Efficient Method for Rapid Diagnosis of Streptococcal Pneumoniae in the Context of Co-Infection in Children-Case Report.

IF 1.7 Q2 PEDIATRICS
Pediatric health, medicine and therapeutics Pub Date : 2024-08-13 eCollection Date: 2024-01-01 DOI:10.2147/PHMT.S467351
Loredana Stavar-Matei, Oana-Mariana Mihailov, Alexandra-Mihaela Crestez, Anamaria Madalina Alexandru, Cristina-Mihaela Popescu, Aurel Nechita
{"title":"Efficient Method for Rapid Diagnosis of Streptococcal Pneumoniae in the Context of Co-Infection in Children-Case Report.","authors":"Loredana Stavar-Matei, Oana-Mariana Mihailov, Alexandra-Mihaela Crestez, Anamaria Madalina Alexandru, Cristina-Mihaela Popescu, Aurel Nechita","doi":"10.2147/PHMT.S467351","DOIUrl":null,"url":null,"abstract":"<p><strong>Background: </strong>Bacterial pneumonia caused by <i>Streptococcus pneumoniae</i> continues to be one of the most common medical conditions in the pediatric population under 5 years of age, sometimes requiring prolonged hospitalizations and high costs. The time period (3 to 7 days) from the collection of biological samples (ie nasal exudate, pharyngeal exudate, sputum, blood culture and various secretions) to the arrival of the results has been a much discussed issue. Thus, the use of a rapid diagnostic test for <i>Streptococcus pneumoniae</i> urinary antigen, which is easy to use, may lead after the result is known to a targeted therapeutic management and thus to a favorable prognosis of the disease for the patient.</p><p><strong>Methods: </strong>This case report presents the case of a 4 years and 5 months old patient diagnosed with invasive pneumococcal-associated pneumococcal infection in the context of SARS-COV2 infection.</p><p><strong>Results: </strong>The clinical course was slowly favorable with complications that required a long hospitalization.</p><p><strong>Conclusion: </strong>In conclusion, some rapid diagnostic techniques, clinician judgment and some prevention methods, such as vaccination, can improve a patient's quality of life. One prospect for the future would be the development of new vaccines covering other aggressive <i>Streptococcus pneumoniae</i> serotypes.</p>","PeriodicalId":74410,"journal":{"name":"Pediatric health, medicine and therapeutics","volume":"15 ","pages":"273-278"},"PeriodicalIF":1.7000,"publicationDate":"2024-08-13","publicationTypes":"Journal Article","fieldsOfStudy":null,"isOpenAccess":false,"openAccessPdf":"https://www.ncbi.nlm.nih.gov/pmc/articles/PMC11330237/pdf/","citationCount":"0","resultStr":null,"platform":"Semanticscholar","paperid":null,"PeriodicalName":"Pediatric health, medicine and therapeutics","FirstCategoryId":"1085","ListUrlMain":"https://doi.org/10.2147/PHMT.S467351","RegionNum":0,"RegionCategory":null,"ArticlePicture":[],"TitleCN":null,"AbstractTextCN":null,"PMCID":null,"EPubDate":"2024/1/1 0:00:00","PubModel":"eCollection","JCR":"Q2","JCRName":"PEDIATRICS","Score":null,"Total":0}
引用次数: 0

Abstract

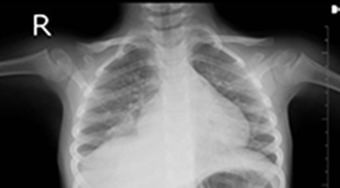
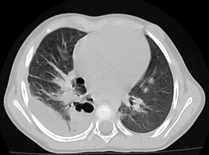
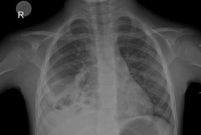
Background: Bacterial pneumonia caused by Streptococcus pneumoniae continues to be one of the most common medical conditions in the pediatric population under 5 years of age, sometimes requiring prolonged hospitalizations and high costs. The time period (3 to 7 days) from the collection of biological samples (ie nasal exudate, pharyngeal exudate, sputum, blood culture and various secretions) to the arrival of the results has been a much discussed issue. Thus, the use of a rapid diagnostic test for Streptococcus pneumoniae urinary antigen, which is easy to use, may lead after the result is known to a targeted therapeutic management and thus to a favorable prognosis of the disease for the patient.

Methods: This case report presents the case of a 4 years and 5 months old patient diagnosed with invasive pneumococcal-associated pneumococcal infection in the context of SARS-COV2 infection.

Results: The clinical course was slowly favorable with complications that required a long hospitalization.

Conclusion: In conclusion, some rapid diagnostic techniques, clinician judgment and some prevention methods, such as vaccination, can improve a patient's quality of life. One prospect for the future would be the development of new vaccines covering other aggressive Streptococcus pneumoniae serotypes.

Abstract Image

Abstract Image

Abstract Image

在儿童合并感染的情况下快速诊断肺炎链球菌的有效方法--病例报告。
背景:肺炎链球菌引起的细菌性肺炎仍是 5 岁以下儿童最常见的病症之一,有时需要长期住院治疗,费用高昂。从采集生物样本(即鼻腔渗出物、咽部渗出物、痰液、血液培养物和各种分泌物)到得出结果所需的时间(3 至 7 天)一直是一个备受讨论的问题。因此,使用方便的肺炎链球菌尿抗原快速诊断检测可在结果出来后采取有针对性的治疗措施,从而使患者的病情得到良好的预后:本病例报告的病例是一名 4 岁 5 个月大的患者,在感染 SARS-COV2 的情况下被诊断为侵袭性肺炎球菌相关肺炎球菌感染:临床病程缓慢,并发症较多,需要长期住院治疗:总之,一些快速诊断技术、临床医生的判断和一些预防方法(如接种疫苗)可以提高患者的生活质量。未来的发展前景之一是开发新的疫苗,涵盖其他侵袭性肺炎链球菌血清型。
本文章由计算机程序翻译,如有差异,请以英文原文为准。
求助全文
约1分钟内获得全文 求助全文
来源期刊
自引率
0.00%
发文量
0
审稿时长
16 weeks
×
引用
GB/T 7714-2015
复制
MLA
复制
APA
复制
导出至
BibTeX EndNote RefMan NoteFirst NoteExpress
×
提示
您的信息不完整,为了账户安全,请先补充。
现在去补充
×
提示
您因"违规操作"
具体请查看互助需知
我知道了
×
提示
确定
请完成安全验证×
copy
已复制链接
快去分享给好友吧!
我知道了
右上角分享
点击右上角分享
0
联系我们:info@booksci.cn Book学术提供免费学术资源搜索服务,方便国内外学者检索中英文文献。致力于提供最便捷和优质的服务体验。 Copyright © 2023 布克学术 All rights reserved.
京ICP备2023020795号-1
ghs 京公网安备 11010802042870号
Book学术文献互助
Book学术文献互助群
群 号:604180095
Book学术官方微信