Antineutrophil Cytoplasmic Antibody Vasculitis after Coronary Artery Bypass Grafting.

IF 0.5 Q4 SURGERY
Case Reports in Surgery Pub Date : 2024-08-12 eCollection Date: 2024-01-01 DOI:10.1155/2024/1212538
Dwight D Harris, Sharif A Sabe, Afshin Ehsan
{"title":"Antineutrophil Cytoplasmic Antibody Vasculitis after Coronary Artery Bypass Grafting.","authors":"Dwight D Harris, Sharif A Sabe, Afshin Ehsan","doi":"10.1155/2024/1212538","DOIUrl":null,"url":null,"abstract":"<p><p>Antineutrophil cytoplasmic antibody (ANCA)-associated vasculitis is a group of rare autoimmune disorders associated with the presence of ANCA autoantibodies. We present the first reported case of acute ANCA-associated vasculitis following coronary artery bypass grafting in a 74-year-old male presenting on postoperative day 13 with shortness of breath, orthopnea, and acute kidney injury. Renal biopsy ultimately showed focal necrotizing and crescentic glomerulonephritis, and the patient was successfully managed with corticosteroids and outpatient rituximab. This rare case highlights the importance of having an expanded differential for uncommon causes of cardiovascular disease and unexpected outcomes after coronary artery bypass grafting.</p>","PeriodicalId":9600,"journal":{"name":"Case Reports in Surgery","volume":"2024 ","pages":"1212538"},"PeriodicalIF":0.5000,"publicationDate":"2024-08-12","publicationTypes":"Journal Article","fieldsOfStudy":null,"isOpenAccess":false,"openAccessPdf":"https://www.ncbi.nlm.nih.gov/pmc/articles/PMC11333136/pdf/","citationCount":"0","resultStr":null,"platform":"Semanticscholar","paperid":null,"PeriodicalName":"Case Reports in Surgery","FirstCategoryId":"1085","ListUrlMain":"https://doi.org/10.1155/2024/1212538","RegionNum":0,"RegionCategory":null,"ArticlePicture":[],"TitleCN":null,"AbstractTextCN":null,"PMCID":null,"EPubDate":"2024/1/1 0:00:00","PubModel":"eCollection","JCR":"Q4","JCRName":"SURGERY","Score":null,"Total":0}
引用次数: 0

Abstract

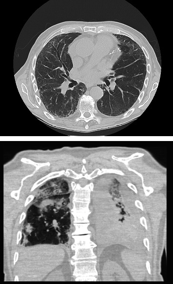
Antineutrophil cytoplasmic antibody (ANCA)-associated vasculitis is a group of rare autoimmune disorders associated with the presence of ANCA autoantibodies. We present the first reported case of acute ANCA-associated vasculitis following coronary artery bypass grafting in a 74-year-old male presenting on postoperative day 13 with shortness of breath, orthopnea, and acute kidney injury. Renal biopsy ultimately showed focal necrotizing and crescentic glomerulonephritis, and the patient was successfully managed with corticosteroids and outpatient rituximab. This rare case highlights the importance of having an expanded differential for uncommon causes of cardiovascular disease and unexpected outcomes after coronary artery bypass grafting.

Abstract Image

冠状动脉旁路移植术后的抗中性粒细胞胞浆抗体血管炎
抗中性粒细胞胞浆抗体(ANCA)相关性血管炎是一组罕见的自身免疫性疾病,与 ANCA 自身抗体的存在有关。我们报告了首例冠状动脉旁路移植术后急性 ANCA 相关性血管炎的病例,患者是一名 74 岁的男性,术后第 13 天出现气短、呼吸困难和急性肾损伤。肾活检最终显示患者患有局灶性坏死性和新月体性肾小球肾炎,使用皮质类固醇和门诊利妥昔单抗后患者病情得到成功控制。这一罕见病例凸显了在冠状动脉旁路移植术后对心血管疾病的不常见原因和意外结果进行扩大鉴别的重要性。
本文章由计算机程序翻译,如有差异,请以英文原文为准。
求助全文
约1分钟内获得全文 求助全文
来源期刊
自引率
0.00%
发文量
60
审稿时长
13 weeks
×
引用
GB/T 7714-2015
复制
MLA
复制
APA
复制
导出至
BibTeX EndNote RefMan NoteFirst NoteExpress
×
提示
您的信息不完整,为了账户安全,请先补充。
现在去补充
×
提示
您因"违规操作"
具体请查看互助需知
我知道了
×
提示
确定
请完成安全验证×
copy
已复制链接
快去分享给好友吧!
我知道了
右上角分享
点击右上角分享
0
联系我们:info@booksci.cn Book学术提供免费学术资源搜索服务,方便国内外学者检索中英文文献。致力于提供最便捷和优质的服务体验。 Copyright © 2023 布克学术 All rights reserved.
京ICP备2023020795号-1
ghs 京公网安备 11010802042870号
Book学术文献互助
Book学术文献互助群
群 号:604180095
Book学术官方微信