Distribution of maedi-visna virus in different organs of the spontaneously affected small ruminants in India.

IF 1 4区 农林科学 Q3 VETERINARY SCIENCES
Sh Valecha, H S Yadav, N Roopa, S D Vinaykumar, M Bhardwaj, V Singh, P Kumar
{"title":"Distribution of maedi-visna virus in different organs of the spontaneously affected small ruminants in India.","authors":"Sh Valecha, H S Yadav, N Roopa, S D Vinaykumar, M Bhardwaj, V Singh, P Kumar","doi":"10.22099/IJVR.2024.47429.6844","DOIUrl":null,"url":null,"abstract":"<p><strong>Background: </strong>Maedi-visna (MV) is a small ruminant lentiviral (SRLV) disease affecting sheep and goats, and causes pathological alterations in various organs including lungs, pulmonary lymph nodes, mammary glands, joints, and CNS. <b>Aims:</b> Present study was focused to detect the MV virus (MVV) nucleic acid and MVV p28 antigen in different organs of the spontaneously MVV affected sheep and goats.</p><p><strong>Methods: </strong>Total of 657 samples were collected from sheep and goats (169 blood, 136 lungs, 96 pulmonary lymph nodes, 74 brain, 54 mammary gland, 78 joints, and 50 spleen) and screened for MVV nucleic acid using nested PCR assay. Serum samples were screened for SRLV antibodies by cELISA. Immunolocalization of MVV was demonstrated by using the polyclonal antibody against p28 antigen by immunohistochemistry in lungs, lymph nodes, mammary glands, and joint tissues.</p><p><strong>Results: </strong>Out of 657 samples, 10.7% (70) were found positive for MVV. Among different organs, lungs showed highest positivity (25.7%) followed by mammary glands (14.8%), blood (9.5%), joint tissues (7.7%), brain (5.4%), and pulmonary lymph node (1.0%). SRLV antibodies were detected in 29.2% of the serum samples of both sheep and goats by cELISA. MVV p28 antigen immunostaining was observed in lungs, lymph nodes, mammary glands, and joint tissues. However, the presence of MVV p28 antigen could not be demonstrated in the brain tissues.</p><p><strong>Conclusion: </strong>The highest positivity of MVV in lung tissues indicated higher predilection of the virus in the pulmonary tissue.</p>","PeriodicalId":14629,"journal":{"name":"Iranian journal of veterinary research","volume":"25 1","pages":"41-47"},"PeriodicalIF":1.0000,"publicationDate":"2024-01-01","publicationTypes":"Journal Article","fieldsOfStudy":null,"isOpenAccess":false,"openAccessPdf":"https://www.ncbi.nlm.nih.gov/pmc/articles/PMC11327649/pdf/","citationCount":"0","resultStr":null,"platform":"Semanticscholar","paperid":null,"PeriodicalName":"Iranian journal of veterinary research","FirstCategoryId":"97","ListUrlMain":"https://doi.org/10.22099/IJVR.2024.47429.6844","RegionNum":4,"RegionCategory":"农林科学","ArticlePicture":[],"TitleCN":null,"AbstractTextCN":null,"PMCID":null,"EPubDate":"","PubModel":"","JCR":"Q3","JCRName":"VETERINARY SCIENCES","Score":null,"Total":0}
引用次数: 0

Abstract

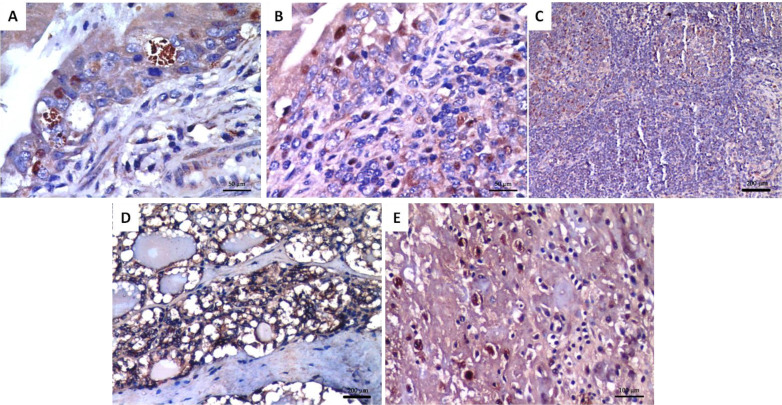
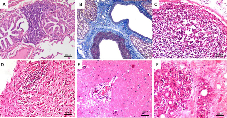
Background: Maedi-visna (MV) is a small ruminant lentiviral (SRLV) disease affecting sheep and goats, and causes pathological alterations in various organs including lungs, pulmonary lymph nodes, mammary glands, joints, and CNS. Aims: Present study was focused to detect the MV virus (MVV) nucleic acid and MVV p28 antigen in different organs of the spontaneously MVV affected sheep and goats.

Methods: Total of 657 samples were collected from sheep and goats (169 blood, 136 lungs, 96 pulmonary lymph nodes, 74 brain, 54 mammary gland, 78 joints, and 50 spleen) and screened for MVV nucleic acid using nested PCR assay. Serum samples were screened for SRLV antibodies by cELISA. Immunolocalization of MVV was demonstrated by using the polyclonal antibody against p28 antigen by immunohistochemistry in lungs, lymph nodes, mammary glands, and joint tissues.

Results: Out of 657 samples, 10.7% (70) were found positive for MVV. Among different organs, lungs showed highest positivity (25.7%) followed by mammary glands (14.8%), blood (9.5%), joint tissues (7.7%), brain (5.4%), and pulmonary lymph node (1.0%). SRLV antibodies were detected in 29.2% of the serum samples of both sheep and goats by cELISA. MVV p28 antigen immunostaining was observed in lungs, lymph nodes, mammary glands, and joint tissues. However, the presence of MVV p28 antigen could not be demonstrated in the brain tissues.

Conclusion: The highest positivity of MVV in lung tissues indicated higher predilection of the virus in the pulmonary tissue.

Abstract Image

Abstract Image

Abstract Image

印度自发感染的小反刍动物不同器官中马埃迪-维斯纳病毒的分布。
背景:Maedi-visna(MV)是一种影响绵羊和山羊的小型反刍动物慢病毒(SRLV)疾病,会导致包括肺、肺淋巴结、乳腺、关节和中枢神经系统在内的多个器官发生病理改变。目的:本研究的重点是检测自发感染 MVV 的绵羊和山羊不同器官中的 MVV 病毒(MVV)核酸和 MVV p28 抗原:方法:共收集了 657 份绵羊和山羊样本(169 份血液样本、136 份肺样本、96 份肺淋巴结样本、74 份脑样本、54 份乳腺样本、78 份关节样本和 50 份脾脏样本),并使用巢式 PCR 法检测 MVV 核酸。血清样本通过 cELISA 检测 SRLV 抗体。使用抗 p28 抗原的多克隆抗体对肺部、淋巴结、乳腺和关节组织进行免疫组化,以证明 MVV 的免疫定位:在 657 份样本中,10.7%(70 份)对 MVV 呈阳性。在不同器官中,肺的阳性率最高(25.7%),其次是乳腺(14.8%)、血液(9.5%)、关节组织(7.7%)、脑(5.4%)和肺淋巴结(1.0%)。通过 cELISA 法,在 29.2% 的绵羊和山羊血清样本中检测到 SRLV 抗体。在肺、淋巴结、乳腺和关节组织中观察到 MVV p28 抗原免疫染色。结论:在绵羊和山羊中,MVV p28 抗原的阳性率最高:结论:MVV 在肺组织中的阳性率最高,表明病毒更倾向于在肺组织中传播。
本文章由计算机程序翻译,如有差异,请以英文原文为准。
求助全文
约1分钟内获得全文 求助全文
来源期刊
CiteScore
1.70
自引率
8.30%
发文量
10
期刊介绍: The Iranian Journal of Veterinary Research(IJVR) is published quarterly in 4 issues. The aims of this journal are to improve and expand knowledge in all veterinary fields. It is an international journal indexed by the Thomson Institute for Scientific Information (ISI), Elsevier, Scopus, CAB International, Veterinary Bulletin and several other international databases. Research papers and reports on a wide range of veterinary topics are published in the journal after being evaluated by expert reviewers.The Editor-in-Chief is responsible for the editorial content of the journal—including peer-reviewed manuscripts—and the timing of its publication.
×
引用
GB/T 7714-2015
复制
MLA
复制
APA
复制
导出至
BibTeX EndNote RefMan NoteFirst NoteExpress
×
提示
您的信息不完整,为了账户安全,请先补充。
现在去补充
×
提示
您因"违规操作"
具体请查看互助需知
我知道了
×
提示
确定
请完成安全验证×
copy
已复制链接
快去分享给好友吧!
我知道了
右上角分享
点击右上角分享
0
联系我们:info@booksci.cn Book学术提供免费学术资源搜索服务,方便国内外学者检索中英文文献。致力于提供最便捷和优质的服务体验。 Copyright © 2023 布克学术 All rights reserved.
京ICP备2023020795号-1
ghs 京公网安备 11010802042870号
Book学术文献互助
Book学术文献互助群
群 号:604180095
Book学术官方微信