Bartonella henselae Hepatic Abscesses and Associated Osteomyelitis in a Pediatric Patient.

IF 0.8 Q4 INFECTIOUS DISEASES
Case Reports in Infectious Diseases Pub Date : 2024-08-05 eCollection Date: 2024-01-01 DOI:10.1155/2024/7810497
Molly Antonson, Lauren Klingemann, Kari Neemann
{"title":"<i>Bartonella henselae</i> Hepatic Abscesses and Associated Osteomyelitis in a Pediatric Patient.","authors":"Molly Antonson, Lauren Klingemann, Kari Neemann","doi":"10.1155/2024/7810497","DOIUrl":null,"url":null,"abstract":"<p><p><i>Bartonella henselae</i> is a Gram-negative bacillus transmitted to humans via cat saliva or scratch. Cat scratch disease, the typical clinical manifestation of <i>B. henselae</i> infection, presents as localized cutaneous or regional lymphadenopathy. Rare, atypical presentations, generally reflecting bloodborne disseminated disease, can include hepatosplenic, cardiac, ocular, neurologic, or musculoskeletal involvement. Here, we present a case of disseminated <i>B. henselae</i> with hepatic abscesses and associated ischial osteomyelitis in an immunocompetent 2-year-old male patient. Although osteomyelitis is a rare manifestation of <i>B. henselae</i> infection, it should be included in the differential diagnosis in pediatric patients presenting with fever of unknown origin and musculoskeletal pain, especially in the setting of cat exposure. Hepatic involvement of <i>B. henselae</i> infection is associated with significant morbidity; therefore, abdominal imaging is critical in the diagnostic workup. This patient was successfully treated after a 6-week course of azithromycin and rifampin, as evidenced by symptom resolution and improved fluid collections on repeat imaging. While most cases of <i>B. henselae</i> resolve without treatment, in severe or disseminated infection such as this case, antibiotics such as azithromycin and rifampin should be considered for treatment.</p>","PeriodicalId":9608,"journal":{"name":"Case Reports in Infectious Diseases","volume":"2024 ","pages":"7810497"},"PeriodicalIF":0.8000,"publicationDate":"2024-08-05","publicationTypes":"Journal Article","fieldsOfStudy":null,"isOpenAccess":false,"openAccessPdf":"https://www.ncbi.nlm.nih.gov/pmc/articles/PMC11319044/pdf/","citationCount":"0","resultStr":null,"platform":"Semanticscholar","paperid":null,"PeriodicalName":"Case Reports in Infectious Diseases","FirstCategoryId":"1085","ListUrlMain":"https://doi.org/10.1155/2024/7810497","RegionNum":0,"RegionCategory":null,"ArticlePicture":[],"TitleCN":null,"AbstractTextCN":null,"PMCID":null,"EPubDate":"2024/1/1 0:00:00","PubModel":"eCollection","JCR":"Q4","JCRName":"INFECTIOUS DISEASES","Score":null,"Total":0}
引用次数: 0

Abstract

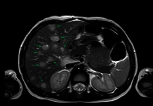
Bartonella henselae is a Gram-negative bacillus transmitted to humans via cat saliva or scratch. Cat scratch disease, the typical clinical manifestation of B. henselae infection, presents as localized cutaneous or regional lymphadenopathy. Rare, atypical presentations, generally reflecting bloodborne disseminated disease, can include hepatosplenic, cardiac, ocular, neurologic, or musculoskeletal involvement. Here, we present a case of disseminated B. henselae with hepatic abscesses and associated ischial osteomyelitis in an immunocompetent 2-year-old male patient. Although osteomyelitis is a rare manifestation of B. henselae infection, it should be included in the differential diagnosis in pediatric patients presenting with fever of unknown origin and musculoskeletal pain, especially in the setting of cat exposure. Hepatic involvement of B. henselae infection is associated with significant morbidity; therefore, abdominal imaging is critical in the diagnostic workup. This patient was successfully treated after a 6-week course of azithromycin and rifampin, as evidenced by symptom resolution and improved fluid collections on repeat imaging. While most cases of B. henselae resolve without treatment, in severe or disseminated infection such as this case, antibiotics such as azithromycin and rifampin should be considered for treatment.

Abstract Image

Abstract Image

Abstract Image

一名小儿患者的肝脓肿和相关骨髓炎(Bartonella henselae Hepatic Abscess and Associated Osteomyelitis)。
鸡巴顿氏菌是一种革兰氏阴性杆菌,通过猫的唾液或抓痕传播给人类。猫抓病是鸡巴顿氏菌感染的典型临床表现,表现为局部皮肤或区域淋巴结肿大。罕见的非典型表现通常反映了经血液传播的疾病,可包括肝脾脏、心脏、眼部、神经系统或肌肉骨骼受累。在此,我们介绍了一例散播性鸡疫杆菌肝脓肿及相关骶骨骨髓炎病例,患者为一名免疫功能正常的两岁男性。尽管骨髓炎是鸡疫杆菌感染的一种罕见表现,但对于出现不明原因发热和肌肉骨骼疼痛的儿童患者,尤其是接触过猫的患者,应将骨髓炎列入鉴别诊断。肝脏受累的鸡疫杆菌感染会导致严重的发病率;因此,腹部成像在诊断工作中至关重要。这名患者在接受了为期 6 周的阿奇霉素和利福平治疗后,症状得到缓解,再次造影时积液情况也有所改善,这证明治疗取得了成功。虽然大多数鸡球菌病例无需治疗即可痊愈,但对于像本病例这样的严重感染或播散性感染,应考虑使用阿奇霉素和利福平等抗生素进行治疗。
本文章由计算机程序翻译,如有差异,请以英文原文为准。
求助全文
约1分钟内获得全文 求助全文
来源期刊
自引率
0.00%
发文量
64
审稿时长
13 weeks
×
引用
GB/T 7714-2015
复制
MLA
复制
APA
复制
导出至
BibTeX EndNote RefMan NoteFirst NoteExpress
×
提示
您的信息不完整,为了账户安全,请先补充。
现在去补充
×
提示
您因"违规操作"
具体请查看互助需知
我知道了
×
提示
确定
请完成安全验证×
copy
已复制链接
快去分享给好友吧!
我知道了
右上角分享
点击右上角分享
0
联系我们:info@booksci.cn Book学术提供免费学术资源搜索服务,方便国内外学者检索中英文文献。致力于提供最便捷和优质的服务体验。 Copyright © 2023 布克学术 All rights reserved.
京ICP备2023020795号-1
ghs 京公网安备 11010802042870号
Book学术文献互助
Book学术文献互助群
群 号:604180095
Book学术官方微信