Effectiveness of the Ultrasound-Guided Interfascial Injection Applied in Addition to Physical Therapy Applications in Chronic Low Back Pain: A Quasi-Experimental Study.

IF 1.2 Q3 MEDICINE, GENERAL & INTERNAL
Burcu Metin Ökmen, Korgün Ökmen
{"title":"Effectiveness of the Ultrasound-Guided Interfascial Injection Applied in Addition to Physical Therapy Applications in Chronic Low Back Pain: A Quasi-Experimental Study.","authors":"Burcu Metin Ökmen, Korgün Ökmen","doi":"10.5152/eurasianjmed.2024.23286","DOIUrl":null,"url":null,"abstract":"<p><strong>Background: </strong> Anatomical and histological features of the thoracolumbar fascia may play an active role in chronic low back pain (LBP). This study aimed to evaluate the efcacy of interfascial injection in patients with LBP.</p><p><strong>Methods: </strong> Sixty participants with chronic LBP were recruited for this study. The patients were allocated to 2 groups: physical therapy (PT) (n=30) and PT+interfascial injection (IFI) (n=31, 10mL (0.25% bupivacaine)+methylprednisolone (40 mg) injection into the middle layer between the quadratus lumborum and erector spinae muscle). Outcome measures involved performing Numeric Rating Scale (NRS) and Oswestry Disability Index (ODI) scoring on study participants at pretreatment (PRT), as well as posttreatment at months first, second, fourth, and sixth.</p><p><strong>Results: </strong> In both groups, NRS and ODI scores were statistically significantly lower than PRT values at the first, second, third, fourth, and sixth months. (P <.05) NRS and ODI scores were significantly lower in the IFI and PT groups compared to the PT group at the first, second, fourth, and sixth months. (P <.05).</p><p><strong>Conclusion: </strong> The study result shows that IFI applied to the middle layer of the thoracolumbar fascia may be efective in individuals with chronic LBP. The efect of fascial structures on LBP should be further investigated.</p>","PeriodicalId":53592,"journal":{"name":"Eurasian Journal of Medicine","volume":"56 1","pages":"56-60"},"PeriodicalIF":1.2000,"publicationDate":"2024-02-01","publicationTypes":"Journal Article","fieldsOfStudy":null,"isOpenAccess":false,"openAccessPdf":"https://www.ncbi.nlm.nih.gov/pmc/articles/PMC11059940/pdf/","citationCount":"0","resultStr":null,"platform":"Semanticscholar","paperid":null,"PeriodicalName":"Eurasian Journal of Medicine","FirstCategoryId":"1085","ListUrlMain":"https://doi.org/10.5152/eurasianjmed.2024.23286","RegionNum":0,"RegionCategory":null,"ArticlePicture":[],"TitleCN":null,"AbstractTextCN":null,"PMCID":null,"EPubDate":"","PubModel":"","JCR":"Q3","JCRName":"MEDICINE, GENERAL & INTERNAL","Score":null,"Total":0}
引用次数: 0

Abstract

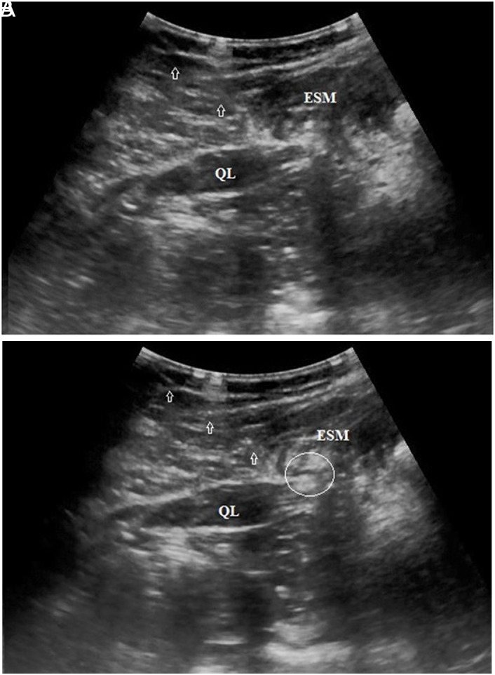
Background:  Anatomical and histological features of the thoracolumbar fascia may play an active role in chronic low back pain (LBP). This study aimed to evaluate the efcacy of interfascial injection in patients with LBP.

Methods:  Sixty participants with chronic LBP were recruited for this study. The patients were allocated to 2 groups: physical therapy (PT) (n=30) and PT+interfascial injection (IFI) (n=31, 10mL (0.25% bupivacaine)+methylprednisolone (40 mg) injection into the middle layer between the quadratus lumborum and erector spinae muscle). Outcome measures involved performing Numeric Rating Scale (NRS) and Oswestry Disability Index (ODI) scoring on study participants at pretreatment (PRT), as well as posttreatment at months first, second, fourth, and sixth.

Results:  In both groups, NRS and ODI scores were statistically significantly lower than PRT values at the first, second, third, fourth, and sixth months. (P <.05) NRS and ODI scores were significantly lower in the IFI and PT groups compared to the PT group at the first, second, fourth, and sixth months. (P <.05).

Conclusion:  The study result shows that IFI applied to the middle layer of the thoracolumbar fascia may be efective in individuals with chronic LBP. The efect of fascial structures on LBP should be further investigated.

Abstract Image

Abstract Image

Abstract Image

超声引导筋膜间注射与物理疗法相结合对慢性腰痛的疗效:一项准实验研究。
背景: 胸腰椎筋膜的解剖学和组织学特征可能在慢性腰背痛(LBP)中发挥着积极作用。本研究旨在评估筋膜间注射对腰背痛患者的疗效: 本研究招募了 60 名慢性腰背痛患者。患者被分为两组:物理治疗组(30 人)和物理治疗+筋膜间注射组(31 人,在腰四头肌和竖脊肌之间的中间层注射 10 毫升(0.25% 布比卡因)+ 甲基强的松龙(40 毫克))。结果测量包括在治疗前(PRT)以及治疗后第一、第二、第四和第六个月对研究参与者进行数值评定量表(NRS)和Oswestry残疾指数(ODI)评分: 两组患者在治疗后第一、第二、第三、第四和第六个月的 NRS 和 ODI 评分均明显低于 PRT 值。(P 结论 研究结果表明,在胸腰部筋膜中层应用 IFI 对慢性腰痛患者可能有效。应进一步研究筋膜结构对枸杞痛的影响。
本文章由计算机程序翻译,如有差异,请以英文原文为准。
求助全文
约1分钟内获得全文 求助全文
来源期刊
Eurasian Journal of Medicine
Eurasian Journal of Medicine Medicine-Medicine (all)
CiteScore
1.90
自引率
6.70%
发文量
59
审稿时长
16 weeks
期刊介绍: Eurasian Journal of Medicine (Eurasian J Med) is an international, scientific, open access periodical published by independent, unbiased, and triple-blinded peer-review principles. The journal is the official publication of Atatürk University School of Medicine and published triannually in February, June, and October. The publication language of the journal is English. The aim of the Eurasian Journal of Medicine is to publish original research papers of the highest scientific and clinical value in all medical fields. The Eurasian J Med also includes reviews, editorial short notes and letters to the editor that either as a comment related to recently published articles in our journal or as a case report. The target audience of the journal includes researchers, physicians and healthcare professionals who are interested or working in in all medical disciplines.
×
引用
GB/T 7714-2015
复制
MLA
复制
APA
复制
导出至
BibTeX EndNote RefMan NoteFirst NoteExpress
×
提示
您的信息不完整,为了账户安全,请先补充。
现在去补充
×
提示
您因"违规操作"
具体请查看互助需知
我知道了
×
提示
确定
请完成安全验证×
copy
已复制链接
快去分享给好友吧!
我知道了
右上角分享
点击右上角分享
0
联系我们:info@booksci.cn Book学术提供免费学术资源搜索服务,方便国内外学者检索中英文文献。致力于提供最便捷和优质的服务体验。 Copyright © 2023 布克学术 All rights reserved.
京ICP备2023020795号-1
ghs 京公网安备 11010802042870号
Book学术文献互助
Book学术文献互助群
群 号:604180095
Book学术官方微信