Comparison of preoperative diagnostic performance between dual-energy CT, conventional CT, and MRI in endometrial cancer.

Polish journal of radiology Pub Date : 2024-07-26 eCollection Date: 2024-01-01 DOI:10.5114/pjr/189487
Miki Yoshida, Tsukasa Saida, Kensaku Mori, Sodai Hoshiai, Masafumi Sakai, Taishi Amano, Saki Shibuki, Mariko Miyata, Toyomi Sato, Takahito Nakajima
{"title":"Comparison of preoperative diagnostic performance between dual-energy CT, conventional CT, and MRI in endometrial cancer.","authors":"Miki Yoshida, Tsukasa Saida, Kensaku Mori, Sodai Hoshiai, Masafumi Sakai, Taishi Amano, Saki Shibuki, Mariko Miyata, Toyomi Sato, Takahito Nakajima","doi":"10.5114/pjr/189487","DOIUrl":null,"url":null,"abstract":"<p><strong>Purpose: </strong>To compare the diagnostic performance of virtual monoenergetic imaging (VMI), computed tomography (CT), and magnetic resonance imaging (MRI) in patients with endometrial cancer (EC).</p><p><strong>Material and methods: </strong>This retrospective study analysed 45 EC patients (mean age: 62 years, range: 44-84 years) undergoing contrast-enhanced CT with dual-energy CT (DECT) and MRI between September 2021 and October 2022. Dual-energy CT generated conventional CT (C-CT) and 40 keV VMI. Quantitative analysis compared contrast-to-noise ratio (CNR) of tumour to myometrium between C-CT and VMI. Qualitative assessment by 5 radiologists compared C-CT, VMI, and MRI for myometrial invasion (MI), cervical invasion, and lymph node metastasis. Sensitivity, specificity, accuracy, and area under the receiver operating characteristic curve (AUC) were calculated and compared for each diagnostic parameter.</p><p><strong>Results: </strong>Virtual monoenergetic imaging showed significantly higher CNR than C-CT (<i>p</i> < 0.001) and a higher sensitivity for MI than C-CT (<i>p</i> = 0.027) and MRI (<i>p</i> = 0.011) but lower specificity than MRI (<i>p</i> = 0.018). C-CT had a higher sensitivity and AUC for cervical invasion than MRI (<i>p</i> = 0.018 and 0.004, respectively).</p><p><strong>Conclusions: </strong>The study found no significant superiority of MRI over CT across all diagnostic parameters. VMI demonstrated heightened sensitivity for MI, and C-CT showed greater sensitivity and AUC for cervical invasion than MRI. This suggests that combining VMI with C-CT holds promise as a comprehensive preoperative staging tool for EC when MRI cannot be performed.</p>","PeriodicalId":94174,"journal":{"name":"Polish journal of radiology","volume":"89 ","pages":"e358-e367"},"PeriodicalIF":0.0000,"publicationDate":"2024-07-26","publicationTypes":"Journal Article","fieldsOfStudy":null,"isOpenAccess":false,"openAccessPdf":"https://www.ncbi.nlm.nih.gov/pmc/articles/PMC11321031/pdf/","citationCount":"0","resultStr":null,"platform":"Semanticscholar","paperid":null,"PeriodicalName":"Polish journal of radiology","FirstCategoryId":"1085","ListUrlMain":"https://doi.org/10.5114/pjr/189487","RegionNum":0,"RegionCategory":null,"ArticlePicture":[],"TitleCN":null,"AbstractTextCN":null,"PMCID":null,"EPubDate":"2024/1/1 0:00:00","PubModel":"eCollection","JCR":"","JCRName":"","Score":null,"Total":0}
引用次数: 0

Abstract

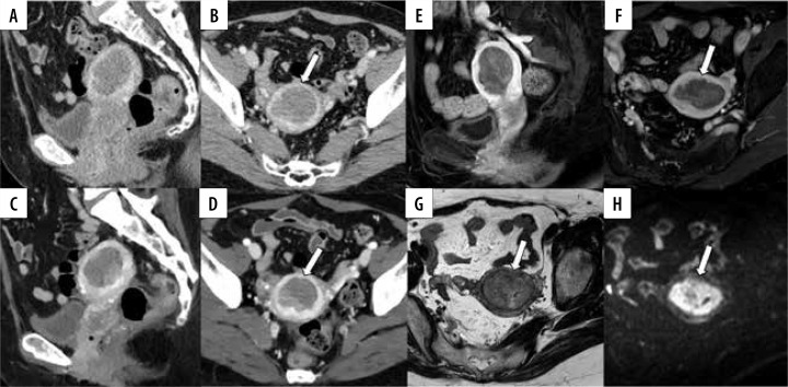
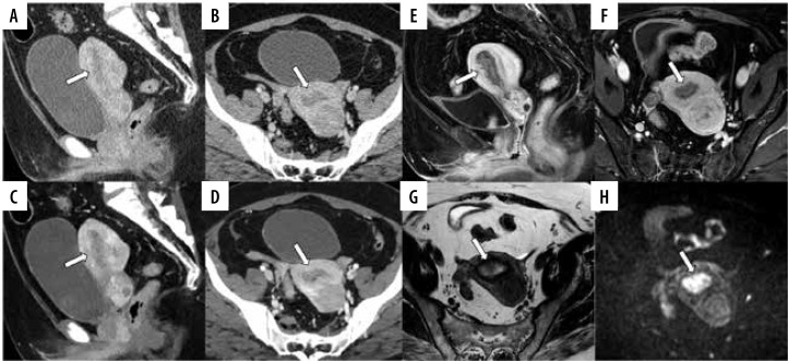
Purpose: To compare the diagnostic performance of virtual monoenergetic imaging (VMI), computed tomography (CT), and magnetic resonance imaging (MRI) in patients with endometrial cancer (EC).

Material and methods: This retrospective study analysed 45 EC patients (mean age: 62 years, range: 44-84 years) undergoing contrast-enhanced CT with dual-energy CT (DECT) and MRI between September 2021 and October 2022. Dual-energy CT generated conventional CT (C-CT) and 40 keV VMI. Quantitative analysis compared contrast-to-noise ratio (CNR) of tumour to myometrium between C-CT and VMI. Qualitative assessment by 5 radiologists compared C-CT, VMI, and MRI for myometrial invasion (MI), cervical invasion, and lymph node metastasis. Sensitivity, specificity, accuracy, and area under the receiver operating characteristic curve (AUC) were calculated and compared for each diagnostic parameter.

Results: Virtual monoenergetic imaging showed significantly higher CNR than C-CT (p < 0.001) and a higher sensitivity for MI than C-CT (p = 0.027) and MRI (p = 0.011) but lower specificity than MRI (p = 0.018). C-CT had a higher sensitivity and AUC for cervical invasion than MRI (p = 0.018 and 0.004, respectively).

Conclusions: The study found no significant superiority of MRI over CT across all diagnostic parameters. VMI demonstrated heightened sensitivity for MI, and C-CT showed greater sensitivity and AUC for cervical invasion than MRI. This suggests that combining VMI with C-CT holds promise as a comprehensive preoperative staging tool for EC when MRI cannot be performed.

Abstract Image

Abstract Image

Abstract Image

双能 CT、传统 CT 和核磁共振成像对子宫内膜癌术前诊断效果的比较。
目的:比较虚拟单能成像(VMI)、计算机断层扫描(CT)和磁共振成像(MRI)对子宫内膜癌(EC)患者的诊断性能:这项回顾性研究分析了2021年9月至2022年10月期间接受对比增强CT与双能CT(DECT)和MRI检查的45名子宫内膜癌患者(平均年龄:62岁,范围:44-84岁)。双能 CT 产生常规 CT(C-CT)和 40 keV VMI。定量分析比较了 C-CT 和 VMI 之间肿瘤与子宫肌层的对比噪声比 (CNR)。由 5 位放射科医生对 C-CT、VMI 和 MRI 进行定性评估,比较子宫肌层侵犯(MI)、宫颈侵犯和淋巴结转移的情况。计算并比较了每个诊断参数的敏感性、特异性、准确性和接收者操作特征曲线下面积(AUC):虚拟单能量成像显示的 CNR 明显高于 C-CT(p < 0.001),对 MI 的敏感性高于 C-CT(p = 0.027)和 MRI(p = 0.011),但特异性低于 MRI(p = 0.018)。C-CT对颈椎侵犯的敏感性和AUC均高于核磁共振成像(p = 0.018和0.004):研究发现,在所有诊断参数上,核磁共振成像都没有明显优于 CT。VMI显示出对MI更高的敏感性,而C-CT显示出比MRI更高的宫颈侵犯敏感性和AUC。这表明,在无法进行核磁共振成像的情况下,将 VMI 与 C-CT 结合使用有望成为 EC 的术前综合分期工具。
本文章由计算机程序翻译,如有差异,请以英文原文为准。
求助全文
约1分钟内获得全文 求助全文
来源期刊
CiteScore
2.10
自引率
0.00%
发文量
0
×
引用
GB/T 7714-2015
复制
MLA
复制
APA
复制
导出至
BibTeX EndNote RefMan NoteFirst NoteExpress
×
提示
您的信息不完整,为了账户安全,请先补充。
现在去补充
×
提示
您因"违规操作"
具体请查看互助需知
我知道了
×
提示
确定
请完成安全验证×
copy
已复制链接
快去分享给好友吧!
我知道了
右上角分享
点击右上角分享
0
联系我们:info@booksci.cn Book学术提供免费学术资源搜索服务,方便国内外学者检索中英文文献。致力于提供最便捷和优质的服务体验。 Copyright © 2023 布克学术 All rights reserved.
京ICP备2023020795号-1
ghs 京公网安备 11010802042870号
Book学术文献互助
Book学术文献互助群
群 号:604180095
Book学术官方微信