A Case of Pernicious Anemia with Concurrent Beta-Thalassemia Minor.

IF 2.7 Q3 HEMATOLOGY
Journal of Blood Medicine Pub Date : 2024-08-07 eCollection Date: 2024-01-01 DOI:10.2147/JBM.S473075
Fuzhen Yuan, Zhenhua Huang, Dingye Yao, Junsheng Sun
{"title":"A Case of Pernicious Anemia with Concurrent Beta-Thalassemia Minor.","authors":"Fuzhen Yuan, Zhenhua Huang, Dingye Yao, Junsheng Sun","doi":"10.2147/JBM.S473075","DOIUrl":null,"url":null,"abstract":"<p><p>Vitamin B<sub>12</sub> is essential for various bodily functions, and its deficiency may cause hematological manifestations. We report a case of a previously healthy 65-year-old female who was admitted to our hospital with reduced sense of taste and painful tongue. The serum level of vitamin B<sub>12</sub> was decreased. However, her complete blood count did not show any evidence of macrocytosis, instead, her mean corpuscular volume was low. Gene sequencing indicated an β-thalassemia minor and that probably masked the megaloblastic features of vitamin B<sub>12</sub> deficiency.</p>","PeriodicalId":15166,"journal":{"name":"Journal of Blood Medicine","volume":"15 ","pages":"351-357"},"PeriodicalIF":2.7000,"publicationDate":"2024-08-07","publicationTypes":"Journal Article","fieldsOfStudy":null,"isOpenAccess":false,"openAccessPdf":"https://www.ncbi.nlm.nih.gov/pmc/articles/PMC11317050/pdf/","citationCount":"0","resultStr":null,"platform":"Semanticscholar","paperid":null,"PeriodicalName":"Journal of Blood Medicine","FirstCategoryId":"1085","ListUrlMain":"https://doi.org/10.2147/JBM.S473075","RegionNum":0,"RegionCategory":null,"ArticlePicture":[],"TitleCN":null,"AbstractTextCN":null,"PMCID":null,"EPubDate":"2024/1/1 0:00:00","PubModel":"eCollection","JCR":"Q3","JCRName":"HEMATOLOGY","Score":null,"Total":0}
引用次数: 0

Abstract

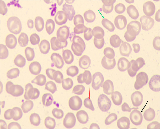
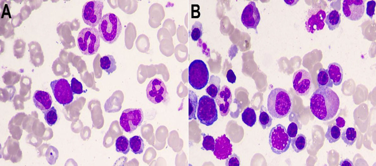
Vitamin B12 is essential for various bodily functions, and its deficiency may cause hematological manifestations. We report a case of a previously healthy 65-year-old female who was admitted to our hospital with reduced sense of taste and painful tongue. The serum level of vitamin B12 was decreased. However, her complete blood count did not show any evidence of macrocytosis, instead, her mean corpuscular volume was low. Gene sequencing indicated an β-thalassemia minor and that probably masked the megaloblastic features of vitamin B12 deficiency.

Abstract Image

Abstract Image

Abstract Image

一个恶性贫血并发小β-地中海贫血的病例。
维生素 B12 是人体各种功能所必需的,缺乏维生素 B12 可能会导致血液病。我们报告了一例病例,一名 65 岁的女性因味觉减退和舌头疼痛入院。她的血清中维生素 B12 水平下降。然而,她的全血细胞计数并未显示任何大红细胞增多症的证据,相反,她的平均血球容积却很低。基因测序显示她患有小β地中海贫血症,这可能掩盖了维生素 B12 缺乏症的巨幼红细胞症特征。
本文章由计算机程序翻译,如有差异,请以英文原文为准。
求助全文
约1分钟内获得全文 求助全文
来源期刊
CiteScore
3.50
自引率
0.00%
发文量
94
审稿时长
16 weeks
期刊介绍: The Journal of Blood Medicine is an international, peer-reviewed, open access, online journal publishing laboratory, experimental and clinical aspects of all topics pertaining to blood based medicine including but not limited to: Transfusion Medicine (blood components, stem cell transplantation, apheresis, gene based therapeutics), Blood collection, Donor issues, Transmittable diseases, and Blood banking logistics, Immunohematology, Artificial and alternative blood based therapeutics, Hematology including disorders/pathology related to leukocytes/immunology, red cells, platelets and hemostasis, Biotechnology/nanotechnology of blood related medicine, Legal aspects of blood medicine, Historical perspectives. Original research, short reports, reviews, case reports and commentaries are invited.
×
引用
GB/T 7714-2015
复制
MLA
复制
APA
复制
导出至
BibTeX EndNote RefMan NoteFirst NoteExpress
×
提示
您的信息不完整,为了账户安全,请先补充。
现在去补充
×
提示
您因"违规操作"
具体请查看互助需知
我知道了
×
提示
确定
请完成安全验证×
copy
已复制链接
快去分享给好友吧!
我知道了
右上角分享
点击右上角分享
0
联系我们:info@booksci.cn Book学术提供免费学术资源搜索服务,方便国内外学者检索中英文文献。致力于提供最便捷和优质的服务体验。 Copyright © 2023 布克学术 All rights reserved.
京ICP备2023020795号-1
ghs 京公网安备 11010802042870号
Book学术文献互助
Book学术文献互助群
群 号:604180095
Book学术官方微信