Effect of season on histoarchitecture of pineal gland in buffalo (Bubalus bubalis).

IF 1 4区 农林科学 Q3 VETERINARY SCIENCES
A Sharma, V Kumar, V K Singh, T K Patbandha, Y L Vyas
{"title":"Effect of season on histoarchitecture of pineal gland in buffalo (<i>Bubalus bubalis</i>).","authors":"A Sharma, V Kumar, V K Singh, T K Patbandha, Y L Vyas","doi":"10.22099/IJVR.2024.48516.7084","DOIUrl":null,"url":null,"abstract":"<p><strong>Background: </strong>The photoperiod and other seasonal variations are the key factors that affect reproduction and production of the animals. The pineal gland secretes melatonin hormone that affects several physiological functions of the body during different seasons.</p><p><strong>Aims: </strong>The present study was conducted to study the histoarchitectural and micrometrical changes in the pineal gland of buffalo (<i>Bubalus bubalis</i>) during different seasons of the year.</p><p><strong>Methods: </strong>Pineal glands of 30 adult female Jaffarabadi buffaloes were collected from the slaughterhouse during the winter, summer, and rainy seasons. Samples were processed by standard histological procedures and stained with various stains for histological and micrometrical observations.</p><p><strong>Results: </strong>The pinealocytes constituted a major cellular portion of pineal parenchyma. The pinealocyte nuclei were lightly stained and more euchromatic during the winter season whereas darkly stained and slightly heterochromatic during summer. The calcium deposits occupied a larger area of pineal parenchyma during the summer as compared to the winter season. The pinealocyte density, the nuclear diameter of pinealocytes, and the number of argyrophilic nucleolar organizer regions (AgNOR) were highest during the winter season as compared to the summer and rainy seasons.</p><p><strong>Conclusion: </strong>The present study shows the influence of season on the histoarchitecture and histometry of the pineal gland of buffalo and indicated higher pineal activity during the winter season in this species.</p>","PeriodicalId":14629,"journal":{"name":"Iranian journal of veterinary research","volume":"25 1","pages":"54-61"},"PeriodicalIF":1.0000,"publicationDate":"2024-01-01","publicationTypes":"Journal Article","fieldsOfStudy":null,"isOpenAccess":false,"openAccessPdf":"https://www.ncbi.nlm.nih.gov/pmc/articles/PMC11327651/pdf/","citationCount":"0","resultStr":null,"platform":"Semanticscholar","paperid":null,"PeriodicalName":"Iranian journal of veterinary research","FirstCategoryId":"97","ListUrlMain":"https://doi.org/10.22099/IJVR.2024.48516.7084","RegionNum":4,"RegionCategory":"农林科学","ArticlePicture":[],"TitleCN":null,"AbstractTextCN":null,"PMCID":null,"EPubDate":"","PubModel":"","JCR":"Q3","JCRName":"VETERINARY SCIENCES","Score":null,"Total":0}
引用次数: 0

Abstract

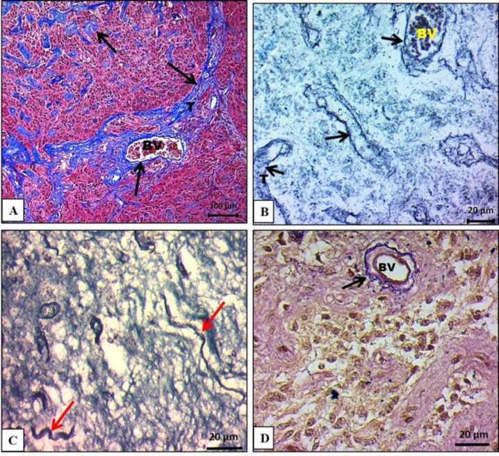
Background: The photoperiod and other seasonal variations are the key factors that affect reproduction and production of the animals. The pineal gland secretes melatonin hormone that affects several physiological functions of the body during different seasons.

Aims: The present study was conducted to study the histoarchitectural and micrometrical changes in the pineal gland of buffalo (Bubalus bubalis) during different seasons of the year.

Methods: Pineal glands of 30 adult female Jaffarabadi buffaloes were collected from the slaughterhouse during the winter, summer, and rainy seasons. Samples were processed by standard histological procedures and stained with various stains for histological and micrometrical observations.

Results: The pinealocytes constituted a major cellular portion of pineal parenchyma. The pinealocyte nuclei were lightly stained and more euchromatic during the winter season whereas darkly stained and slightly heterochromatic during summer. The calcium deposits occupied a larger area of pineal parenchyma during the summer as compared to the winter season. The pinealocyte density, the nuclear diameter of pinealocytes, and the number of argyrophilic nucleolar organizer regions (AgNOR) were highest during the winter season as compared to the summer and rainy seasons.

Conclusion: The present study shows the influence of season on the histoarchitecture and histometry of the pineal gland of buffalo and indicated higher pineal activity during the winter season in this species.

Abstract Image

Abstract Image

Abstract Image

季节对水牛松果体组织结构的影响
背景:光周期和其他季节变化是影响动物繁殖和生产的关键因素。松果体分泌的褪黑激素在不同季节会影响机体的多种生理功能。研究目的:本研究旨在研究水牛松果体在一年中不同季节的组织结构和微观结构变化:方法:在冬季、夏季和雨季从屠宰场采集了 30 头成年雌性贾法拉巴迪水牛的松果体。采用标准组织学程序处理样本,并用各种染色剂对样本进行组织学和微观观察:松果体细胞是松果体实质的主要细胞部分。松果体细胞核在冬季呈浅色染色,多为单色,而在夏季呈深色染色,略呈异色。与冬季相比,夏季钙沉积占据松果体实质的面积更大。与夏季和雨季相比,冬季松果体细胞密度、松果体细胞核直径和嗜箭核组织区(AgNOR)数量最高:本研究显示了季节对水牛松果体组织结构和组织测量的影响,并表明水牛在冬季的松果体活性较高。
本文章由计算机程序翻译,如有差异,请以英文原文为准。
求助全文
约1分钟内获得全文 求助全文
来源期刊
CiteScore
1.70
自引率
8.30%
发文量
10
期刊介绍: The Iranian Journal of Veterinary Research(IJVR) is published quarterly in 4 issues. The aims of this journal are to improve and expand knowledge in all veterinary fields. It is an international journal indexed by the Thomson Institute for Scientific Information (ISI), Elsevier, Scopus, CAB International, Veterinary Bulletin and several other international databases. Research papers and reports on a wide range of veterinary topics are published in the journal after being evaluated by expert reviewers.The Editor-in-Chief is responsible for the editorial content of the journal—including peer-reviewed manuscripts—and the timing of its publication.
×
引用
GB/T 7714-2015
复制
MLA
复制
APA
复制
导出至
BibTeX EndNote RefMan NoteFirst NoteExpress
×
提示
您的信息不完整,为了账户安全,请先补充。
现在去补充
×
提示
您因"违规操作"
具体请查看互助需知
我知道了
×
提示
确定
请完成安全验证×
copy
已复制链接
快去分享给好友吧!
我知道了
右上角分享
点击右上角分享
0
联系我们:info@booksci.cn Book学术提供免费学术资源搜索服务,方便国内外学者检索中英文文献。致力于提供最便捷和优质的服务体验。 Copyright © 2023 布克学术 All rights reserved.
京ICP备2023020795号-1
ghs 京公网安备 11010802042870号
Book学术文献互助
Book学术文献互助群
群 号:604180095
Book学术官方微信