Hashimoto's thyroiditis masquerading as acute tubular injury and rhabdomyolysis.

IF 1.3 Q3 UROLOGY & NEPHROLOGY
Gerry George Mathew, Varadharajan Jayaprakash
{"title":"Hashimoto's thyroiditis masquerading as acute tubular injury and rhabdomyolysis.","authors":"Gerry George Mathew, Varadharajan Jayaprakash","doi":"10.1590/2175-8239-JBN-2024-0022en","DOIUrl":null,"url":null,"abstract":"<p><p>Hashimoto's thyroiditis manifesting as hypothyroidism has been implicated in glomerular disorders due to autoantibody formation. Here we present the case of a 26-year-old male without any comorbidities presenting with easy fatiguability and weight gain for 2 months. He was found to have a creatinine of 2.1 mg/dL with a history of rhinitis treated with anti-histaminic three days prior to the hospital visit. He had symptoms of intermittent myalgia for the past two weeks. On laboratory evaluation, he was found to have raised CPK, elevated TSH, low normal T4, and positive anti-TPO and anti-Tg antibodies. Neck ultrasound revealed linear echogenic septations in the thyroid gland. Renal biopsy revealed acute tubular injury. Appropriate thyroxine supplementation was started and his creatinine decreased to 1.2 mg/dL after 1 month. It is important that clinicians should be aware of this rare kidney presentation in Hashimoto's thyroiditis.</p>","PeriodicalId":14724,"journal":{"name":"Jornal brasileiro de nefrologia : 'orgao oficial de Sociedades Brasileira e Latino-Americana de Nefrologia","volume":"46 3","pages":"e20240022"},"PeriodicalIF":1.3000,"publicationDate":"2024-07-01","publicationTypes":"Journal Article","fieldsOfStudy":null,"isOpenAccess":false,"openAccessPdf":"https://www.ncbi.nlm.nih.gov/pmc/articles/PMC11318353/pdf/","citationCount":"0","resultStr":null,"platform":"Semanticscholar","paperid":null,"PeriodicalName":"Jornal brasileiro de nefrologia : 'orgao oficial de Sociedades Brasileira e Latino-Americana de Nefrologia","FirstCategoryId":"1085","ListUrlMain":"https://doi.org/10.1590/2175-8239-JBN-2024-0022en","RegionNum":0,"RegionCategory":null,"ArticlePicture":[],"TitleCN":null,"AbstractTextCN":null,"PMCID":null,"EPubDate":"","PubModel":"","JCR":"Q3","JCRName":"UROLOGY & NEPHROLOGY","Score":null,"Total":0}
引用次数: 0

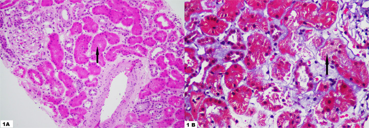
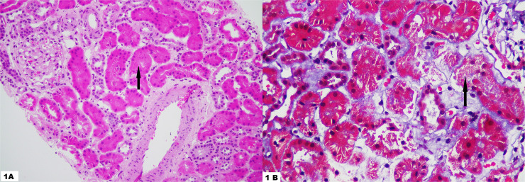
Abstract

Hashimoto's thyroiditis manifesting as hypothyroidism has been implicated in glomerular disorders due to autoantibody formation. Here we present the case of a 26-year-old male without any comorbidities presenting with easy fatiguability and weight gain for 2 months. He was found to have a creatinine of 2.1 mg/dL with a history of rhinitis treated with anti-histaminic three days prior to the hospital visit. He had symptoms of intermittent myalgia for the past two weeks. On laboratory evaluation, he was found to have raised CPK, elevated TSH, low normal T4, and positive anti-TPO and anti-Tg antibodies. Neck ultrasound revealed linear echogenic septations in the thyroid gland. Renal biopsy revealed acute tubular injury. Appropriate thyroxine supplementation was started and his creatinine decreased to 1.2 mg/dL after 1 month. It is important that clinicians should be aware of this rare kidney presentation in Hashimoto's thyroiditis.

Abstract Image

Abstract Image

伪装成急性肾小管损伤和横纹肌溶解症的桥本氏甲状腺炎。
表现为甲状腺功能减退的桥本氏甲状腺炎与自身抗体形成导致的肾小球功能紊乱有关。在此,我们介绍了一例 26 岁男性患者的病例,该患者无任何并发症,2 个月来表现为易疲劳和体重增加。他的血肌酐为 2.1 mg/dL,入院前三天有鼻炎病史,曾服用抗组胺药。过去两周,他出现了间歇性肌痛症状。实验室检查发现,他的肌酸激酶(CPK)升高,促甲状腺激素(TSH)升高,T4正常值偏低,抗TPO和抗Tg抗体阳性。颈部超声波检查发现甲状腺有线状回声隔膜。肾活检发现急性肾小管损伤。患者开始适当补充甲状腺素,1个月后肌酐降至1.2毫克/分升。临床医生必须认识到桥本氏甲状腺炎这种罕见的肾脏表现。
本文章由计算机程序翻译,如有差异,请以英文原文为准。
求助全文
约1分钟内获得全文 求助全文
来源期刊
CiteScore
2.20
自引率
16.70%
发文量
208
审稿时长
16 weeks
×
引用
GB/T 7714-2015
复制
MLA
复制
APA
复制
导出至
BibTeX EndNote RefMan NoteFirst NoteExpress
×
提示
您的信息不完整,为了账户安全,请先补充。
现在去补充
×
提示
您因"违规操作"
具体请查看互助需知
我知道了
×
提示
确定
请完成安全验证×
copy
已复制链接
快去分享给好友吧!
我知道了
右上角分享
点击右上角分享
0
联系我们:info@booksci.cn Book学术提供免费学术资源搜索服务,方便国内外学者检索中英文文献。致力于提供最便捷和优质的服务体验。 Copyright © 2023 布克学术 All rights reserved.
京ICP备2023020795号-1
ghs 京公网安备 11010802042870号
Book学术文献互助
Book学术文献互助群
群 号:604180095
Book学术官方微信