为准。
求助全文
约1分钟内获得全文 求助全文
来源期刊
CiteScore
4.40
自引率
0.00%
发文量
32
审稿时长
8 weeks
×
引用
GB/T 7714-2015
复制
MLA
复制
APA
复制
导出至
BibTeX EndNote RefMan NoteFirst NoteExpress
×
提示
您的信息不完整,为了账户安全,请先补充。
现在去补充
×
提示
您因"违规操作"
具体请查看互助需知
我知道了
×
提示
确定
请完成安全验证×
copy
已复制链接
快去分享给好友吧!
我知道了
右上角分享
点击右上角分享
0
联系我们:info@booksci.cn Book学术提供免费学术资源搜索服务,方便国内外学者检索中英文文献。致力于提供最便捷和优质的服务体验。 Copyright © 2023 布克学术 All rights reserved.
京ICP备2023020795号-1
ghs 京公网安备 11010802042870号
Book学术文献互助
Book学术文献互助群
群 号:604180095
Book学术官方微信